biological source
rabbit
Quality Level
conjugate
unconjugated
antibody form
affinity isolated antibody
antibody product type
primary antibodies
clone
polyclonal
product line
Prestige Antibodies® Powered by Atlas Antibodies
form
buffered aqueous glycerol solution
species reactivity
human
enhanced validation
independent
orthogonal RNAseq
Learn more about Antibody Enhanced Validation
technique(s)
immunoblotting: 0.04-0.4 μg/mL, immunofluorescence: 0.25-2 μg/mL, immunohistochemistry: 1:5000-1:10000
immunogen sequence
QSSLITASQFFEIWLHFDADGSGYLEGKELQNLIQELQQARKKAGLELSPEMKTFVDQYGQRDDGKIGIVELAHVLPTEENFLLLFRCQQ
UniProt accession no.
shipped in
wet ice
storage temp.
−20°C
target post-translational modification
unmodified
Gene Information
human ... CALB1(793)
General description
CALB1 (calbindin 1) is a member of the EF-hand family of calcium-binding proteins. It is mainly present in the cerebellum. The gene is mapped to human chromosome 8q21.
Immunogen
Calbindin recombinant protein epitope signature tag (PrEST)
Application
All Prestige Antibodies Powered by Atlas Antibodies are developed and validated by the Human Protein Atlas (HPA) project and as a result, are supported by the most extensive characterization in the industry.
The Human Protein Atlas project can be subdivided into three efforts: Human Tissue Atlas, Cancer Atlas, and Human Cell Atlas. The antibodies that have been generated in support of the Tissue and Cancer Atlas projects have been tested by immunohistochemistry against hundreds of normal and disease tissues and through the recent efforts of the Human Cell Atlas project, many have been characterized by immunofluorescence to map the human proteome not only at the tissue level but now at the subcellular level. These images and the collection of this vast data set can be viewed on the Human Protein Atlas (HPA) site by clicking on the Image Gallery link. We also provide Prestige Antibodies® protocols and other useful information.
The Human Protein Atlas project can be subdivided into three efforts: Human Tissue Atlas, Cancer Atlas, and Human Cell Atlas. The antibodies that have been generated in support of the Tissue and Cancer Atlas projects have been tested by immunohistochemistry against hundreds of normal and disease tissues and through the recent efforts of the Human Cell Atlas project, many have been characterized by immunofluorescence to map the human proteome not only at the tissue level but now at the subcellular level. These images and the collection of this vast data set can be viewed on the Human Protein Atlas (HPA) site by clicking on the Image Gallery link. We also provide Prestige Antibodies® protocols and other useful information.
Biochem/physiol Actions
CALB1 (calbindin 1) participates in the Ca2+-dependant activities occuring in CALB1-expressing neurons. It is associated with the activation and maintenance of long term depression (LTD). It provides neuroprotection in the presence of oxidative stress. In mice model, absence of CALB1 causes severe neurological and behavioral disorders. Low expression of CALB1 is also linked with the cognitive abnormalities observed with MELAS (mitochondrial encephalomyopathy, lactic acidosis, and stroke-like episodes).
Features and Benefits
Prestige Antibodies® are highly characterized and extensively validated antibodies with the added benefit of all available characterization data for each target being accessible via the Human Protein Atlas portal linked just below the product name at the top of this page. The uniqueness and low cross-reactivity of the Prestige Antibodies® to other proteins are due to a thorough selection of antigen regions, affinity purification, and stringent selection. Prestige antigen controls are available for every corresponding Prestige Antibody and can be found in the linkage section.
Every Prestige Antibody is tested in the following ways:
Every Prestige Antibody is tested in the following ways:
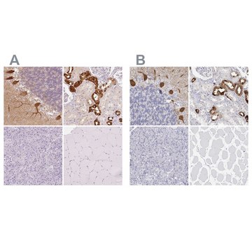
- IHC tissue array of 44 normal human tissues and 20 of the most common cancer type tissues.
- Protein array of 364 human recombinant protein fragments.
Physical form
Solution in phosphate-buffered saline, pH 7.2, containing 40% glycerol and 0.02% sodium azide
Other Notes
Corresponding Antigen APREST76216
Legal Information
Prestige Antibodies is a registered trademark of Merck KGaA, Darmstadt, Germany
Disclaimer
Unless otherwise stated in our catalog or other company documentation accompanying the product(s), our products are intended for research use only and are not to be used for any other purpose, which includes but is not limited to, unauthorized commercial uses, in vitro diagnostic uses, ex vivo or in vivo therapeutic uses or any type of consumption or application to humans or animals.
存储类别
10 - Combustible liquids
wgk
WGK 1
flash_point_f
Not applicable
flash_point_c
Not applicable
法规信息
常规特殊物品
低风险生物材料
此项目有
Paolo Flace et al.
Anatomical record (Hoboken, N.J. : 2007), 297(7), 1306-1315 (2014-04-11)
Calbindin-D28k (CB) is a calcium-binding protein largely distributed in the cerebellum of various species of vertebrates. As regards the human cerebellar cortex, precise data on the distribution of CB have not yet been reported. Aim of the present work was
K Morishima et al.
Journal of human genetics, 44(6), 414-415 (1999-11-26)
A polymorphic dinucleotide (CA) sequence was isolated from a BAC clone containing the human 27-kD calbindin (CALB1) gene at 8q21. This polymorphism will be a useful genetic marker to study genetic variations of the CALB1 gene.
Giorgi Kuchukhidze et al.
Epilepsia, 56(8), 1207-1216 (2015-06-18)
Alterations in γ-aminobutyric acid (GABA)-ergic cortical neurons have been reported in focal cortical dysplasia (FCD)Ia/IIIa, a malformation of cortical development associated with drug-resistant epilepsy. We compared numbers of neurons containing calcium-binding proteins parvalbumin (PV), calbindin (CB), and calretinin (CR) and
全球贸易项目编号
| 货号 | GTIN |
|---|---|
| HPA023099-25UL | 04061842883257 |
| HPA023099-100UL | 04061836316952 |