跳转至内容
Merck
CN

HPA013149

Anti-SPTBN1 antibody produced in rabbit

Prestige Antibodies® Powered by Atlas Antibodies, affinity isolated antibody, buffered aqueous glycerol solution

别名:

Anti-Beta-II spectrin, Anti-Fodrin beta chain, Anti-Spectrin beta chain, brain 1, Anti-Spectrin, non-erythroid beta chain 1

登录 查看组织和合同定价。

选择尺寸

变更视图

关于此项目

UNSPSC Code:
12352203
NACRES:
NA.43
Human Protein Atlas Number:
Conjugate:
unconjugated
Clone:
polyclonal
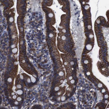
Application:
IHC
Citations:
4
技术服务
需要帮助?我们经验丰富的科学家团队随时乐意为您服务。
让我们为您提供帮助


biological source

rabbit

Quality Level

conjugate

unconjugated

antibody form

affinity isolated antibody

antibody product type

primary antibodies

clone

polyclonal

product line

Prestige Antibodies® Powered by Atlas Antibodies

form

buffered aqueous glycerol solution

species reactivity

human

technique(s)

immunoblotting: 0.04-0.4 μg/mL, immunohistochemistry: 1:200-1:500

immunogen sequence

SLLHQFQADADDIDAWMLDILKIVSSSDVGHDEYSTQSLVKKHKDVAEEIANYRPTLDTLHEQASALPQEHAESPDVRGRLSGIEERYKEVAELTRLRKQALQDTLALYKMFSEADACELWIDEKE

UniProt accession no.

shipped in

wet ice

storage temp.

−20°C

target post-translational modification

unmodified

Gene Information

human ... SPTBN1(6711)

General description

The gene SPTBN1 (Spectrin β chain, non-erythrocytic 1) is localized to human chromosome 2. Spectrins belong to the superfamily of proteins called F-actin cross linking proteins that function as scaffolding proteins for protein sorting, cell adhesion, and migration. They are also involved in TGF-β signaling.

Immunogen

Spectrin beta chain, brain 1 recombinant protein epitope signature tag (PrEST)

Application

Anti-SPTBN1 antibody produced in rabbit has been used in the study of protein profiling to identify differential abundance in plasma samples of osteoporosis patients when compared to matched healthy controls using the suspension bead array approach.
Anti-SPTBN1 antibody produced in rabbit, a Prestige Antibody, is developed and validated by the Human Protein Atlas (HPA) project . Each antibody is tested by immunohistochemistry against hundreds of normal and disease tissues. These images can be viewed on the Human Protein Atlas (HPA) site by clicking on the Image Gallery link. The antibodies are also tested using immunofluorescence and western blotting. To view these protocols and other useful information about Prestige Antibodies and the HPA, visit sigma.com/prestige.

Biochem/physiol Actions

SPTBN1 (Spectrin β chain, non-erythrocytic 1) gene encodes a cytoskeletal protein that interacts with α-synuclein and modulates neurite outgrowth. Its overexpression leads to excessive neurite formation from dopaminergic neuronal cell bodies. SPTBN1 may function as a tumor suppressor and its reduced expression has been correlated with reduced survival of pancreatic cancer patients.

Features and Benefits

Prestige Antibodies® are highly characterized and extensively validated antibodies with the added benefit of all available characterization data for each target being accessible via the Human Protein Atlas portal linked just below the product name at the top of this page. The uniqueness and low cross-reactivity of the Prestige Antibodies® to other proteins are due to a thorough selection of antigen regions, affinity purification, and stringent selection. Prestige antigen controls are available for every corresponding Prestige Antibody and can be found in the linkage section.

Every Prestige Antibody is tested in the following ways:
  • IHC tissue array of 44 normal human tissues and 20 of the most common cancer type tissues.
  • Protein array of 364 human recombinant protein fragments.

Physical form

Solution in phosphate-buffered saline, pH 7.2, containing 40% glycerol and 0.02% sodium azide

Other Notes

Corresponding Antigen APREST71563

Legal Information

Prestige Antibodies is a registered trademark of Merck KGaA, Darmstadt, Germany

Disclaimer

Unless otherwise stated in our catalog or other company documentation accompanying the product(s), our products are intended for research use only and are not to be used for any other purpose, which includes but is not limited to, unauthorized commercial uses, in vitro diagnostic uses, ex vivo or in vivo therapeutic uses or any type of consumption or application to humans or animals.


Still not finding the right product?

Explore all of our products under

或者

试用我们的 产品选型工具 工具缩小选择范围


存储类别

10 - Combustible liquids

wgk

WGK 1

flash_point_f

Not applicable

flash_point_c

Not applicable

ppe

Eyeshields, Gloves, multi-purpose combination respirator cartridge (US)

法规信息

新产品

此项目有



历史批次信息供参考:

分析证书(COA)

Lot/Batch Number

没有发现合适的版本?

如果您需要特殊版本,可通过批号或批次号查找具体证书。

已有该产品?

在文件库中查找您最近购买产品的文档。

访问文档库



Francis H Grand et al.
Experimental hematology, 35(11), 1723-1727 (2007-09-04)
To determine the consequences and significance of an acquired 46XX,t(2;13;2;21)(p13;q12;q33;q11.2) in atypical chronic myeloid leukemia (aCML). Translocation breakpoints were identified by fluorescence in situ hybridization and a novel fusion gene identified by rapid amplification of cDNA ends polymerase chain reaction.
Ulrika Qundos et al.
Proteomics. Clinical applications, 10(6), 681-690 (2015-02-18)
Affinity proteomic approaches by antibody bead arrays enable multiplexed analysis of proteins in body fluids. In the presented study, we investigated blood plasma within osteoporosis to discovery differential protein profiles and to propose novel biomarkers candidates for subsequent studies. Starting
Hak Joo Lee et al.
Biochemical and biophysical research communications, 424(3), 497-502 (2012-07-10)
α-Synuclein is the major component of Lewy bodies and Lewy neurites, the pathological hallmarks of surviving neuronal cells in Parkinson's disease patients. However, the physiological role played by α-synuclein remains unclear. In this study, spectrin beta non-erythrocyte 1 (SPTBN1) interacted



全球贸易项目编号

货号GTIN
HPA013149-100UL04061836302832
HPA013149-25UL04061842792061