跳转至内容
Merck
CN

HPA020280

Anti-AKR1B10 antibody produced in rabbit

Prestige Antibodies® Powered by Atlas Antibodies, affinity isolated antibody, buffered aqueous glycerol solution

别名:

Anti-AKR1B11, Anti-AKR1B12, Anti-ALDRLn, Anti-ARL1, Anti-HIS, Anti-HSI, Anti-aldo-keto reductase family 1, member B10 (aldose reductase)

登录 查看组织和合同定价。

选择尺寸

变更视图

关于此项目

UNSPSC Code:
12352203
NACRES:
NA.43
Human Protein Atlas Number:
Conjugate:
unconjugated
Clone:
polyclonal
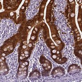
Application:
IF, IHC
Citations:
6
技术服务
需要帮助?我们经验丰富的科学家团队随时乐意为您服务。
让我们为您提供帮助


biological source

rabbit

Quality Level

conjugate

unconjugated

antibody form

affinity isolated antibody

antibody product type

primary antibodies

clone

polyclonal

product line

Prestige Antibodies® Powered by Atlas Antibodies

form

buffered aqueous glycerol solution

species reactivity

human

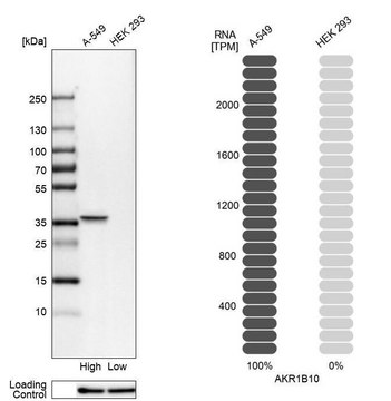
enhanced validation

orthogonal RNAseq
Learn more about Antibody Enhanced Validation

technique(s)

immunoblotting: 0.04-0.4 μg/mL, immunofluorescence: 0.25-2 μg/mL, immunohistochemistry: 1:500-1:1000

immunogen sequence

PTFFERPLVRKAFEKTLKDLKLSYLDVYLIHWPQGFKSGDDLFPKDDKGNAIGGKAT

UniProt accession no.

shipped in

wet ice

storage temp.

−20°C

target post-translational modification

unmodified

Gene Information

human ... AKR1B10(57016)

General description

Aldo-keto reductase family 1, member B10 (AKR1B10) belongs to the aldo-keto reductase (AKR) superfamily and the gene encoding it is localized on human chromosome 7q33.1. The gene has been shown to be a doxorubicin (DOX)-resistance gene.

Immunogen

aldo-keto reductase family 1, member B10 (aldose reductase) recombinant protein epitope signature tag (PrEST)

Application

All Prestige Antibodies Powered by Atlas Antibodies are developed and validated by the Human Protein Atlas (HPA) project and as a result, are supported by the most extensive characterization in the industry.

The Human Protein Atlas project can be subdivided into three efforts: Human Tissue Atlas, Cancer Atlas, and Human Cell Atlas. The antibodies that have been generated in support of the Tissue and Cancer Atlas projects have been tested by immunohistochemistry against hundreds of normal and disease tissues and through the recent efforts of the Human Cell Atlas project, many have been characterized by immunofluorescence to map the human proteome not only at the tissue level but now at the subcellular level. These images and the collection of this vast data set can be viewed on the Human Protein Atlas (HPA) site by clicking on the Image Gallery link. We also provide Prestige Antibodies® protocols and other useful information.

Biochem/physiol Actions

Aldo-keto reductase family 1, member B10 (AKR1B10) increases the invasive and migrating capacity of gastric cancer cells. It is involved in the metabolism of retinal and farnesal which is important for carcinogenesis. AKR1B10 also plays an important role in contributing to detoxification of xenobiotics and is a biomarker for hepatocellular carcinogenesis.

Features and Benefits

Prestige Antibodies® are highly characterized and extensively validated antibodies with the added benefit of all available characterization data for each target being accessible via the Human Protein Atlas portal linked just below the product name at the top of this page. The uniqueness and low cross-reactivity of the Prestige Antibodies® to other proteins are due to a thorough selection of antigen regions, affinity purification, and stringent selection. Prestige antigen controls are available for every corresponding Prestige Antibody and can be found in the linkage section.

Every Prestige Antibody is tested in the following ways:
  • IHC tissue array of 44 normal human tissues and 20 of the most common cancer type tissues.
  • Protein array of 364 human recombinant protein fragments.

Physical form

Solution in phosphate-buffered saline, pH 7.2, containing 40% glycerol and 0.02% sodium azide.

Other Notes

Corresponding Antigen APREST75135

Legal Information

Prestige Antibodies is a registered trademark of Merck KGaA, Darmstadt, Germany

Disclaimer

Unless otherwise stated in our catalog or other company documentation accompanying the product(s), our products are intended for research use only and are not to be used for any other purpose, which includes but is not limited to, unauthorized commercial uses, in vitro diagnostic uses, ex vivo or in vivo therapeutic uses or any type of consumption or application to humans or animals.


Still not finding the right product?

Explore all of our products under

或者

试用我们的 产品选型工具 工具缩小选择范围


存储类别

10 - Combustible liquids

wgk

WGK 1

flash_point_f

Not applicable

flash_point_c

Not applicable

法规信息

常规特殊物品
常规特殊物品
低风险生物材料

此项目有



历史批次信息供参考:

分析证书(COA)

Lot/Batch Number

没有发现合适的版本?

如果您需要特殊版本,可通过批号或批次号查找具体证书。

已有该产品?

在文件库中查找您最近购买产品的文档。

访问文档库



Toru Nishinaka et al.
Chemico-biological interactions, 234, 274-281 (2014-12-03)
AKR1B10 is a human member of the aldo-keto reductase (AKR) superfamily, and is considered to be a tumor biomarker because its expression is known to be significantly induced in the cells of various cancers such as lung non-small-cell carcinoma and
Kristina A Matkowskyj et al.
Human pathology, 45(4), 834-843 (2014-03-25)
Hepatocellular carcinoma (HCC) is one of the most common highly aggressive malignant tumors worldwide. Aldoketoreductase 1B10 (AKR1B10) was first isolated from HCC and further identified to be over-expressed in many cancers from various organs. AKR1B10 contributes to detoxification of xenobiotics
Satoshi Endo et al.
Chemico-biological interactions, 234, 282-289 (2014-10-08)
tert-Butylhydroquinone (BHQ), an antioxidant used as a food additive, exhibits an anticancer effect at low doses, but is carcinogenic in rodents at high doses. BHQ is metabolized into cytotoxic tert-butylquinone (TBQ), which is further converted to 6-tert-butyl-2,3-epoxy-4-hydroxy-5-cyclohexen-1-one (TBEH) through 6-tert-butyl-2,3-epoxy-4-benzoquinone



全球贸易项目编号

货号GTIN
HPA020280-100UL04061836314019
HPA020280-25UL04061842873777