跳转至内容
Merck
CN

HPA021506

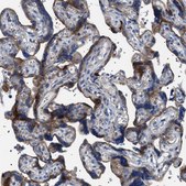
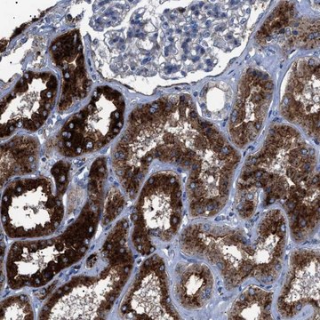
Anti-NEU1 antibody produced in rabbit

Prestige Antibodies® Powered by Atlas Antibodies, affinity isolated antibody, buffered aqueous glycerol solution

别名:

Anti-Acetylneuraminyl hydrolase, Anti-G9 sialidase, Anti-Lysosomal sialidase, Anti-N-acetyl-alpha-neuraminidase 1, Anti-Sialidase-1

登录 查看组织和合同定价。

选择尺寸

变更视图

关于此项目

UNSPSC Code:
12352203
NACRES:
NA.41
Human Protein Atlas Number:
Conjugate:
unconjugated
Clone:
polyclonal
Application:
IF, IHC
Citations:
7
技术服务
需要帮助?我们经验丰富的科学家团队随时乐意为您服务。
让我们为您提供帮助


biological source

rabbit

Quality Level

conjugate

unconjugated

antibody form

affinity isolated antibody

antibody product type

primary antibodies

clone

polyclonal

product line

Prestige Antibodies® Powered by Atlas Antibodies

form

buffered aqueous glycerol solution

species reactivity

human

technique(s)

immunofluorescence: 0.25-2 μg/mL, immunohistochemistry: 1:50-1:200

immunogen sequence

RDGVFCLLSDDHGASWRYGSGVSGIPYGQPKQENDFNPDECQPYELPDGSVVINARNQNNYHCHCRIVLRSYDACDTLRPRDVTFDPELVDPVVAAGAVVTSSGIVFFSNPAHPEFRVNLTLRWSFSNG

UniProt accession no.

application(s)

research pathology

shipped in

wet ice

storage temp.

−20°C

target post-translational modification

unmodified

Gene Information

human ... NEU1(4758)

General description

The human sialidase (neuraminidase1) NEU1 gene is mapped on chromosome 6p21.3 codes for ~45kDa protein NEU1, with potential three N-linked glycosylation sites. This gene consists of five introns and six exons. The encoded protein is localized to plasma membrane and lysosomal membrane.

Immunogen

Sialidase-1 Precursor recombinant protein epitope signature tag (PrEST)

Application

All Prestige Antibodies Powered by Atlas Antibodies are developed and validated by the Human Protein Atlas (HPA) project and as a result, are supported by the most extensive characterization in the industry.

The Human Protein Atlas project can be subdivided into three efforts: Human Tissue Atlas, Cancer Atlas, and Human Cell Atlas. The antibodies that have been generated in support of the Tissue and Cancer Atlas projects have been tested by immunohistochemistry against hundreds of normal and disease tissues and through the recent efforts of the Human Cell Atlas project, many have been characterized by immunofluorescence to map the human proteome not only at the tissue level but now at the subcellular level. These images and the collection of this vast data set can be viewed on the Human Protein Atlas (HPA) site by clicking on the Image Gallery link. We also provide Prestige Antibodies® protocols and other useful information.

Biochem/physiol Actions

Neu1(neuraminidase 1) protein on the cell surface promotes the deposition of insoluble elastin by removing the sialyl groups from surrounding microfibrillar glycoproteins, thus playing a part in the maintenance of cellular quiescence. Cell surface NEU-1 and cathepsin-A complex might help in antigen presentation or might affect intercellular interactions. Neu1 gene mutation leads to a lysosomal storage disorder called sialidosis. Neu1 and MMP-9 (matrix metalloproteinase-9) on the cell surface facilitate signaling and neurotrophin mediated Trk (tyrosine kinase) receptor activation .

Features and Benefits

Prestige Antibodies® are highly characterized and extensively validated antibodies with the added benefit of all available characterization data for each target being accessible via the Human Protein Atlas portal linked just below the product name at the top of this page. The uniqueness and low cross-reactivity of the Prestige Antibodies® to other proteins are due to a thorough selection of antigen regions, affinity purification, and stringent selection. Prestige antigen controls are available for every corresponding Prestige Antibody and can be found in the linkage section.

Every Prestige Antibody is tested in the following ways:
  • IHC tissue array of 44 normal human tissues and 20 of the most common cancer type tissues.
  • Protein array of 364 human recombinant protein fragments.

Physical form

Solution in phosphate-buffered saline, pH 7.2, containing 40% glycerol and 0.02% sodium azide

Other Notes

Corresponding Antigen APREST72340

Legal Information

Prestige Antibodies is a registered trademark of Merck KGaA, Darmstadt, Germany

Disclaimer

Unless otherwise stated in our catalog or other company documentation accompanying the product(s), our products are intended for research use only and are not to be used for any other purpose, which includes but is not limited to, unauthorized commercial uses, in vitro diagnostic uses, ex vivo or in vivo therapeutic uses or any type of consumption or application to humans or animals.


Still not finding the right product?

Explore all of our products under

或者

试用我们的 产品选型工具 工具缩小选择范围


存储类别

10 - Combustible liquids

wgk

WGK 1

flash_point_f

Not applicable

flash_point_c

Not applicable

法规信息

常规特殊物品
常规特殊物品
低风险生物材料

此项目有



历史批次信息供参考:

分析证书(COA)

Lot/Batch Number

没有发现合适的版本?

如果您需要特殊版本,可通过批号或批次号查找具体证书。

已有该产品?

在文件库中查找您最近购买产品的文档。

访问文档库


商品

Understand sialic acid structure, function, signaling, and modifications. Easily find products for sialic acid research.


Feng Liang et al.
The Journal of biological chemistry, 281(37), 27526-27538 (2006-07-13)
Human sialidase (neuraminidase) Neu1 catalyzes lysosomal catabolism of sialylated glycoconjugates. Here we show that during the differentiation of monocytes and the monocytic cell line, THP-1, into macrophages, the majority of Neu1 relocalizes from the lysosomes to the cell surface. In
Volkan Seyrantepe et al.
Human mutation, 22(5), 343-352 (2003-10-01)
Lysosomal sialidase (EC 3.2.1.18) has a dual physiological function; it participates in intralysosomal catabolism of sialylated glycoconjugates and is involved in cellular immune response. Mutations in the sialidase gene NEU1, located on chromosome 6p21.3, result in autosomal recessive disorder, sialidosis
Preethi Jayanth et al.
Cellular signalling, 22(8), 1193-1205 (2010-03-30)
Neurotrophin-induced Trk tyrosine kinase receptor activation and neuronal cell survival responses have been reported to be under the control of a membrane associated sialidase. Here, we identify an unprecedented membrane sialidase mechanism initiated by nerve growth factor (NGF) binding to



全球贸易项目编号

货号GTIN
HPA021506-100UL04061836315573
HPA021506-25UL04061841668299