跳转至内容
Merck
CN

HPA013547

Anti-CYP2C8 antibody produced in rabbit

Prestige Antibodies® Powered by Atlas Antibodies, affinity isolated antibody, buffered aqueous glycerol solution

别名:

Anti-CYPIIC8, Anti-Cytochrome P450 2C8, Anti-P450 IIC2, Anti-P450 MP- 12/MP-20, Anti-P450 form 1, Anti-S-mephenytoin 4-hydroxylase

登录 查看组织和合同定价。

选择尺寸

变更视图

关于此项目

UNSPSC Code:
12352203
NACRES:
NA.41
Human Protein Atlas Number:
Conjugate:
unconjugated
Clone:
polyclonal
Application:
IHC, WB
Citations:
1
技术服务
需要帮助?我们经验丰富的科学家团队随时乐意为您服务。
让我们为您提供帮助


biological source

rabbit

Quality Level

conjugate

unconjugated

antibody form

affinity isolated antibody

antibody product type

primary antibodies

clone

polyclonal

product line

Prestige Antibodies® Powered by Atlas Antibodies

form

buffered aqueous glycerol solution

species reactivity

human

enhanced validation

orthogonal RNAseq
independent
Learn more about Antibody Enhanced Validation

technique(s)

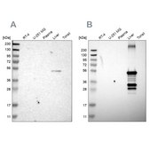
immunohistochemistry: 1:20-1:50, western blot: 0.04-0.4 μg/mL

immunogen sequence

KRICAGEGLARMELFLFLTTILQNFNLKSVDDLKNLNTTAVTKGIVSLPPSYQICFIPV

UniProt accession no.

shipped in

wet ice

storage temp.

−20°C

target post-translational modification

unmodified

Gene Information

human ... CYP2C8(1558)

General description

CYP2C8 (cytochrome P450, family 2, subfamily C, polypeptide 8) has been found to be expressed in the kidney, adrenal gland, brain, uterus, mammary gland, ovary, and duodenum. The gene is mapped to human chromosome 10q23.

Immunogen

Cytochrome P450 2C8 recombinant protein epitope signature tag (PrEST)

Application

All Prestige Antibodies Powered by Atlas Antibodies are developed and validated by the Human Protein Atlas (HPA) project and as a result, are supported by the most extensive characterization in the industry.

The Human Protein Atlas project can be subdivided into three efforts: Human Tissue Atlas, Cancer Atlas, and Human Cell Atlas. The antibodies that have been generated in support of the Tissue and Cancer Atlas projects have been tested by immunohistochemistry against hundreds of normal and disease tissues and through the recent efforts of the Human Cell Atlas project, many have been characterized by immunofluorescence to map the human proteome not only at the tissue level but now at the subcellular level. These images and the collection of this vast data set can be viewed on the Human Protein Atlas (HPA) site by clicking on the Image Gallery link. We also provide Prestige Antibodies® protocols and other useful information.

Biochem/physiol Actions

CYP2C8 (cytochrome P450, family 2, subfamily C, polypeptide 8) gene encodes a protein belonging to the cytochrome P450 superfamily of enzymes that function as monooxygenases. It is the major enzyme in the liver and kidney that is involved in the metabolism of arachidonic acid to biologically active epoxyeicosatrienoic acids (EETs). EETs function in several processes such as, peptide hormone secretion in the pancreas and pituitary, Na+ transport and water reabsorption in the kidney, platelet aggregation, etc. It is also the primary enzyme functioning in the metabolism of anticancer drug paclitaxel. It can also metabolize precarcinogen benzo(α)pyrene in humans and may have a role in carcinogenesis. It is found to act on other drugs such as, roziglitazone, a drug used in patients with adult onset of diabetes. It also mediates the maintenance of vascular tone in coronary arteries.

Features and Benefits

Prestige Antibodies® are highly characterized and extensively validated antibodies with the added benefit of all available characterization data for each target being accessible via the Human Protein Atlas portal linked just below the product name at the top of this page. The uniqueness and low cross-reactivity of the Prestige Antibodies® to other proteins are due to a thorough selection of antigen regions, affinity purification, and stringent selection. Prestige antigen controls are available for every corresponding Prestige Antibody and can be found in the linkage section.

Every Prestige Antibody is tested in the following ways:
  • IHC tissue array of 44 normal human tissues and 20 of the most common cancer type tissues.
  • Protein array of 364 human recombinant protein fragments.

Physical form

Solution in phosphate-buffered saline, pH 7.2, containing 40% glycerol and 0.02% sodium azide

Other Notes

Corresponding Antigen APREST72891

Legal Information

Prestige Antibodies is a registered trademark of Merck KGaA, Darmstadt, Germany


Still not finding the right product?

Explore all of our products under

或者

试用我们的 产品选型工具 工具缩小选择范围


存储类别

10 - Combustible liquids

wgk

WGK 1

flash_point_f

Not applicable

flash_point_c

Not applicable

ppe

Eyeshields, Gloves, multi-purpose combination respirator cartridge (US)

法规信息

新产品

此项目有



历史批次信息供参考:

分析证书(COA)

Lot/Batch Number

没有发现合适的版本?

如果您需要特殊版本,可通过批号或批次号查找具体证书。

已有该产品?

在文件库中查找您最近购买产品的文档。

访问文档库


商品

一期生物转化反应在药物上引入或暴露官能团,目的是增加化合物的极性。尽管一期药物代谢发生在大多数组织中,但代谢的主要和首过部位发生在肝循环期间。

Phase I biotransformation reactions increase drug compound polarity, mainly occurring in hepatic circulation.


D Dai et al.
Pharmacogenetics, 11(7), 597-607 (2001-10-23)
Cytochrome P450 (CYP) 2C8 is the principal enzyme responsible for the metabolism of the anti-cancer drug paclitaxel (Taxol). It is also the predominant P450 responsible for the metabolism of arachidonic acid to biologically active epoxyeicosatrienoic acids (EETs) in human liver



全球贸易项目编号

货号GTIN
HPA013547-100UL04061835680030
HPA013547-25UL04061842792504