biological source
rabbit
Quality Level
conjugate
unconjugated
antibody form
affinity isolated antibody
antibody product type
primary antibodies
clone
polyclonal
product line
Prestige Antibodies® Powered by Atlas Antibodies
form
buffered aqueous glycerol solution
species reactivity
human, mouse
enhanced validation
orthogonal RNAseq
independent
Learn more about Antibody Enhanced Validation
technique(s)
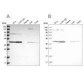
immunoblotting: 0.04-0.4 μg/mL, immunohistochemistry: 1:1000-1:2500
immunogen sequence
TLARVIVDKYRDGTKMVSADAYKITPGARGAFSEEYKRLDEDLAAYCRRRDIRILVLDDTNHERERLEQLFEMADQYQYQVVLVEPKTAWRLDCAQLKEKNQW
UniProt accession no.
shipped in
wet ice
storage temp.
−20°C
target post-translational modification
unmodified
Gene Information
human ... CNP(1267)
General description
CNP (2′,3′-cyclic nucleotide 3′ phosphodiesterase) is highly expressed in brain and is used as a marker for oligodendrocytes. It is a member of the 2H phosphoesterase superfamily. The gene is mapped to human chromosome 17q.
Immunogen
2′,3′-cyclic-nucleotide 3′-phosphodiesterase recombinant protein epitope signature tag (PrEST)
Application
All Prestige Antibodies Powered by Atlas Antibodies are developed and validated by the Human Protein Atlas (HPA) project and as a result, are supported by the most extensive characterization in the industry.
The Human Protein Atlas project can be subdivided into three efforts: Human Tissue Atlas, Cancer Atlas, and Human Cell Atlas. The antibodies that have been generated in support of the Tissue and Cancer Atlas projects have been tested by immunohistochemistry against hundreds of normal and disease tissues and through the recent efforts of the Human Cell Atlas project, many have been characterized by immunofluorescence to map the human proteome not only at the tissue level but now at the subcellular level. These images and the collection of this vast data set can be viewed on the Human Protein Atlas (HPA) site by clicking on the Image Gallery link. We also provide Prestige Antibodies® protocols and other useful information.
The Human Protein Atlas project can be subdivided into three efforts: Human Tissue Atlas, Cancer Atlas, and Human Cell Atlas. The antibodies that have been generated in support of the Tissue and Cancer Atlas projects have been tested by immunohistochemistry against hundreds of normal and disease tissues and through the recent efforts of the Human Cell Atlas project, many have been characterized by immunofluorescence to map the human proteome not only at the tissue level but now at the subcellular level. These images and the collection of this vast data set can be viewed on the Human Protein Atlas (HPA) site by clicking on the Image Gallery link. We also provide Prestige Antibodies® protocols and other useful information.
Biochem/physiol Actions
CNP (2′,3′-cyclic nucleotide 3′ phosphodiesterase) is responsible for the conversion of 2′,3′-cAMP (cyclic adenosine monophosphate) to 2′-AMP. It also plays a crucial role in the renal 2′,3′-cAMP-adenosine pathway. CNP is needed for the outgrowth in oligodendrocytes and association with microtubules, cytoskeleton and RNA. Upon aging, low expression of CNP is associated with a catatonia-depression syndrome in humans. It also participates in the interferon-mediated suppression of HIV (human immunodeficiency virus) and HBV (hepatitis B virus) production.
Features and Benefits
Prestige Antibodies® are highly characterized and extensively validated antibodies with the added benefit of all available characterization data for each target being accessible via the Human Protein Atlas portal linked just below the product name at the top of this page. The uniqueness and low cross-reactivity of the Prestige Antibodies® to other proteins are due to a thorough selection of antigen regions, affinity purification, and stringent selection. Prestige antigen controls are available for every corresponding Prestige Antibody and can be found in the linkage section.
Every Prestige Antibody is tested in the following ways:
Every Prestige Antibody is tested in the following ways:
- IHC tissue array of 44 normal human tissues and 20 of the most common cancer type tissues.
- Protein array of 364 human recombinant protein fragments.
Physical form
Solution in phosphate-buffered saline, pH 7.2, containing 40% glycerol and 0.02% sodium azide
Other Notes
Corresponding Antigen APREST75814
Legal Information
Prestige Antibodies is a registered trademark of Merck KGaA, Darmstadt, Germany
存储类别
10 - Combustible liquids
wgk
WGK 1
flash_point_f
Not applicable
flash_point_c
Not applicable
法规信息
新产品
此项目有
T J Sprinkle et al.
Genomics, 16(2), 542-545 (1993-05-01)
The human 2',3'-cyclic nucleotide 3'-phosphohydrolase (CNP) gene is located on chromosome 17, as determined by PCR of somatic cell hybrid DNA panels and confirmed using a mouse-human hybrid containing only human chromosome 17. A polymorphic site (C, T) was previously
Hui Ma et al.
PloS one, 8(11), e80769-e80769 (2013-11-22)
2',3'-cyclic nucleotide 3'-phosphodiesterase (CNP) is a member of the interferon-stimulated genes, which includes isoforms CNP1 and CNP2. CNP1 is locally expressed in the myelin sheath but CNP2 is additionally expressed at low levels outside the nervous system. CNPs regulate multiple
Nora Hagemeyer et al.
EMBO molecular medicine, 4(6), 528-539 (2012-04-05)
Severe mental illnesses have been linked to white matter abnormalities, documented by postmortem studies. However, cause and effect have remained difficult to distinguish. CNP (2',3'-cyclic nucleotide 3'-phosphodiesterase) is among the oligodendrocyte/myelin-associated genes most robustly reduced on mRNA and protein level
全球贸易项目编号
| 货号 | GTIN |
|---|---|
| HPA023338-25UL | 04061841412243 |
| HPA023338-100UL | 04061835671311 |