biological source
rabbit
Quality Level
conjugate
unconjugated
antibody form
affinity isolated antibody
antibody product type
primary antibodies
clone
polyclonal
product line
Prestige Antibodies® Powered by Atlas Antibodies
form
buffered aqueous glycerol solution
species reactivity
human
enhanced validation
orthogonal RNAseq
Learn more about Antibody Enhanced Validation
technique(s)
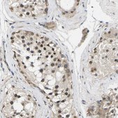
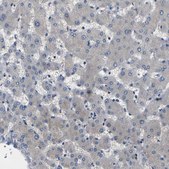
immunohistochemistry: 1:50- 1:200
immunogen sequence
LPSPNDSKFFQNLLDEEDLEDMMDAEEYLVPQAFNIPPPIYTSRARIDSNRNQFVYRDGGFAAEQGVSVPYRAPTSTIPEAPVAQGATAEIFDDSCCNGTLRK
UniProt accession no.
shipped in
wet ice
storage temp.
−20°C
target post-translational modification
unmodified
Gene Information
human ... ERBB4(2066)
General description
ERBB4 (erb-b2 receptor tyrosine kinase 4) is a tissue-specific, tyrosine kinase receptor belonging to the epidermal growth factor receptor (EGFR) subfamily of receptor tyrosine kinases. It exists in two isoform, which are expressed mainly in the neural tissues such as cerebellum. Its expression also has been found in the kidney and heart. The functional activity of the protein is controlled by the neuregulins (NRG), betacellulin (BTC), and heparin-binding EGF-like growth factor.
Immunogen
Receptor tyrosine-protein kinase erbB-4 Precursor recombinant protein epitope signature tag (PrEST)
Application
All Prestige Antibodies Powered by Atlas Antibodies are developed and validated by the Human Protein Atlas (HPA) project and as a result, are supported by the most extensive characterization in the industry.
The Human Protein Atlas project can be subdivided into three efforts: Human Tissue Atlas, Cancer Atlas, and Human Cell Atlas. The antibodies that have been generated in support of the Tissue and Cancer Atlas projects have been tested by immunohistochemistry against hundreds of normal and disease tissues and through the recent efforts of the Human Cell Atlas project, many have been characterized by immunofluorescence to map the human proteome not only at the tissue level but now at the subcellular level. These images and the collection of this vast data set can be viewed on the Human Protein Atlas (HPA) site by clicking on the Image Gallery link. We also provide Prestige Antibodies® protocols and other useful information.
The Human Protein Atlas project can be subdivided into three efforts: Human Tissue Atlas, Cancer Atlas, and Human Cell Atlas. The antibodies that have been generated in support of the Tissue and Cancer Atlas projects have been tested by immunohistochemistry against hundreds of normal and disease tissues and through the recent efforts of the Human Cell Atlas project, many have been characterized by immunofluorescence to map the human proteome not only at the tissue level but now at the subcellular level. These images and the collection of this vast data set can be viewed on the Human Protein Atlas (HPA) site by clicking on the Image Gallery link. We also provide Prestige Antibodies® protocols and other useful information.
Biochem/physiol Actions
ERBB4 (erb-b2 receptor tyrosine kinase 4) is involved in milk production and anabolic processes in normal mammary epithelia and cancer by controlling the YAP/Hippo pathway and mevalonate pathways. Its phosphatidyl inositol 3-kinase (PI3-K) binding site interacts with several EGF family members including neuregulins (NRG) for cellular responses related to cell proliferation, invasion, and cell growth suppression. Mutation in the kinase domain of ERBB4 is responsible for the malignant cancer cell growth. ERBB4 identifies oncogenic somatic mutations in high-risk early breast cancer, which proves its prognostic marker quality. Mutation in the gene also causes a neurological disorder, amyotrophic lateral sclerosis (ALS).
Features and Benefits
Prestige Antibodies® are highly characterized and extensively validated antibodies with the added benefit of all available characterization data for each target being accessible via the Human Protein Atlas portal linked just below the product name at the top of this page. The uniqueness and low cross-reactivity of the Prestige Antibodies® to other proteins are due to a thorough selection of antigen regions, affinity purification, and stringent selection. Prestige antigen controls are available for every corresponding Prestige Antibody and can be found in the linkage section.
Every Prestige Antibody is tested in the following ways:
Every Prestige Antibody is tested in the following ways:
- IHC tissue array of 44 normal human tissues and 20 of the most common cancer type tissues.
- Protein array of 364 human recombinant protein fragments.
Physical form
Solution in phosphate-buffered saline, pH 7.2, containing 40% glycerol and 0.02% sodium azide
Other Notes
Corresponding Antigen APREST70281
Legal Information
Prestige Antibodies is a registered trademark of Merck KGaA, Darmstadt, Germany
Disclaimer
Unless otherwise stated in our catalog or other company documentation accompanying the product(s), our products are intended for research use only and are not to be used for any other purpose, which includes but is not limited to, unauthorized commercial uses, in vitro diagnostic uses, ex vivo or in vivo therapeutic uses or any type of consumption or application to humans or animals.
Still not finding the right product?
试用我们的 产品选型工具 工具缩小选择范围
存储类别
10 - Combustible liquids
wgk
WGK 1
flash_point_f
Not applicable
flash_point_c
Not applicable
法规信息
常规特殊物品
低风险生物材料
此项目有
Convergent and divergent cellular responses by ErbB4 isoforms in mammary epithelial cells.
Wali VB, Haskins JW, Gilmore-Hebert M, et al.
Molecular Cancer Research, 12(8), 1140-1155 (2014)
Guangyuan Song et al.
Oncotarget, 8(28), 45725-45735 (2017-05-16)
Epithelial-mesenchymal transition (EMT) is an important biological process that is characteristic of malignant tumor cells with metastatic potential. We investigated the role of miR-551b in EMT and metastasis in gastric cancer (GC). We found that low miR-551b levels were associated
Mary Jasmin Ang et al.
International journal of molecular sciences, 21(11) (2020-06-14)
Lipid homeostasis is an important component of brain function, and its disturbance causes several neurological disorders, such as Huntington's, Alzheimer's, and Parkinson's diseases as well as mood disorders. Sterol regulatory element-binding protein-1c (SREBP-1c) is a key modulatory molecule involved in
全球贸易项目编号
| 货号 | GTIN |
|---|---|
| HPA012016-100UL | 04061836302030 |
| HPA012016-25UL | 04061842784738 |