biological source
rabbit
Quality Level
conjugate
unconjugated
antibody form
affinity isolated antibody
antibody product type
primary antibodies
clone
polyclonal
product line
Prestige Antibodies® Powered by Atlas Antibodies
form
buffered aqueous glycerol solution
species reactivity
human, mouse
enhanced validation
orthogonal RNAseq
Learn more about Antibody Enhanced Validation
technique(s)
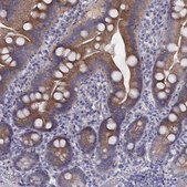
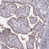
immunoblotting: 0.04-0.4 μg/mL, immunofluorescence: 0.25-2 μg/mL, immunohistochemistry: 1:1000-1:2500
immunogen sequence
FNRRAYCGQCSERIWGLARQGYRCINCKLLVHKRCHGLVPLTCRKHMDSVMPSQEPPVDDKNEDADLPSEETDGIAYISSSRKHDSIKDDSEDLKPVIDGMDGIKISQGLGLQDFDLIRVIGRGSYAKVLLVRLKKNDQI
UniProt accession no.
shipped in
wet ice
storage temp.
−20°C
target post-translational modification
unmodified
Gene Information
human ... PRKCZ(5590)
General description
PRKCZ (Protein kinase C ζ) is located on chromosome 1p36.33-p36 belonging to the PKC family of serine/threonine kinases and the aPKC subfamily.
Immunogen
Protein kinase C zeta type recombinant protein epitope signature tag (PrEST)
Application
All Prestige Antibodies Powered by Atlas Antibodies are developed and validated by the Human Protein Atlas (HPA) project and as a result, are supported by the most extensive characterization in the industry.
The Human Protein Atlas project can be subdivided into three efforts: Human Tissue Atlas, Cancer Atlas, and Human Cell Atlas. The antibodies that have been generated in support of the Tissue and Cancer Atlas projects have been tested by immunohistochemistry against hundreds of normal and disease tissues and through the recent efforts of the Human Cell Atlas project, many have been characterized by immunofluorescence to map the human proteome not only at the tissue level but now at the subcellular level. These images and the collection of this vast data set can be viewed on the Human Protein Atlas (HPA) site by clicking on the Image Gallery link. We also provide Prestige Antibodies® protocols and other useful information.
The Human Protein Atlas project can be subdivided into three efforts: Human Tissue Atlas, Cancer Atlas, and Human Cell Atlas. The antibodies that have been generated in support of the Tissue and Cancer Atlas projects have been tested by immunohistochemistry against hundreds of normal and disease tissues and through the recent efforts of the Human Cell Atlas project, many have been characterized by immunofluorescence to map the human proteome not only at the tissue level but now at the subcellular level. These images and the collection of this vast data set can be viewed on the Human Protein Atlas (HPA) site by clicking on the Image Gallery link. We also provide Prestige Antibodies® protocols and other useful information.
Biochem/physiol Actions
PRKCZ (Protein kinase C ζ) is involved in a variety of cellular processes including cell proliferation, cell motility, and cell survival. It acts as a regulatory molecule in the insulin signaling pathways. It has been suggested that PRKCZ performs downstream of phosphatidylinositol 3-kinase (PI 3-kinase) in the insulin signal pathway for the translocation of GLUT4-encoded protein. It has also been reported that PRKCZ may act as a negative regulator by phosphorylating insulin receptor substrate-1 (IRS-1), which restricts its ability to activate phosphatidylinositol 3-kinase in response to insulin. It has been documented that PRKCZ might be involved in the pathogenesis of type 2 diabetes mellitus (T2DM). PRKCZ also has been reported to be part of various signaling pathways such as ERK/MAPK activation pathway, p70 ribosomal S6 kinase signaling cascade, activation of transcription factor NF-κB. It also plays a role in the regulation of cell polarity. The study predicts that PRKCZ may have a role in ovarian cancer progression.
Features and Benefits
Prestige Antibodies® are highly characterized and extensively validated antibodies with the added benefit of all available characterization data for each target being accessible via the Human Protein Atlas portal linked just below the product name at the top of this page. The uniqueness and low cross-reactivity of the Prestige Antibodies® to other proteins are due to a thorough selection of antigen regions, affinity purification, and stringent selection. Prestige antigen controls are available for every corresponding Prestige Antibody and can be found in the linkage section.
Every Prestige Antibody is tested in the following ways:
Every Prestige Antibody is tested in the following ways:
- IHC tissue array of 44 normal human tissues and 20 of the most common cancer type tissues.
- Protein array of 364 human recombinant protein fragments.
Physical form
Solution in phosphate-buffered saline, pH 7.2, containing 40% glycerol and 0.02% sodium azide
Other Notes
Corresponding Antigen APREST70324
Legal Information
Prestige Antibodies is a registered trademark of Merck KGaA, Darmstadt, Germany
Disclaimer
Unless otherwise stated in our catalog or other company documentation accompanying the product(s), our products are intended for research use only and are not to be used for any other purpose, which includes but is not limited to, unauthorized commercial uses, in vitro diagnostic uses, ex vivo or in vivo therapeutic uses or any type of consumption or application to humans or animals.
Still not finding the right product?
试用我们的 产品选型工具 工具缩小选择范围
存储类别
10 - Combustible liquids
wgk
WGK 1
flash_point_f
Not applicable
flash_point_c
Not applicable
法规信息
低风险生物材料
常规特殊物品
常规特殊物品
此项目有
Li Zou et al.
Journal of diabetes research, 2013, 721493-721493 (2013-05-15)
Objectives. To study the correlation between the methylation of protein kinase C epsilon zeta (PRKCZ) gene promoters and type 2 diabetes mellitus (T2DM). Methods. The case-control method was implemented in 272 unrelated to one another cases in Shiyan People's Hospital.
Yun-Feng Li et al.
World journal of gastroenterology, 9(9), 2078-2082 (2003-09-13)
To identify the susceptible gene (s) for type 2 diabetes in the previously mapped region, 1p36.33-p36.23, in Han population of North China using single nucleotide polymorphisms (SNPs) and to analyze the haplotypes of the gene (s) related to type 2
全球贸易项目编号
| 货号 | GTIN |
|---|---|
| HPA021851-100UL | 04061836316006 |
| HPA021851-25UL | 04061842879441 |