biological source
rabbit
Quality Level
conjugate
unconjugated
antibody form
affinity isolated antibody
antibody product type
primary antibodies
clone
polyclonal
product line
Prestige Antibodies® Powered by Atlas Antibodies
form
buffered aqueous glycerol solution
species reactivity
human
enhanced validation
recombinant expression
Learn more about Antibody Enhanced Validation
technique(s)
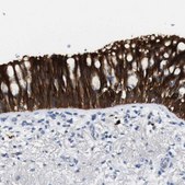
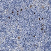
immunoblotting: 0.04-0.4 μg/mL, immunohistochemistry: 1:200-1:500
immunogen sequence
RTVGEDPQGLFQKHREEELEERRKLYRWGNWKDGLILNMAGAKLYDLPVDERFLEDKRVDFEVSLAKGLADLAIKDSLNVLTCWKDLDDFNRIFWCGQSKLAERVRDSWKEDALFGYQ
UniProt accession no.
shipped in
wet ice
storage temp.
−20°C
target post-translational modification
unmodified
Gene Information
human ... ALOX15(246)
General description
The gene ALOX15 (Arachidonate 15-lipoxygenase) is mapped to human chromosome 17p13.3.
Immunogen
Arachidonate 15-lipoxygenase recombinant protein epitope signature tag (PrEST)
Application
All Prestige Antibodies Powered by Atlas Antibodies are developed and validated by the Human Protein Atlas (HPA) project and as a result, are supported by the most extensive characterization in the industry.
The Human Protein Atlas project can be subdivided into three efforts: Human Tissue Atlas, Cancer Atlas, and Human Cell Atlas. The antibodies that have been generated in support of the Tissue and Cancer Atlas projects have been tested by immunohistochemistry against hundreds of normal and disease tissues and through the recent efforts of the Human Cell Atlas project, many have been characterized by immunofluorescence to map the human proteome not only at the tissue level but now at the subcellular level. These images and the collection of this vast data set can be viewed on the Human Protein Atlas (HPA) site by clicking on the Image Gallery link. We also provide Prestige Antibodies® protocols and other useful information.
The Human Protein Atlas project can be subdivided into three efforts: Human Tissue Atlas, Cancer Atlas, and Human Cell Atlas. The antibodies that have been generated in support of the Tissue and Cancer Atlas projects have been tested by immunohistochemistry against hundreds of normal and disease tissues and through the recent efforts of the Human Cell Atlas project, many have been characterized by immunofluorescence to map the human proteome not only at the tissue level but now at the subcellular level. These images and the collection of this vast data set can be viewed on the Human Protein Atlas (HPA) site by clicking on the Image Gallery link. We also provide Prestige Antibodies® protocols and other useful information.
Biochem/physiol Actions
The gene ALOX15 encodes a non-heme iron-containing dioxygenase called as arachidonate 15-lipoxygenase. It encodes the type 1 isozyme of 15-Lipoxygenase. The enzyme catalyzes the oxygenation of free fatty acids and fatty acids bound to membrane phospholipids. The reaction converts arachidonic acid to 12- and 15-HETE (hydroxyeicosatetraenoic acid). The gene has been associated with the development of asthma, arthritis, and atherosclerosis. Polymorphism in this gene has been implicated as a determinant of bone mineral density in postmenopausal women and may serve as a marker for osteoporosis. The enzyme may play a role in inflammation.
Features and Benefits
Prestige Antibodies® are highly characterized and extensively validated antibodies with the added benefit of all available characterization data for each target being accessible via the Human Protein Atlas portal linked just below the product name at the top of this page. The uniqueness and low cross-reactivity of the Prestige Antibodies® to other proteins are due to a thorough selection of antigen regions, affinity purification, and stringent selection. Prestige antigen controls are available for every corresponding Prestige Antibody and can be found in the linkage section.
Every Prestige Antibody is tested in the following ways:
Every Prestige Antibody is tested in the following ways:
- IHC tissue array of 44 normal human tissues and 20 of the most common cancer type tissues.
- Protein array of 364 human recombinant protein fragments.
Physical form
Solution in phosphate-buffered saline, pH 7.2, containing 40% glycerol and 0.02% sodium azide
Other Notes
Corresponding Antigen APREST72464
Legal Information
Prestige Antibodies is a registered trademark of Merck KGaA, Darmstadt, Germany
Disclaimer
Unless otherwise stated in our catalog or other company documentation accompanying the product(s), our products are intended for research use only and are not to be used for any other purpose, which includes but is not limited to, unauthorized commercial uses, in vitro diagnostic uses, ex vivo or in vivo therapeutic uses or any type of consumption or application to humans or animals.
存储类别
10 - Combustible liquids
wgk
WGK 1
flash_point_f
Not applicable
flash_point_c
Not applicable
ppe
Eyeshields, Gloves, multi-purpose combination respirator cartridge (US)
法规信息
低风险生物材料
常规特殊物品
常规特殊物品
此项目有
Tomohiko Urano et al.
Journal of bone and mineral metabolism, 23(3), 226-230 (2005-04-20)
The 12/15-lipoxygenase gene Alox15 has been identified as a susceptibility gene for bone mineral density (BMD) in mice through combined genetic and genomic analyses. Here we studied the association between bone mineral density and an ALOX15 gene single nucleotide polymorphism
Jonas Wittwer et al.
Human mutation, 27(1), 78-87 (2005-12-02)
The reticulocyte-type 15-lipoxygenase-1 (ALOX15) has antiinflammatory and inflammatory effects, and is implicated in the development of asthma, arthritis, and atherosclerosis. We screened the human ALOX15 gene for variations because genetic variability in ALOX15 may influence these diseases. We detected 11
Amira Gohara et al.
Oncology reports, 28(4), 1275-1282 (2012-07-25)
Lipoxygenases make an impact on every stage of cancer affecting carcinogenesis, metastasis and apoptosis. While there is a rich literature on individual lipoxygenases we lack extensive data on their coexistence and balance in different organs and types of cancer. Renal
全球贸易项目编号
| 货号 | GTIN |
|---|---|
| HPA013859-25UL | 04061842792764 |
| HPA013859-100UL | 04061837136689 |