biological source
rabbit
Quality Level
conjugate
unconjugated
antibody form
affinity isolated antibody
antibody product type
primary antibodies
clone
polyclonal
product line
Prestige Antibodies® Powered by Atlas Antibodies
form
buffered aqueous glycerol solution
species reactivity
mouse, human, rat
technique(s)
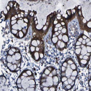
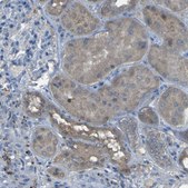
immunoblotting: 0.04-0.4 μg/mL, immunohistochemistry: 1:20-1:50
immunogen sequence
EVLRKEPYDRAVDWWCLGAVLYEMLHGLPPFYSQDVSQMYENILHQPLQIPGGRTVAACDLLQSLLHKDQRQRLGSKADFLEIKNHVFFSPINWDDLYHKRLTPPFNPNVTGPADLKHFDPEFTQEAVSKSIGCTPD
UniProt accession no.
shipped in
wet ice
storage temp.
−20°C
target post-translational modification
unmodified
Gene Information
human ... SGK2(10110)
Immunogen
Serine/threonine-protein kinase Sgk2 recombinant protein epitope signature tag (PrEST)
Application
All Prestige Antibodies Powered by Atlas Antibodies are developed and validated by the Human Protein Atlas (HPA) project and as a result, are supported by the most extensive characterization in the industry.
The Human Protein Atlas project can be subdivided into three efforts: Human Tissue Atlas, Cancer Atlas, and Human Cell Atlas. The antibodies that have been generated in support of the Tissue and Cancer Atlas projects have been tested by immunohistochemistry against hundreds of normal and disease tissues and through the recent efforts of the Human Cell Atlas project, many have been characterized by immunofluorescence to map the human proteome not only at the tissue level but now at the subcellular level. These images and the collection of this vast data set can be viewed on the Human Protein Atlas (HPA) site by clicking on the Image Gallery link. We also provide Prestige Antibodies® protocols and other useful information.
The Human Protein Atlas project can be subdivided into three efforts: Human Tissue Atlas, Cancer Atlas, and Human Cell Atlas. The antibodies that have been generated in support of the Tissue and Cancer Atlas projects have been tested by immunohistochemistry against hundreds of normal and disease tissues and through the recent efforts of the Human Cell Atlas project, many have been characterized by immunofluorescence to map the human proteome not only at the tissue level but now at the subcellular level. These images and the collection of this vast data set can be viewed on the Human Protein Atlas (HPA) site by clicking on the Image Gallery link. We also provide Prestige Antibodies® protocols and other useful information.
Biochem/physiol Actions
SGK2 (Serum/glucocorticoid regulated kinase 2) plays a critical role in the PXR (pregnane X receptor)-regulated glucose 6-phosphatase (G6Pase) induction and gluconeogenesis. It controls the biosynthesis of glucose through the insulin-independent signal pathway. Similar to SGK1, it also triggers the renal epithelial Na+ channel (ENaC) activity. It is present downstream of phosphoinositide-3-kinase (PI3Kinase) and controls the tumor-promoting gene signaling pathways such as RAS/RAF/ERK signaling. It also reflects a stimulating activity of neutral amino acid transporter SLC6A19 (B(0)AT1) for the amino acid transport in the kidney and intestine.
Features and Benefits
Prestige Antibodies® are highly characterized and extensively validated antibodies with the added benefit of all available characterization data for each target being accessible via the Human Protein Atlas portal linked just below the product name at the top of this page. The uniqueness and low cross-reactivity of the Prestige Antibodies® to other proteins are due to a thorough selection of antigen regions, affinity purification, and stringent selection. Prestige antigen controls are available for every corresponding Prestige Antibody and can be found in the linkage section.
Every Prestige Antibody is tested in the following ways:
Every Prestige Antibody is tested in the following ways:
- IHC tissue array of 44 normal human tissues and 20 of the most common cancer type tissues.
- Protein array of 364 human recombinant protein fragments.
Physical form
Solution in phosphate-buffered saline, pH 7.2, containing 40% glycerol and 0.02% sodium azide
Other Notes
Corresponding Antigen APREST70466
Legal Information
Prestige Antibodies is a registered trademark of Merck KGaA, Darmstadt, Germany
Disclaimer
Unless otherwise stated in our catalog or other company documentation accompanying the product(s), our products are intended for research use only and are not to be used for any other purpose, which includes but is not limited to, unauthorized commercial uses, in vitro diagnostic uses, ex vivo or in vivo therapeutic uses or any type of consumption or application to humans or animals.
存储类别
10 - Combustible liquids
wgk
WGK 1
flash_point_f
Not applicable
flash_point_c
Not applicable
ppe
Eyeshields, Gloves, multi-purpose combination respirator cartridge (US)
法规信息
新产品
此项目有
Maressa A Bruhn et al.
Growth factors (Chur, Switzerland), 28(6), 394-408 (2010-10-06)
The serum and glucocorticoid kinase (SGK) family of serine/threonine kinases consists of three isoforms, SGK-1, SGK-2 and SGK-3. This family of kinases is highly homologous to the AKT kinase family, sharing similar upstream activators and downstream targets. SGKs have been
Christoph Böhmer et al.
Cellular physiology and biochemistry : international journal of experimental cellular physiology, biochemistry, and pharmacology, 25(6), 723-732 (2010-06-01)
The neutral amino acid transporter SLC6A19 (B(0)AT1) plays a decisive role in transport of neutral amino acids in the kidney and intestine. Recently, mutations in SLC6A19 were identified that result in severe neutral aminoaciduria known as Hartnup disorder. SLC6A19 expression
B Friedrich et al.
Pflugers Archiv : European journal of physiology, 445(6), 693-696 (2003-03-13)
The serum- and glucocorticoid-inducible kinase 1 (SGK1) has been identified as a signalling molecule up-regulated by aldosterone, which stimulates the renal epithelial Na(+) channel ENaC. It is therefore thought to participate in the antinatriuretic action of this hormone. More recently
全球贸易项目编号
| 货号 | GTIN |
|---|---|
| HPA011387-100UL | 04061836301491 |