biological source
rabbit
Quality Level
conjugate
unconjugated
antibody form
affinity isolated antibody
antibody product type
primary antibodies
clone
polyclonal
product line
Prestige Antibodies® Powered by Atlas Antibodies
form
buffered aqueous glycerol solution
species reactivity
human
technique(s)
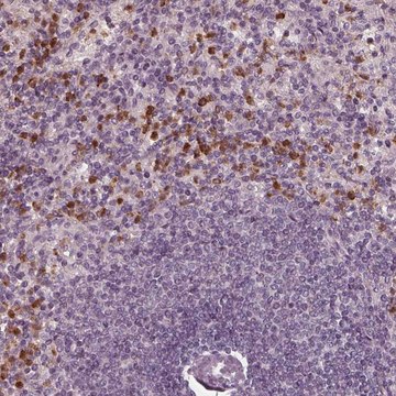
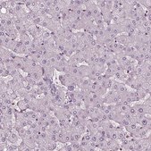
immunoblotting: 0.04-0.4 μg/mL, immunohistochemistry: 1:200-1:500
immunogen sequence
FDDVESFKTKVSYLKQKGLGGAMVWALDLDDFAGFSCNQGRYPLIQTLRQELSLPYLPSGTPELEVPKPGQPSEPEHGPSPGQDTFCQGKADGLYPNPRERSSFYSCAAGRLFQQSCPTGLVFSNSCKCCTWN
UniProt accession no.
shipped in
wet ice
storage temp.
−20°C
target post-translational modification
unmodified
Gene Information
human ... CHIT1(1118)
General description
CHIT1 (chitinase 1) gene is localized to human chromosome 1. This protein is highly expressed in cells of innate immune system, especially on activated macrophages. It is also known as chitotriosidase. In humans, it is expressed in lachrymal glands and lungs. This protein is a member of the 18 member human chitinase family.
Immunogen
Chitotriosidase-1 precursor recombinant protein epitope signature tag (PrEST)
Application
All Prestige Antibodies Powered by Atlas Antibodies are developed and validated by the Human Protein Atlas (HPA) project and as a result, are supported by the most extensive characterization in the industry.
The Human Protein Atlas project can be subdivided into three efforts: Human Tissue Atlas, Cancer Atlas, and Human Cell Atlas. The antibodies that have been generated in support of the Tissue and Cancer Atlas projects have been tested by immunohistochemistry against hundreds of normal and disease tissues and through the recent efforts of the Human Cell Atlas project, many have been characterized by immunofluorescence to map the human proteome not only at the tissue level but now at the subcellular level. These images and the collection of this vast data set can be viewed on the Human Protein Atlas (HPA) site by clicking on the Image Gallery link. We also provide Prestige Antibodies® protocols and other useful information.
The Human Protein Atlas project can be subdivided into three efforts: Human Tissue Atlas, Cancer Atlas, and Human Cell Atlas. The antibodies that have been generated in support of the Tissue and Cancer Atlas projects have been tested by immunohistochemistry against hundreds of normal and disease tissues and through the recent efforts of the Human Cell Atlas project, many have been characterized by immunofluorescence to map the human proteome not only at the tissue level but now at the subcellular level. These images and the collection of this vast data set can be viewed on the Human Protein Atlas (HPA) site by clicking on the Image Gallery link. We also provide Prestige Antibodies® protocols and other useful information.
Biochem/physiol Actions
CHIT1 (chitinase 1) enzyme prevents the growth of chitin-producing fungi such as, Candida albicans, Aspergillus niger and Cryptococcus neoformans. However, in human population, various dysfunctional mutations are found in this gene with no connected phenotypes, suggesting this protein is partially functionally redundant. The serum level of this protein is elevated during fungal infections and Gaucher′s disease. Elevated serum levels of this protein are linked with resistance to airway obstruction in New York City firefighters, after exposure to WTC (world trade center)-particulate matter. In type II diabetes patients, the serum concentration of this protein increases progressively with the degree of albuminuria, and hence, is linked with diabetic vascular complications and kidney dysfunction.
Features and Benefits
Prestige Antibodies® are highly characterized and extensively validated antibodies with the added benefit of all available characterization data for each target being accessible via the Human Protein Atlas portal linked just below the product name at the top of this page. The uniqueness and low cross-reactivity of the Prestige Antibodies® to other proteins are due to a thorough selection of antigen regions, affinity purification, and stringent selection. Prestige antigen controls are available for every corresponding Prestige Antibody and can be found in the linkage section.
Every Prestige Antibody is tested in the following ways:
Every Prestige Antibody is tested in the following ways:
- IHC tissue array of 44 normal human tissues and 20 of the most common cancer type tissues.
- Protein array of 364 human recombinant protein fragments.
Physical form
Solution in phosphate-buffered saline, pH 7.2, containing 40% glycerol and 0.02% sodium azide
Other Notes
Corresponding Antigen APREST71944
Legal Information
Prestige Antibodies is a registered trademark of Merck KGaA, Darmstadt, Germany
Disclaimer
Unless otherwise stated in our catalog or other company documentation accompanying the product(s), our products are intended for research use only and are not to be used for any other purpose, which includes but is not limited to, unauthorized commercial uses, in vitro diagnostic uses, ex vivo or in vivo therapeutic uses or any type of consumption or application to humans or animals.
存储类别
10 - Combustible liquids
wgk
WGK 1
flash_point_f
Not applicable
flash_point_c
Not applicable
ppe
Eyeshields, Gloves, multi-purpose combination respirator cartridge (US)
法规信息
新产品
此项目有
Shweta Sinha et al.
Lung, 192(5), 685-691 (2014-06-15)
CHIT1 is expressed by pulmonary macrophages, which is typically the site of entry for many environmental fungi that may increase the risk of pulmonary fungal infection and lead to hypersensitivity. The conserved expression of this gene in humans suggests its
Soo Jung Cho et al.
Journal of clinical immunology, 33(6), 1134-1142 (2013-06-08)
World Trade Center (WTC) exposure caused airflow obstruction years after exposure. Chitinases and IgE are innate and humoral mediators of obstructive airway disease. We investigated if serum expression of chitinases and IgE early after WTC exposure predicts subsequent obstruction. With
Ülkü Aksoy et al.
Hypertension in pregnancy, 32(4), 401-409 (2013-07-13)
To evaluate the significance of umbilical cord chitotriosidase concentrations in pregnancies with mild preeclampsia and explore the relationship between fetal chitotriosidase levels and fetal blood flow velocity. The study population included control group (n=40) and study group with mild preeclampsia
全球贸易项目编号
| 货号 | GTIN |
|---|---|
| HPA010575-100UL | 04061836300777 |
| HPA010575-25UL | 04061842816545 |