跳转至内容
Merck
CN

HPA014067

抗 ENTPD1 兔抗

Prestige Antibodies® Powered by Atlas Antibodies, affinity isolated antibody, buffered aqueous glycerol solution

别名:

抗 ATPDase, 抗 CD39, 抗 NTPDase-1, 抗 SPG64

登录 查看组织和合同定价。

选择尺寸

变更视图

关于此项目

UNSPSC Code:
12352203
NACRES:
NA.43
Human Protein Atlas Number:
Conjugate:
unconjugated
Clone:
polyclonal
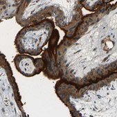
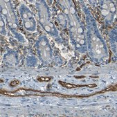
Application:
IHC
Citations:
11
技术服务
需要帮助?我们经验丰富的科学家团队随时乐意为您服务。
让我们为您提供帮助


biological source

rabbit

Quality Level

conjugate

unconjugated

antibody form

affinity isolated antibody

antibody product type

primary antibodies

clone

polyclonal

product line

Prestige Antibodies® Powered by Atlas Antibodies

form

buffered aqueous glycerol solution

species reactivity

human

technique(s)

immunoblotting: 0.04-0.4 μg/mL, immunohistochemistry: 1:50-1:200

immunogen sequence

GVVHQVEECRVKGPGISKFVQKVNEIGIYLTDCMERAREVIPRSQHQETPVYLGATAGMRLLRMESEELADRVLDVVERSLSNYPFDFQGARIITGQEEGAYGWITINYLLGKFSQKTRWFS

UniProt accession no.

shipped in

wet ice

storage temp.

−20°C

target post-translational modification

unmodified

Gene Information

human ... ENTPD1(953)

Immunogen

外核苷三磷酸二磷酸水解酶 1 重组蛋白表位签名标签 (PrEST)

Application

兔抗ENTPD1抗体属 Prestige 抗体,经人类蛋白质图谱(HPA)计划 开发和验证。每种抗体都通过针对数百种正常和疾病组织的免疫组织化学进行测试。通过单击图像库链接,可以在人类蛋白质图谱(HPA)站点上查看这些图像。还采用免疫荧光和蛋白质印迹法对抗体进行检测。想要查看有关Prestige 抗体和HPA的方案和其他实用信息,请访问 sigma.com/prestige
此抗体已成功使用的应用,以及相关的同行评审论文如下。
蛋白免疫分析(Western Blotting)(1篇文章)

Biochem/physiol Actions

基因ENTPD1(外核苷三磷酸二磷酸水解酶1)编码质膜结合血管ATP二磷酸水解酶(ATPDase),催化细胞外ATP和ADP水解为腺苷,后者与腺苷受体相关,可负调控t细胞和自然杀伤(NK)细胞反应,导致免疫系统受到抑制。调节性T细胞(Treg)的免疫抑制功能主要是由于CD39/CD73途径产生腺苷。CD39在癌细胞中的表达高于正常细胞。它通过浸润淋巴细胞、肿瘤间质和肿瘤细胞在癌组织中表达。它可以作为抑制肿瘤细胞介导的免疫抑制的治疗靶点。

Features and Benefits

Prestige抗体®是经过高度表征和广泛验证的抗体,同时还有一个优点是其每个靶标的所有可用表征数据都可以通过位于此页面顶部产品名称下方的人类蛋白质图谱门户进行访问。Prestige抗体对其他蛋白质的独特性和低交叉反应性®是通过严密的抗原区域选择、亲和纯化和严格的选择来实现的。针对每一个Prestige Antibody都存在有对应的Prestige抗原对照,并可在链接区域内找到。

每个Prestige Antibody都是按照以下方法进行测试的:
  • 44例正常人类组织以及20例最常见癌症类型组织的IHC组织阵列。
  • 364个人类重组蛋白片段的蛋白阵列。

Physical form

磷酸盐缓冲盐溶液,pH 7.2,含 40% 甘油和 0.02% 叠氮化钠

Other Notes

对应抗原APREST72656

Legal Information

Prestige Antibodies is a registered trademark of Merck KGaA, Darmstadt, Germany

Disclaimer

除非我们的产品目录或产品附带的其他公司文档另有说明,否则我们的产品仅供研究使用,不得用于任何其他目的,包括但不限于未经授权的商业用途、体外诊断用途、离体或体内治疗用途或任何类型的消费或应用于人类或动物。


Still not finding the right product?

试用我们的 产品选型工具 工具缩小选择范围


存储类别

10 - Combustible liquids

wgk

WGK 1

flash_point_f

Not applicable

flash_point_c

Not applicable

ppe

Eyeshields, Gloves, multi-purpose combination respirator cartridge (US)

法规信息

常规特殊物品
常规特殊物品
低风险生物材料

此项目有



历史批次信息供参考:

分析证书(COA)

Lot/Batch Number

没有发现合适的版本?

如果您需要特殊版本,可通过批号或批次号查找具体证书。

已有该产品?

在文件库中查找您最近购买产品的文档。

访问文档库



Alessandro Cinti et al.
PloS one, 10(10), e0141933-e0141933 (2015-10-30)
Several biomedical applications, such as xenotransplantation, require multiple genes simultaneously expressed in eukaryotic cells. Advances in genetic engineering technologies have led to the development of efficient polycistronic vectors based on the use of the 2A self-processing oligopeptide. The aim of
Marco De Giorgi et al.
Plasmid, 79, 22-29 (2015-03-18)
We developed an F2A-based multicistronic system to evaluate functional effects of co-expression of three proteins important for xenotransplantation: heme oxygenase 1 (HO1), ecto-5'-nucleotidase (E5NT) and ecto-nucleoside triphosphate diphosphohydrolase-1 (ENTPD1). The tricistronic p2A plasmid that we constructed was able to efficiently
I C Gray et al.
Genomics, 43(1), 85-88 (1997-07-01)
Chromosome band 10q24 is rich in genes involved in development, tumorigenesis, neurological disorders, hormone metabolism, and environmentally induced disease susceptibility. We have constructed an STS-based integrated physical and genetic map of 10q24 derived from the CEPH-Généthon mega-YAC contig data for



全球贸易项目编号

货号GTIN
HPA014067-100UL04061837136795
HPA014067-25UL04061842793068