跳转至内容
Merck
CN

HPA021573

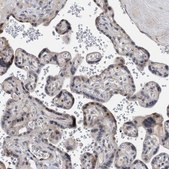
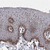
Anti-ZNF750 antibody produced in rabbit

Prestige Antibodies® Powered by Atlas Antibodies, affinity isolated antibody, buffered aqueous glycerol solution, Ab1

别名:

Anti-Protein ZNF750

登录 查看组织和合同定价。

选择尺寸

变更视图

关于此项目

UNSPSC Code:
12352203
NACRES:
NA.41
Human Protein Atlas Number:
Conjugate:
unconjugated
Clone:
polyclonal
Application:
IHC
Citations:
8
技术服务
需要帮助?我们经验丰富的科学家团队随时乐意为您服务。
让我们为您提供帮助


biological source

rabbit

Quality Level

conjugate

unconjugated

antibody form

affinity isolated antibody

antibody product type

primary antibodies

clone

polyclonal

product line

Prestige Antibodies® Powered by Atlas Antibodies

form

buffered aqueous glycerol solution

species reactivity

human

enhanced validation

orthogonal RNAseq
Learn more about Antibody Enhanced Validation

technique(s)

immunohistochemistry: 1:200-1:500

immunogen sequence

ACAVDSSEEQKQTAAVALCQLAAYSPRNIRVGDGDAAAPEPACRQDTPTLSSMESQEAQCDLRPKGQKRTSLRDAGKSQQGAKKAKLQDTARVFTLRRRAR

UniProt accession no.

shipped in

wet ice

storage temp.

−20°C

target post-translational modification

unmodified

Gene Information

human ... ZNF750(79755)

General description

Zinc-finger protein 750 (ZNF750) gene is mapped to human chromosome 17q25 within the PSORS2 (psoriasis susceptibility locus 2) locus. ZNF750 consists of a nuclear localization signal site and C2H2 zinc finger domain. This protein is highly expressed in human keratinocytes.

Immunogen

Protein ZNF750 recombinant protein epitope signature tag (PrEST)

Application

Applications in which this antibody has been used successfully, and the associated peer-reviewed papers, are given below.
Immunohistochemistry (1 paper)

Biochem/physiol Actions

Zinc-finger protein 750 (ZNF750) mutations increase the susceptibility to seborrheic dermatitis and psoriasis like phenotype. ZNF750 is a nuclear protein that plays an important role in terminal differentiation of epidermis, which is necessary for developing normal skin barrier function and homeostasis .

Features and Benefits

Prestige Antibodies® are highly characterized and extensively validated antibodies with the added benefit of all available characterization data for each target being accessible via the Human Protein Atlas portal linked just below the product name at the top of this page. The uniqueness and low cross-reactivity of the Prestige Antibodies® to other proteins are due to a thorough selection of antigen regions, affinity purification, and stringent selection. Prestige antigen controls are available for every corresponding Prestige Antibody and can be found in the linkage section.

Every Prestige Antibody is tested in the following ways:
  • IHC tissue array of 44 normal human tissues and 20 of the most common cancer type tissues.
  • Protein array of 364 human recombinant protein fragments.

Physical form

Solution in phosphate-buffered saline, pH 7.2, containing 40% glycerol and 0.02% sodium azide

Other Notes

Corresponding Antigen APREST75683

Legal Information

Prestige Antibodies is a registered trademark of Merck KGaA, Darmstadt, Germany

Disclaimer

Unless otherwise stated in our catalog or other company documentation accompanying the product(s), our products are intended for research use only and are not to be used for any other purpose, which includes but is not limited to, unauthorized commercial uses, in vitro diagnostic uses, ex vivo or in vivo therapeutic uses or any type of consumption or application to humans or animals.


Still not finding the right product?

Explore all of our products under

或者

试用我们的 产品选型工具 工具缩小选择范围


存储类别

10 - Combustible liquids

wgk

WGK 1

flash_point_f

Not applicable

flash_point_c

Not applicable

法规信息

常规特殊物品
低风险生物材料

此项目有



历史批次信息供参考:

分析证书(COA)

Lot/Batch Number

没有发现合适的版本?

如果您需要特殊版本,可通过批号或批次号查找具体证书。

已有该产品?

在文件库中查找您最近购买产品的文档。

访问文档库



Jeffrey P North et al.
Journal of cutaneous pathology, 46(10), 736-741 (2019-05-31)
Sebaceous carcinoma (SeC) is an uncommon malignancy arising from sebaceous glands of the conjunctiva and skin. Recurrent mutations in the ZNF750 were recently identified in ocular SeC. We assessed whether ZNF750 loss is a specific feature of ocular SeC or
Chi-Fan Yang et al.
The Journal of investigative dermatology, 128(7), 1662-1668 (2008-02-08)
We previously mapped a psoriasis-susceptibility gene to a 3.8-Mb region of the 17q terminus in a five-generation Chinese family with autosomal-dominant psoriasis. To identify the mutations responsible for the psoriasis in this family, we sequenced 78 genes within the region
Ramon Y Birnbaum et al.
BMC medical genetics, 12, 167-167 (2011-12-22)
Mutations in the ZNF750 promoter and coding regions have been previously associated with Mendelian forms of psoriasis and psoriasiform dermatitis. ZNF750 encodes a putative zinc finger transcription factor that is highly expressed in keratinocytes and represents a candidate psoriasis gene.



全球贸易项目编号

货号GTIN
HPA021573-100UL04061837139543
HPA021573-25UL04061841668329