跳转至内容
Merck
CN

HPA019832

Anti-NAPEPLD antibody produced in rabbit

Prestige Antibodies® Powered by Atlas Antibodies, affinity isolated antibody, buffered aqueous glycerol solution

别名:

Anti-N-acyl phosphatidylethanolamine phospholipase D, Anti-N-acyl-phosphatidylethanolamine-hydrolyzing phospholipase D, Anti-NAPE-PLD, Anti-NAPE-hydrolyzing phospholipase D

登录 查看组织和合同定价。

选择尺寸

变更视图

关于此项目

UNSPSC Code:
12352203
NACRES:
NA.41
MDL number:
Human Protein Atlas Number:
Conjugate:
unconjugated
Clone:
polyclonal
Application:
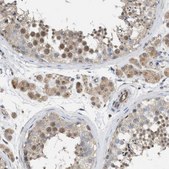
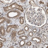
IF, IHC
Citations:
2
技术服务
需要帮助?我们经验丰富的科学家团队随时乐意为您服务。
让我们为您提供帮助


biological source

rabbit

Quality Level

conjugate

unconjugated

antibody form

affinity isolated antibody

antibody product type

primary antibodies

clone

polyclonal

product line

Prestige Antibodies® Powered by Atlas Antibodies

form

buffered aqueous glycerol solution

species reactivity

human

technique(s)

immunofluorescence: 0.25-2 μg/mL, immunohistochemistry: 1:50-1:200

immunogen sequence

MKYQHVDPEEAVRIHTDVQTKKSMAIHWGTFALANEHYLEPPVKLNEALERYGLNAEDFFVLKHGESRYLNNDDE

UniProt accession no.

shipped in

wet ice

storage temp.

−20°C

target post-translational modification

unmodified

Gene Information

human ... NAPEPLD(222236)

General description

NAPEPLD (N-acyl phosphatidylethanolamine phospholipase D) is a phosphodiesterase belonging to the zinc metallohydrolase family of the β-lactamase fold. It is composed of highly conserved histidine and aspartic acid residues.

Immunogen

N-acyl-phosphatidylethanolamine-hydrolyzing phospholipase D recombinant protein epitope signature tag (PrEST)

Application

All Prestige Antibodies Powered by Atlas Antibodies are developed and validated by the Human Protein Atlas (HPA) project and as a result, are supported by the most extensive characterization in the industry.

The Human Protein Atlas project can be subdivided into three efforts: Human Tissue Atlas, Cancer Atlas, and Human Cell Atlas. The antibodies that have been generated in support of the Tissue and Cancer Atlas projects have been tested by immunohistochemistry against hundreds of normal and disease tissues and through the recent efforts of the Human Cell Atlas project, many have been characterized by immunofluorescence to map the human proteome not only at the tissue level but now at the subcellular level. These images and the collection of this vast data set can be viewed on the Human Protein Atlas (HPA) site by clicking on the Image Gallery link. We also provide Prestige Antibodies® protocols and other useful information.

Biochem/physiol Actions

NAPEPLD (N-acyl phosphatidylethanolamine phospholipase D) is involved in major biosynthetic pathway of anandamide and other bioactive N-acylethanolamines. It accelerates the hydrolysis of NAPE to N-acylethanolamine and phosphatidic acid. It exerts zinc dependent catalytic activity while generating N-acylethanolamines including anandamide from their corresponding NAPEs, highly responsible for zinc coordination and hydrolysis reaction. It also plays a significant role in the lipid metabolism of animal tissues.

Features and Benefits

Prestige Antibodies® are highly characterized and extensively validated antibodies with the added benefit of all available characterization data for each target being accessible via the Human Protein Atlas portal linked just below the product name at the top of this page. The uniqueness and low cross-reactivity of the Prestige Antibodies® to other proteins are due to a thorough selection of antigen regions, affinity purification, and stringent selection. Prestige antigen controls are available for every corresponding Prestige Antibody and can be found in the linkage section.

Every Prestige Antibody is tested in the following ways:
  • IHC tissue array of 44 normal human tissues and 20 of the most common cancer type tissues.
  • Protein array of 364 human recombinant protein fragments.

Physical form

Solution in phosphate-buffered saline, pH 7.2, containing 40% glycerol and 0.02% sodium azide

Other Notes

Corresponding Antigen APREST75051

Legal Information

Prestige Antibodies is a registered trademark of Merck KGaA, Darmstadt, Germany

Disclaimer

Unless otherwise stated in our catalog or other company documentation accompanying the product(s), our products are intended for research use only and are not to be used for any other purpose, which includes but is not limited to, unauthorized commercial uses, in vitro diagnostic uses, ex vivo or in vivo therapeutic uses or any type of consumption or application to humans or animals.


Still not finding the right product?

Explore all of our products under

或者

试用我们的 产品选型工具 工具缩小选择范围


存储类别

10 - Combustible liquids

wgk

WGK 1

flash_point_f

Not applicable

flash_point_c

Not applicable

法规信息

新产品

此项目有



历史批次信息供参考:

分析证书(COA)

Lot/Batch Number

没有发现合适的版本?

如果您需要特殊版本,可通过批号或批次号查找具体证书。

已有该产品?

在文件库中查找您最近购买产品的文档。

访问文档库



Jun Wang et al.
The Journal of biological chemistry, 281(18), 12325-12335 (2006-03-11)
In animal tissues, bioactive N-acylethanolamines including the endocannabinoid anandamide are formed from their corresponding N-acylphosphatidylethanolamines (NAPEs) by the catalysis of a specific phospholipase D (NAPE-PLD) that belongs to the metallo-beta-lactamase family. Despite its potential physiological importance, NAPE-PLD has not yet
Yasuo Okamoto et al.
The Journal of biological chemistry, 279(7), 5298-5305 (2003-11-25)
Anandamide (N-arachidonoylethanolamine) is known to be an endogenous ligand of cannabinoid and vanilloid receptors. Its congeners (collectively referred to as N-acylethanolamines) also show a variety of biological activities. These compounds are principally formed from their corresponding N-acyl-phosphatidylethanolamines by a phosphodiesterase



全球贸易项目编号

货号GTIN
HPA019832-25UL04061842870882
HPA019832-100UL04061837139031