跳转至内容
Merck
CN

HPA012800

Anti-PLD3 antibody produced in rabbit

Prestige Antibodies® Powered by Atlas Antibodies, affinity isolated antibody, buffered aqueous glycerol solution

别名:

Anti-Choline phosphatase 3, Anti-HindIII K4L homolog, Anti-Hu-K4, Anti-PLD 3, Anti-Phosphatidylcholine-hydrolyzing phospholipase D3, Anti-Phospholipase D3

登录 查看组织和合同定价。

选择尺寸

变更视图

关于此项目

UNSPSC Code:
12352203
NACRES:
NA.41
Human Protein Atlas Number:
Conjugate:
unconjugated
Clone:
polyclonal
Application:
IHC
Citations:
8
技术服务
需要帮助?我们经验丰富的科学家团队随时乐意为您服务。
让我们为您提供帮助


biological source

rabbit

Quality Level

conjugate

unconjugated

antibody form

affinity isolated antibody

antibody product type

primary antibodies

clone

polyclonal

product line

Prestige Antibodies® Powered by Atlas Antibodies

form

buffered aqueous glycerol solution

species reactivity

human

enhanced validation

orthogonal RNAseq
Learn more about Antibody Enhanced Validation

technique(s)

immunoblotting: 0.04-0.4 μg/mL, immunohistochemistry: 1:200-1:500

immunogen sequence

LDFPNASTGNPSTSQAWLGLLAGAHSSLDIASFYWTLTNNDTHTQEPSAQQGEEVLRQLQTLAPKGVNVRIAVSKPSGPQPQADLQALLQSGAQVRMVDMQKLTHGVLHTKFWVVDQTHFYLGSAN

UniProt accession no.

shipped in

wet ice

storage temp.

−20°C

target post-translational modification

unmodified

Gene Information

human ... PLD3(23646)

General description

Phospholipase D3 (PLD3) is a ubiquitously expressed type 2 transmembrane protein. It is present in the endoplasmic reticulum. The gene encoding this protein is located on chromosome 19q13.2.

Immunogen

Phospholipase D3 recombinant protein epitope signature tag (PrEST)

Application

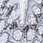
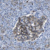
Anti-PLD3 antibody produced in rabbit, a Prestige Antibody, is developed and validated by the Human Protein Atlas (HPA) project . Each antibody is tested by immunohistochemistry against hundreds of normal and disease tissues. These images can be viewed on the Human Protein Atlas (HPA) site by clicking on the Image Gallery link. The antibodies are also tested using immunofluorescence and western blotting. To view these protocols and other useful information about Prestige Antibodies and the HPA, visit sigma.com/prestige.
Applications in which this antibody has been used successfully, and the associated peer-reviewed papers, are given below.
Western Blotting (1 paper)

Biochem/physiol Actions

Phospholipase D3 (PLD3) influences amyloid-β precursor protein (APP) processing. It is highly expressed in those regions of the brain which are vulnerable to Alzheimer′s disease pathology, including hippocampus and cortex. Overexpression of PLD3 leads to the decrease in intracellular APP and extracellular Aβ42 and Aβ40 (the isoforms of the amyloid-β peptide). On the other hand, knockdown of PLD3 leads to an increase in extracellular Aβ42 and Aβ40.

Features and Benefits

Prestige Antibodies® are highly characterized and extensively validated antibodies with the added benefit of all available characterization data for each target being accessible via the Human Protein Atlas portal linked just below the product name at the top of this page. The uniqueness and low cross-reactivity of the Prestige Antibodies® to other proteins are due to a thorough selection of antigen regions, affinity purification, and stringent selection. Prestige antigen controls are available for every corresponding Prestige Antibody and can be found in the linkage section.

Every Prestige Antibody is tested in the following ways:
  • IHC tissue array of 44 normal human tissues and 20 of the most common cancer type tissues.
  • Protein array of 364 human recombinant protein fragments.

Physical form

Solution in phosphate-buffered saline, pH 7.2, containing 40% glycerol and 0.02% sodium azide

Other Notes

Corresponding Antigen APREST71731

Legal Information

Prestige Antibodies is a registered trademark of Merck KGaA, Darmstadt, Germany

Disclaimer

Unless otherwise stated in our catalog or other company documentation accompanying the product(s), our products are intended for research use only and are not to be used for any other purpose, which includes but is not limited to, unauthorized commercial uses, in vitro diagnostic uses, ex vivo or in vivo therapeutic uses or any type of consumption or application to humans or animals.


Still not finding the right product?

Explore all of our products under

或者

试用我们的 产品选型工具 工具缩小选择范围


存储类别

10 - Combustible liquids

wgk

WGK 1

ppe

Eyeshields, Gloves, multi-purpose combination respirator cartridge (US)

法规信息

常规特殊物品
低风险生物材料

此项目有



历史批次信息供参考:

分析证书(COA)

Lot/Batch Number

没有发现合适的版本?

如果您需要特殊版本,可通过批号或批次号查找具体证书。

已有该产品?

在文件库中查找您最近购买产品的文档。

访问文档库



Mengshan Tan et al.
Frontiers in neuroscience, 13, 116-116 (2019-03-07)
Next-generation sequencing studies have reported that rare variants in PLD3 were associated with increased risk of late-onset Alzheimer's disease (LOAD) in European cohorts. The association has been replicated in a Han Chinese cohort, two rare variants p.I163M in exon7 and
Jun-Ichi Satoh et al.
Alzheimer's research & therapy, 6(9), 70-70 (2014-12-06)
Recently, a whole-exome sequencing (WES) study showed that a rare variant rs145999145 composed of p.Val232Met located in exon 7 of the phospholipase D3 (PLD3) gene confers a doubled risk for late-onset Alzheimer's disease (AD). Knockdown of PLD3 elevates the levels
Thomas P Chapman et al.
Frontiers in immunology, 10, 1495-1495 (2019-08-06)
The interplay between NOD2 and TLR2 following recognition of components of the bacterial cell wall peptidoglycan is well-established, however their role in redirecting metabolic pathways in myeloid cells to degrade pathogens and mount antigen presentation remains unclear. We show NOD2



全球贸易项目编号

货号GTIN
HPA012800-100UL04061837126338
HPA012800-25UL04061842785728