跳转至内容
Merck
CN

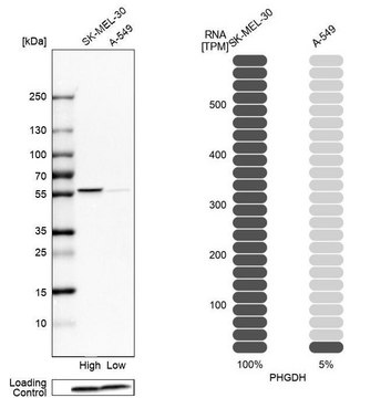
HPA021241

抗 PHGDH 兔抗

Prestige Antibodies® Powered by Atlas Antibodies, affinity isolated antibody, buffered aqueous glycerol solution, Ab1

别名:

抗 3-PGDH, 抗 D-3-磷酸甘油酸脱氢酶

登录 查看组织和合同定价。

选择尺寸

变更视图

关于此项目

UNSPSC Code:
12352203
NACRES:
NA.43
Human Protein Atlas Number:
Conjugate:
unconjugated
Clone:
polyclonal
Application:
IF, IHC
Citations:
30
技术服务
需要帮助?我们经验丰富的科学家团队随时乐意为您服务。
让我们为您提供帮助


biological source

rabbit

Quality Level

conjugate

unconjugated

antibody form

affinity isolated antibody

antibody product type

primary antibodies

clone

polyclonal

product line

Prestige Antibodies® Powered by Atlas Antibodies

form

buffered aqueous glycerol solution

species reactivity

mouse, rat, human

enhanced validation

orthogonal RNAseq
independent
Learn more about Antibody Enhanced Validation

technique(s)

immunoblotting: 0.04-0.4 μg/mL, immunofluorescence: 0.25-2 μg/mL, immunohistochemistry: 1:500-1:1000

immunogen sequence

LEEIWPLCDFITVHTPLLPSTTGLLNDNTFAQCKKGVRVVNCARGGIVDEGALLRALQSGQCAGAALDVFTEEPPRDRALVDHENVISCPHLGASTKEAQSRCGEEIAVQFVDM

UniProt accession no.

application(s)

research pathology

shipped in

wet ice

storage temp.

−20°C

target post-translational modification

unmodified

Gene Information

human ... PHGDH(26227)

General description

基因 PHGDH(D-3-磷酸甘油酸脱氢酶)定位于人类染色体 1p。

Immunogen

D-3-磷酸甘油酸脱氢酶重组蛋白表位标签 (PrEST)

Application

兔抗PHGDH抗体属Prestige抗体,经人类蛋白质图谱(HPA)计划开发和验证。每种抗体都通过针对数百种正常和疾病组织的免疫组织化学进行测试。通过单击图像库链接,可以在人类蛋白质图谱(HPA)站点上查看这些图像。还采用免疫荧光和蛋白质印迹法对抗体进行检测。想要查看有关Prestige 抗体和HPA的方案和其他实用信息,请访问 sigma.com/prestige

Biochem/physiol Actions

PHGDH(D-3-磷酸甘油醛脱氢酶)主要可以催化丝氨酸合成途径的初始步骤,将3-磷酸甘油酸转化为3-磷酸羟基丙酮酸。它在雌激素受体阴性乳腺癌、黑素瘤和宫颈癌中上调。PHGDH突变与Neu-Laxova 综合征有关。PHGDH水平下调导致先天性小头畸形、精神运动迟缓和癫痫发作。

Features and Benefits

Prestige抗体®是经过高度表征和广泛验证的抗体,同时还有一个优点是其每个靶标的所有可用表征数据都可以通过位于此页面顶部产品名称下方的人类蛋白质图谱门户进行访问。Prestige抗体对其他蛋白质的独特性和低交叉反应性®是通过严密的抗原区域选择、亲和纯化和严格的选择来实现的。针对每一个Prestige Antibody都存在有对应的Prestige抗原对照,并可在链接区域内找到。

每个Prestige Antibody都是按照以下方法进行测试的:
  • 44例正常人类组织以及20例最常见癌症类型组织的IHC组织阵列。
  • 364个人类重组蛋白片段的蛋白阵列。

Physical form

磷酸盐缓冲盐溶液,pH 7.2,含 40% 甘油和 0.02% 叠氮化钠

Other Notes

相应抗原APREST73826

Legal Information

Prestige Antibodies is a registered trademark of Merck KGaA, Darmstadt, Germany

Disclaimer

除非我们的产品目录或产品附带的其他公司文档另有说明,否则我们的产品仅供研究使用,不得用于任何其他目的,包括但不限于未经授权的商业用途、体外诊断用途、离体或体内治疗用途或任何类型的消费或应用于人类或动物。


Still not finding the right product?

Explore all of our products under 抗 PHGDH 兔抗

或者

试用我们的 产品选型工具 工具缩小选择范围


存储类别

10 - Combustible liquids

wgk

WGK 1

flash_point_f

Not applicable

flash_point_c

Not applicable

法规信息

常规特殊物品

此项目有



历史批次信息供参考:

分析证书(COA)

Lot/Batch Number

没有发现合适的版本?

如果您需要特殊版本,可通过批号或批次号查找具体证书。

已有该产品?

在文件库中查找您最近购买产品的文档。

访问文档库



Katherine R Mattaini et al.
BMC cancer, 19(1), 723-723 (2019-07-25)
Copy number gain of the D-3-phosphoglycerate dehydrogenase (PHGDH) gene, which encodes the first enzyme in serine biosynthesis, is found in some human cancers including a subset of melanomas. In order to study the effect of increased PHGDH expression in tissues
D M Brown et al.
Scientific reports, 6, 28693-28693 (2016-06-29)
We aimed to identify novel molecular mechanisms for muscle growth during administration of anabolic agents. Growing pigs (Duroc/(Landrace/Large-White)) were administered Ractopamine (a beta-adrenergic agonist; BA; 20 ppm in feed) or Reporcin (recombinant growth hormone; GH; 10 mg/48 hours injected) and compared to a
Judith E Unterlass et al.
Oncotarget, 9(17), 13139-13153 (2016-08-22)
3-Phosphoglycerate dehydrogenase (PHGDH) has recently been identified as an attractive target in cancer therapy as it links upregulated glycolytic flux to increased biomass production in cancer cells. PHGDH catalyses the first step in the serine synthesis pathway and thus diverts



全球贸易项目编号

货号GTIN
HPA021241-25UL04061842877768
HPA021241-100UL04061837139468