biological source
rabbit
Quality Level
conjugate
unconjugated
antibody form
affinity isolated antibody
antibody product type
primary antibodies
clone
polyclonal
product line
Prestige Antibodies® Powered by Atlas Antibodies
form
buffered aqueous glycerol solution
species reactivity
human
enhanced validation
orthogonal RNAseq
Learn more about Antibody Enhanced Validation
technique(s)
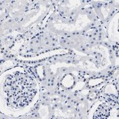
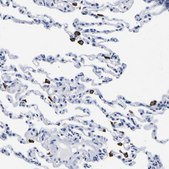
immunoblotting: 0.04-0.4 μg/mL, immunohistochemistry: 1:50-1:200
immunogen sequence
DHVASCGVNLYQFYGPSGQYTHEFDGDEQFYVDLERKETAWRWPEFSKFGGFDPQGALRNMAVAKHNLNIMIKRYNSTAATNEVPEVTVFSKSPVTLGQPNTLI
UniProt accession no.
shipped in
wet ice
storage temp.
−20°C
target post-translational modification
unmodified
Gene Information
human ... HLA-DQA1(3117)
Immunogen
HLA class II histocompatibility antigen, DQ(5) alpha chain precursor recombinant protein epitope signature tag (PrEST)
Application
All Prestige Antibodies Powered by Atlas Antibodies are developed and validated by the Human Protein Atlas (HPA) project and as a result, are supported by the most extensive characterization in the industry.
The Human Protein Atlas project can be subdivided into three efforts: Human Tissue Atlas, Cancer Atlas, and Human Cell Atlas. The antibodies that have been generated in support of the Tissue and Cancer Atlas projects have been tested by immunohistochemistry against hundreds of normal and disease tissues and through the recent efforts of the Human Cell Atlas project, many have been characterized by immunofluorescence to map the human proteome not only at the tissue level but now at the subcellular level. These images and the collection of this vast data set can be viewed on the Human Protein Atlas (HPA) site by clicking on the Image Gallery link. We also provide Prestige Antibodies® protocols and other useful information.
The Human Protein Atlas project can be subdivided into three efforts: Human Tissue Atlas, Cancer Atlas, and Human Cell Atlas. The antibodies that have been generated in support of the Tissue and Cancer Atlas projects have been tested by immunohistochemistry against hundreds of normal and disease tissues and through the recent efforts of the Human Cell Atlas project, many have been characterized by immunofluorescence to map the human proteome not only at the tissue level but now at the subcellular level. These images and the collection of this vast data set can be viewed on the Human Protein Atlas (HPA) site by clicking on the Image Gallery link. We also provide Prestige Antibodies® protocols and other useful information.
Biochem/physiol Actions
HLA-DQA1 is a component of human leukocyte antigen (HLA) molecule. The allele contains two chains: a DQα and a DQβ chain. It is a class II gene, expressed at the membrane of antigen presenting cells (APC) in heterodimeric form. It is mainly involved in the immune response to foreign antigens by presenting specific antigenic peptides to T cells. The gene is associated with a sleep disorder narcolepsy with cataplexy. An association of the gene with celiac disease and type 1 diabetes has been reported in studies.
Features and Benefits
Prestige Antibodies® are highly characterized and extensively validated antibodies with the added benefit of all available characterization data for each target being accessible via the Human Protein Atlas portal linked just below the product name at the top of this page. The uniqueness and low cross-reactivity of the Prestige Antibodies® to other proteins are due to a thorough selection of antigen regions, affinity purification, and stringent selection. Prestige antigen controls are available for every corresponding Prestige Antibody and can be found in the linkage section.
Every Prestige Antibody is tested in the following ways:
Every Prestige Antibody is tested in the following ways:
- IHC tissue array of 44 normal human tissues and 20 of the most common cancer type tissues.
- Protein array of 364 human recombinant protein fragments.
Physical form
Solution in phosphate-buffered saline, pH 7.2, containing 40% glycerol and 0.02% sodium azide
Other Notes
Corresponding Antigen APREST72408
Legal Information
Prestige Antibodies is a registered trademark of Merck KGaA, Darmstadt, Germany
存储类别
10 - Combustible liquids
wgk
WGK 1
ppe
Eyeshields, Gloves, multi-purpose combination respirator cartridge (US)
法规信息
新产品
此项目有
Astrid van der Heide et al.
Immunogenetics, 67(1), 1-6 (2014-10-04)
Narcolepsy with cataplexy is a sleep disorder caused by the loss of hypocretin-producing neurons in the hypothalamus. It is tightly associated with a specific human leukocyte antigen (HLA)-allele: HLA-DQB1*06:02. Based on this, an autoimmune process has been hypothesized. A functional
J Wang et al.
Genes and immunity, 14(8), 500-503 (2013-09-21)
Ankylosing spondylitis (AS) is a chronic inflammatory disease with complex genetic traits. Multiple sequence variations have been associated with AS, but explained only a proportion of heritability. The studies herein aimed to explore potential associations between genomic copy number (CN)
Sigrid Regauer et al.
Histology and histopathology, 29(8), 1017-1025 (2014-01-10)
Introduction. Lichen planus (LP) is a chronic cytokine-mediated disease of possible auto-immune etiology. 25% of men have anogenital manifestations. Erosive penile LP causes a scarring phimosis of the foreskin in uncircumcised men. Mast cells as potent immune modulators have been
全球贸易项目编号
| 货号 | GTIN |
|---|---|
| HPA012315-25UL | 04061842785094 |
| HPA012315-100UL | 04061835670772 |