跳转至内容
Merck
CN

HPA020959

抗-AGK 兔抗

Prestige Antibodies® Powered by Atlas Antibodies, affinity isolated antibody, buffered aqueous glycerol solution

别名:

Anti-Acylglycerol kinase, mitochondrial, Anti-HsMuLK, Anti-MuLK, Anti-Multi-substrate lipid kinase, Anti-Multiple substrate lipid kinase, Anti-hAGK

登录 查看组织和合同定价。

选择尺寸

变更视图

关于此项目

UNSPSC Code:
12352203
NACRES:
NA.41
Human Protein Atlas Number:
Conjugate:
unconjugated
Clone:
polyclonal
Application:
IHC
Citations:
7
技术服务
需要帮助?我们经验丰富的科学家团队随时乐意为您服务。
让我们为您提供帮助


biological source

rabbit

Quality Level

conjugate

unconjugated

antibody form

affinity isolated antibody

antibody product type

primary antibodies

clone

polyclonal

product line

Prestige Antibodies® Powered by Atlas Antibodies

form

buffered aqueous glycerol solution

species reactivity

human

technique(s)

immunohistochemistry: 1:200- 1:500

immunogen sequence

LHLSGMDVTIVKTDYEGQAKKLLELMENTDVIIVAGGDGTLQEVVTGVLRRTDEATFSKIPIGFIPLGETSSLSHTLFAESGNKV

UniProt accession no.

shipped in

wet ice

storage temp.

−20°C

target post-translational modification

unmodified

Gene Information

human ... AGK(55750)

General description

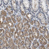
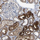
The gene AGK (acylglycerol kinase) is mapped to human chromsome 7q34. The protein localizes in the mitochondria. AGK is strongly expressed in the heart, muscle, kidney and brain.

Immunogen

Acylglycerol kinase, mitochondrial Precursor recombinant protein epitope signature tag (PrEST)

Application

Anti-AGK antibody produced in rabbit, a Prestige Antibody, is developed and validated by the Human Protein Atlas (HPA) project . Each antibody is tested by immunohistochemistry against hundreds of normal and disease tissues. These images can be viewed on the Human Protein Atlas (HPA) site by clicking on the Image Gallery link. The antibodies are also tested using immunofluorescence and western blotting. To view these protocols and other useful information about Prestige Antibodies and the HPA, visit sigma.com/prestige.

Biochem/physiol Actions

AGK (acylglycerol kinase) is responsible for formation of lysophosphatidic acid (LPA) and phosphatidic acid (PA) through phosphorylation of monoacylglycerol and diacylglycerol, respectively. Additionally, AGK-mediated scavenging of mitochondrial diacylglycerol has been reported. It is up-regulated in prostate cancer and participates in amplification of EGF (epidermal growth factor) signaling. AGK also promotes tumorigenesis in breast cancer, esophageal squamous cell carcinoma and hepatocellular carcinoma. Mutations in AGK are linked with Sengers syndrome.

Features and Benefits

Prestige Antibodies® are highly characterized and extensively validated antibodies with the added benefit of all available characterization data for each target being accessible via the Human Protein Atlas portal linked just below the product name at the top of this page. The uniqueness and low cross-reactivity of the Prestige Antibodies® to other proteins are due to a thorough selection of antigen regions, affinity purification, and stringent selection. Prestige antigen controls are available for every corresponding Prestige Antibody and can be found in the linkage section.

Every Prestige Antibody is tested in the following ways:
  • IHC tissue array of 44 normal human tissues and 20 of the most common cancer type tissues.
  • Protein array of 364 human recombinant protein fragments.

Physical form

Solution in phosphate-buffered saline, pH 7.2, containing 40% glycerol and 0.02% sodium azide

Other Notes

Corresponding Antigen APREST74837

Legal Information

Prestige Antibodies is a registered trademark of Merck KGaA, Darmstadt, Germany

Disclaimer

Unless otherwise stated in our catalog or other company documentation accompanying the product(s), our products are intended for research use only and are not to be used for any other purpose, which includes but is not limited to, unauthorized commercial uses, in vitro diagnostic uses, ex vivo or in vivo therapeutic uses or any type of consumption or application to humans or animals.


Still not finding the right product?

Explore all of our products under 抗-AGK 兔抗

或者

试用我们的 产品选型工具 工具缩小选择范围


存储类别

10 - Combustible liquids

wgk

WGK 1

flash_point_f

Not applicable

flash_point_c

Not applicable

法规信息

常规特殊物品
低风险生物材料

此项目有



历史批次信息供参考:

分析证书(COA)

Lot/Batch Number

没有发现合适的版本?

如果您需要特殊版本,可通过批号或批次号查找具体证书。

已有该产品?

在文件库中查找您最近购买产品的文档。

访问文档库



Ahmed M Abu El-Asrar et al.
Acta ophthalmologica, 90(2), e84-e89 (2011-11-23)
Lysophosphatidic acid (LPA)/LPA(1) receptor pathway is involved in inflammation, angiogenesis and fibrosis. This study was conducted to analyse the expression of LPA-producing enzymes, autotaxin (ATX) and acylglycerol kinase (AGK) and LPA(1) receptor, in proliferative diabetic retinopathy (PDR) and proliferative vitreoretinopathy
A Shiels et al.
Clinical genetics, 84(2), 120-127 (2013-05-08)
The pathogenesis of inherited cataracts of all kinds recapitulates the developmental and cell biology of the lens. Just as each novel mutation provides additional information about the structural or functional biology of the affected gene, each newly identified gene provides
Guijuan Liu et al.
Molecular medicine reports, 12(2), 2225-2230 (2015-04-16)
Cell proliferation is a major underlying cause of mortality amongst patients with oral squamous cell carcinoma (OSCC); however, the underlying mechanisms have remained to be elucidated. Acylglycerol kinase (AGK) is a multisubstrate lipid kinase, which is known to be associated



全球贸易项目编号

货号GTIN
HPA020959-100UL04061836314668
HPA020959-25UL04061842874927