biological source
rabbit
Quality Level
conjugate
unconjugated
antibody form
affinity isolated antibody
antibody product type
primary antibodies
clone
polyclonal
form
buffered aqueous glycerol solution
species reactivity
mouse, human
enhanced validation
RNAi knockdown
Learn more about Antibody Enhanced Validation
technique(s)
immunoblotting: 0.04-0.4 μg/mL, immunofluorescence: 0.25-2 μg/mL, immunohistochemistry: 1:500-1:1000
immunogen sequence
IACDEEFSDSEDEGEGGRRNVADHKKGAKKARIEEDKKETEDKKTDVKEEDKSKDNSGEKTDTKGTKSEQLSNP
UniProt accession no.
shipped in
wet ice
storage temp.
−20°C
target post-translational modification
unmodified
Gene Information
human ... HDAC2(3066)
Immunogen
Histone deacetylase 2 recombinant protein epitope signature tag (PrEST)
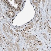
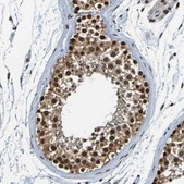
Application
All Prestige Antibodies Powered by Atlas Antibodies are developed and validated by the Human Protein Atlas (HPA) project and as a result, are supported by the most extensive characterization in the industry.
The Human Protein Atlas project can be subdivided into three efforts: Human Tissue Atlas, Cancer Atlas, and Human Cell Atlas. The antibodies that have been generated in support of the Tissue and Cancer Atlas projects have been tested by immunohistochemistry against hundreds of normal and disease tissues and through the recent efforts of the Human Cell Atlas project, many have been characterized by immunofluorescence to map the human proteome not only at the tissue level but now at the subcellular level. These images and the collection of this vast data set can be viewed on the Human Protein Atlas (HPA) site by clicking on the Image Gallery link. We also provide Prestige Antibodies® protocols and other useful information.
The Human Protein Atlas project can be subdivided into three efforts: Human Tissue Atlas, Cancer Atlas, and Human Cell Atlas. The antibodies that have been generated in support of the Tissue and Cancer Atlas projects have been tested by immunohistochemistry against hundreds of normal and disease tissues and through the recent efforts of the Human Cell Atlas project, many have been characterized by immunofluorescence to map the human proteome not only at the tissue level but now at the subcellular level. These images and the collection of this vast data set can be viewed on the Human Protein Atlas (HPA) site by clicking on the Image Gallery link. We also provide Prestige Antibodies® protocols and other useful information.
Biochem/physiol Actions
HDAC2 (Histone deacetylase 2) is a chromatin modifier localized in the nucleus along with other tissues and cell types. It plays a vital role in the epigenetic regulation of cell cycle, apoptosis, and differentiation. It has been reported that HDAC2 is upregulated in human hepatocellular carcinoma (HCC) and downregulated in the cervical cancer. Its downregulated expression in cervical cancer decreases the expression level of cyclin D1, cyclin E, and cdk2 proteins as well as enhances the expression of p21 protein. HDAC2 is associated with the human memory impairment. It has a negative influence on learning and memory by controlling the synaptic plasticity and modifications of neural circuits.
Features and Benefits
Prestige Antibodies® are highly characterized and extensively validated antibodies with the added benefit of all available characterization data for each target being accessible via the Human Protein Atlas portal linked just below the product name at the top of this page. The uniqueness and low cross-reactivity of the Prestige Antibodies® to other proteins are due to a thorough selection of antigen regions, affinity purification, and stringent selection. Prestige antigen controls are available for every corresponding Prestige Antibody and can be found in the linkage section.
Every Prestige Antibody is tested in the following ways:
Every Prestige Antibody is tested in the following ways:
- IHC tissue array of 44 normal human tissues and 20 of the most common cancer type tissues.
- Protein array of 364 human recombinant protein fragments.
Physical form
Solution in phosphate-buffered saline, pH 7.2, containing 40% glycerol and 0.02% sodium azide
Other Notes
Corresponding Antigen APREST71018
Legal Information
Prestige Antibodies is a registered trademark of Merck KGaA, Darmstadt, Germany
Disclaimer
Unless otherwise stated in our catalog or other company documentation accompanying the product(s), our products are intended for research use only and are not to be used for any other purpose, which includes but is not limited to, unauthorized commercial uses, in vitro diagnostic uses, ex vivo or in vivo therapeutic uses or any type of consumption or application to humans or animals.
存储类别
10 - Combustible liquids
wgk
WGK 1
flash_point_f
Not applicable
flash_point_c
Not applicable
ppe
Eyeshields, Gloves, multi-purpose combination respirator cartridge (US)
法规信息
新产品
此项目有
相关内容
Prestige Antibodies Immunofluorescence Procedure
Fangfang Hua et al.
Journal of B.U.ON. : official journal of the Balkan Union of Oncology, 19(2), 497-501 (2014-06-27)
To investigate the effects and molecular mechanism of downregulated histone deacetylase 2 (HDAC2) expression on cell proliferation and cell cycle in cervical cancer Hela cells. HDAC2 small interfering (si)RNA and control siRNA were transfected into cervical cancer Hela cells. A
Tamotsu Tsukahara et al.
International journal of medical sciences, 11(9), 955-961 (2014-07-12)
Activation of the endothelium by alkyl-glycerophosphate (AGP) has been implicated in the development of atherosclerosis. Our previous study suggested that cyclic phosphatidic acid (cPA) inhibits arterial wall remodeling in a rat model in vivo. However, the mechanisms through which specific
Yun-Han Lee et al.
Cancer research, 74(17), 4752-4761 (2014-06-25)
Histone deacetylase 2 (HDAC2) is a chromatin modifier involved in epigenetic regulation of cell cycle, apoptosis, and differentiation that is upregulated commonly in human hepatocellular carcinoma (HCC). In this study, we show that specific targeting of this HDAC isoform is
全球贸易项目编号
| 货号 | GTIN |
|---|---|
| HPA011727-100UL | 04061836301620 |
| HPA011727-25UL | 04061842784141 |