跳转至内容
Merck
CN

HPA023202

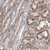
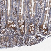
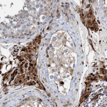
Anti-POLG2 antibody produced in rabbit

Prestige Antibodies® Powered by Atlas Antibodies, affinity isolated antibody, buffered aqueous glycerol solution

别名:

Anti-DNA polymerase gamma accessory 55 kDa subunit, Anti-DNA polymerase subunit gamma-2, mitochondrial, Anti-Mitochondrial DNA polymerase accessory subunit, Anti-MtPolB, Anti-PolG-beta, Anti-p55

登录 查看组织和合同定价。

选择尺寸

变更视图

关于此项目

UNSPSC Code:
12352203
NACRES:
NA.41
Human Protein Atlas Number:
Conjugate:
unconjugated
Clone:
polyclonal
Application:
IHC
Citations:
5
技术服务
需要帮助?我们经验丰富的科学家团队随时乐意为您服务。
让我们为您提供帮助


biological source

rabbit

Quality Level

conjugate

unconjugated

antibody form

affinity isolated antibody

antibody product type

primary antibodies

clone

polyclonal

product line

Prestige Antibodies® Powered by Atlas Antibodies

form

buffered aqueous glycerol solution

species reactivity

human

technique(s)

immunohistochemistry: 1:20- 1:50

immunogen sequence

LDRGMLAYLYDSFQLTENSFTRKKNLHRKVLKLHPCLAPIKVALDVGRGPTLELRQVCQGLFNELLENGISVWPGYLETMQSSLEQLYSKYDEMSILFTVLVTETTLENGLIHLRSRDTTMKE

UniProt accession no.

shipped in

wet ice

storage temp.

−20°C

target post-translational modification

unmodified

Gene Information

human ... POLG2(11232)

General description

The gene POLG2 (polymerase (DNA) γ 2, accessory subunit) is mapped to human chromosome 17q.

Immunogen

DNA polymerase subunit gamma-2, mitochondrial Precursor recombinant protein epitope signature tag (PrEST)

Application

All Prestige Antibodies Powered by Atlas Antibodies are developed and validated by the Human Protein Atlas (HPA) project and as a result, are supported by the most extensive characterization in the industry.

The Human Protein Atlas project can be subdivided into three efforts: Human Tissue Atlas, Cancer Atlas, and Human Cell Atlas. The antibodies that have been generated in support of the Tissue and Cancer Atlas projects have been tested by immunohistochemistry against hundreds of normal and disease tissues and through the recent efforts of the Human Cell Atlas project, many have been characterized by immunofluorescence to map the human proteome not only at the tissue level but now at the subcellular level. These images and the collection of this vast data set can be viewed on the Human Protein Atlas (HPA) site by clicking on the Image Gallery link. We also provide Prestige Antibodies® protocols and other useful information.

Biochem/physiol Actions

POLG2 (polymerase (DNA) γ 2, accessory subunit) is an accessory subunit of mitochondrial DNA polymerase γ. It helps in increasing the pol γ affinity to DNA. POLG2 is also needed for the assembly of mitochondrial DNA in multigenomic complexes. Mutations in POLG2 are linked with high risk of oral cancer and leukoplakia. Mutations in POLG2 are also associated with autosomal dominant progressive external ophthalmoplegia (adPEO) and multiple mitochondrial DNA deletions.

Features and Benefits

Prestige Antibodies® are highly characterized and extensively validated antibodies with the added benefit of all available characterization data for each target being accessible via the Human Protein Atlas portal linked just below the product name at the top of this page. The uniqueness and low cross-reactivity of the Prestige Antibodies® to other proteins are due to a thorough selection of antigen regions, affinity purification, and stringent selection. Prestige antigen controls are available for every corresponding Prestige Antibody and can be found in the linkage section.

Every Prestige Antibody is tested in the following ways:
  • IHC tissue array of 44 normal human tissues and 20 of the most common cancer type tissues.
  • Protein array of 364 human recombinant protein fragments.

Physical form

Solution in phosphate-buffered saline, pH 7.2, containing 40% glycerol and 0.02% sodium azide

Other Notes

Corresponding Antigen APREST86633

Legal Information

Prestige Antibodies is a registered trademark of Merck KGaA, Darmstadt, Germany


Still not finding the right product?

Explore all of our products under

或者

试用我们的 产品选型工具 工具缩小选择范围


存储类别

10 - Combustible liquids

wgk

WGK 1

flash_point_f

Not applicable

flash_point_c

Not applicable

法规信息

新产品

此项目有



历史批次信息供参考:

分析证书(COA)

Lot/Batch Number

没有发现合适的版本?

如果您需要特殊版本,可通过批号或批次号查找具体证书。

已有该产品?

在文件库中查找您最近购买产品的文档。

访问文档库



Sayantan Datta et al.
Gene, 575(2 Pt 3), 650-654 (2015-09-26)
Enzymes responsible for mitochondrial (mt) DNA synthesis and transcription are encoded by nuclear genome and inherited mutations in these genes may play important roles in enhancing risk of precancer and cancer. Here, genetic variations in 23 functionally relevant tagSNPs in
Kate Craig et al.
Mitochondrion, 12(2), 313-319 (2011-12-14)
Human mitochondrial DNA (mtDNA) polymerase γ (pol γ) is the sole enzyme required to replicate and maintain the integrity of the mitochondrial genome. It comprises two subunits, a catalytic p140 subunit and a smaller p55 accessory subunit encoded by the
M Di Re et al.
Nucleic acids research, 37(17), 5701-5713 (2009-07-25)
The accessory subunit of mitochondrial DNA polymerase gamma, POLGbeta, functions as a processivity factor in vitro. Here we show POLGbeta has additional roles in mitochondrial DNA metabolism. Mitochondrial DNA is arranged in nucleoprotein complexes, or nucleoids, which often contain multiple



全球贸易项目编号

货号GTIN
HPA023202-25UL04061841668640
HPA023202-100UL04061835686421