Quality Level
biological source
rabbit
conjugate
unconjugated
antibody form
affinity isolated antibody
antibody product type
primary antibodies
clone
polyclonal
product line
Prestige Antibodies® Powered by Atlas Antibodies
form
buffered aqueous glycerol solution
species reactivity
human
enhanced validation
independent
orthogonal RNAseq
Learn more about Antibody Enhanced Validation
technique(s)
immunoblotting: 0.04-0.4 μg/mL, immunofluorescence: 0.25-2 μg/mL, immunohistochemistry: 1:200-1:500
immunogen sequence
DVPVIPLDVVDNQTEKLDTNITEVDAASVYTLPAGADFLMCYSVAEGYYSHRETVNGSWYIQDLCEMLGKYGSSLEFTELLTLVNRKVSQRRVDFCKDPSAIGKKQV
UniProt accession no.
shipped in
wet ice
storage temp.
−20°C
target post-translational modification
unmodified
Gene Information
human ... CASP6(839)
General description
CASP6 (caspase 6) belongs to the family of cysteine proteases called caspases. Caspases can be divided into inflammatory capases, apoptosis initiators and effector caspases, and CASP6 belongs to the effector class. It exists as a dimeric zymogen. Each CASP6 monomer contains a short pro-domain called CARD (caspase-recruitment domain) or DED (death effector domain), a large subunit (p20) and a small subunit (p10), intervened by an intersubunit linker (L). It is expressed in both fetal and adult human tissues, though it has a higher level of expression during development, and decreased levels in adult tissues. In fetus, CASP6 has the highest level of expression in the gastrointestinal tract and the lowest in brain. In adults, it is predominantly expressed in colon, lung, stomach, kidney and liver.
Immunogen
Caspase-6 precursor recombinant protein epitope signature tag (PrEST)
Application
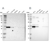
All Prestige Antibodies Powered by Atlas Antibodies are developed and validated by the Human Protein Atlas (HPA) project and as a result, are supported by the most extensive characterization in the industry.
The Human Protein Atlas project can be subdivided into three efforts: Human Tissue Atlas, Cancer Atlas, and Human Cell Atlas. The antibodies that have been generated in support of the Tissue and Cancer Atlas projects have been tested by immunohistochemistry against hundreds of normal and disease tissues and through the recent efforts of the Human Cell Atlas project, many have been characterized by immunofluorescence to map the human proteome not only at the tissue level but now at the subcellular level. These images and the collection of this vast data set can be viewed on the Human Protein Atlas (HPA) site by clicking on the Image Gallery link. We also provide Prestige Antibodies® protocols and other useful information.
The Human Protein Atlas project can be subdivided into three efforts: Human Tissue Atlas, Cancer Atlas, and Human Cell Atlas. The antibodies that have been generated in support of the Tissue and Cancer Atlas projects have been tested by immunohistochemistry against hundreds of normal and disease tissues and through the recent efforts of the Human Cell Atlas project, many have been characterized by immunofluorescence to map the human proteome not only at the tissue level but now at the subcellular level. These images and the collection of this vast data set can be viewed on the Human Protein Atlas (HPA) site by clicking on the Image Gallery link. We also provide Prestige Antibodies® protocols and other useful information.
Biochem/physiol Actions
CASP6 (caspase 6) plays a key role in apoptosis, and cleaves proteins which contain (V/I/T/L)E(G/D)ID sites. It has two classes of substrate proteins- proteins involved in nuclear structure or function and intermediate filament proteins. Lamin A, B and C, DNA topoisomerase I, CBP/p300, nuclear death domain protein p84N5, nuclear matrix protein SATB1, emerin, NuMA, DFF40, and PARP etc. act as its substrates in nucleus. Chromatin condensation in apoptosis is a result of proteolysis of lamin A by CASP6. In cytoplasm, it acts upon desmin, vimentin and cytokeratin, thereby modulating cell structure and function. It is responsible for the degradation of axons in the primary cortex. It enhances the synthesis of amyloid β peptide (Aβ), and is highly expressed in the hippocampus and cortex in the brains of Alzheimer′s disease (AD) patients. CASP6 is also involved in the impairment of cognitive abilities in AD patients.
Features and Benefits
Prestige Antibodies® are highly characterized and extensively validated antibodies with the added benefit of all available characterization data for each target being accessible via the Human Protein Atlas portal linked just below the product name at the top of this page. The uniqueness and low cross-reactivity of the Prestige Antibodies® to other proteins are due to a thorough selection of antigen regions, affinity purification, and stringent selection. Prestige antigen controls are available for every corresponding Prestige Antibody and can be found in the linkage section.
Every Prestige Antibody is tested in the following ways:
Every Prestige Antibody is tested in the following ways:
- IHC tissue array of 44 normal human tissues and 20 of the most common cancer type tissues.
- Protein array of 364 human recombinant protein fragments.
Physical form
Solution in phosphate-buffered saline, pH 7.2, containing 40% glycerol and 0.02% sodium azide
Other Notes
Corresponding Antigen APREST70822
Legal Information
Prestige Antibodies is a registered trademark of Merck KGaA, Darmstadt, Germany
存储类别
10 - Combustible liquids
wgk
WGK 1
flash_point_f
Not applicable
flash_point_c
Not applicable
ppe
Eyeshields, Gloves, multi-purpose combination respirator cartridge (US)
法规信息
新产品
此项目有
相关内容
Prestige Antibodies Immunofluorescence Procedure
Hong Zhao et al.
Cellular and molecular neurobiology, 34(3), 369-378 (2013-12-24)
Tau truncation is widely detected in Alzheimer's disease brain. Caspases activation is suggested to play a significant role in tau truncation at Aspartate 421 (D421) according to their ability to cleave recombinant tau in vitro. Ample evidence has shown that
Nelly Godefroy et al.
PloS one, 8(11), e79313-e79313 (2013-11-23)
Caspase-6 is an effector caspase that has not been investigated thoroughly despite the fact that Caspase-6 is strongly activated in Alzheimer disease brains. To understand the full physiological impact of Caspase-6 in humans, we investigated Caspase-6 expression. We performed western
Qin Cao et al.
Acta crystallographica. Section D, Biological crystallography, 70(Pt 1), 58-67 (2014-01-15)
Caspase 6 (CASP6) is a neuron degeneration-related protease and is widely considered to be a potential drug-design target against neurodegenerative diseases such as Huntington's disease and Alzheimer's disease. The N-terminal pro-peptide of CASP6, also referred to as the pro-domain, contains
全球贸易项目编号
| 货号 | GTIN |
|---|---|
| HPA011337-25UL | 04061842783908 |
| HPA011337-100UL | 04061835670444 |