跳转至内容
Merck
CN

HPA023882

Anti-FAT1 antibody produced in rabbit

Prestige Antibodies® Powered by Atlas Antibodies, affinity isolated antibody, buffered aqueous glycerol solution

别名:

Anti-Cadherin-related tumor suppressor homolog, Anti-Protein fat homolog, Anti-Protocadherin Fat 1

登录 查看组织和合同定价。

选择尺寸

变更视图

关于此项目

UNSPSC Code:
12352203
NACRES:
NA.43
Human Protein Atlas Number:
Conjugate:
unconjugated
Clone:
polyclonal
Application:
IHC
Citations:
13
技术服务
需要帮助?我们经验丰富的科学家团队随时乐意为您服务。
让我们为您提供帮助


biological source

rabbit

Quality Level

conjugate

unconjugated

antibody form

affinity isolated antibody

antibody product type

primary antibodies

clone

polyclonal

product line

Prestige Antibodies® Powered by Atlas Antibodies

form

buffered aqueous glycerol solution

species reactivity

human

technique(s)

immunohistochemistry: 1:50- 1:200

immunogen sequence

NFQRALRNILGVRRNDIQIVSLQSSEPHPHLDVLLFVEKPGSAQISTKQLLHKINSSVTDIEEIIGVRILNVFQKLCAGLDCPWKFCDEKVSVDESVMSTHSTARLSFVTPRHHRAAVCLCKEGRCP

UniProt accession no.

shipped in

wet ice

storage temp.

−20°C

target post-translational modification

unmodified

Gene Information

human ... FAT1(2195)

General description

FAT atypical cadherin 1 (FAT1) protein is encoded by a gene mapped to human chromosome 4q34-35. The protein has ubiquitous expression in mammalian tissues, especially higher in kidney glomerular epithelial cells. FAT1 is localized to the leading edge of lamellipodia, filopodia, and microspike tips of cells. The protein is found to be abnormally expressed in pediatric patients with acute leukemia.
The encoded protein is characterized with cytoplasmic domain that is involved in assembly of components necessary to promote ectopic actin polymerization.

Immunogen

Protocadherin Fat 1 Precursor recombinant protein epitope signature tag (PrEST)

Application

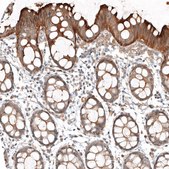
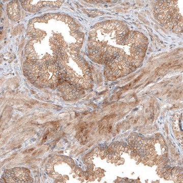
Anti-FAT1 antibody produced in rabbit has been used for western blotting. FAT1 antibody produced in rabbit has been used in immunofluorescence, tissue microarrays (TMAs) and immunohistochemistry (IHC).
All Prestige Antibodies®Powered by Atlas Antibodies is developed and validated by the Human Protein Atlas (HPA) project . Each antibody is tested by immunohistochemistry against hundreds of normal and disease tissues. These images can be viewed on the Human Protein Atlas (HPA) site by clicking on the Image Gallery link. We also provide Prestige Antibodies® protocols and other useful information.

Biochem/physiol Actions

FAT atypical cadherin 1 (FAT1) acts as a proximal element of cell migration signaling pathways.FAT1 interacts with Ena/Vasodilator-stimulated phosphoprotein (VASP) at the leading edges of lamellipodia, filopodia, and microspike tips and helps in normal actin dynamics and cell polarization. FAT1, with or without β-catenin, might function as a novel biomarker for breast cancer. Mutation of FAT1 gene leads to T-cell acute lymphoblastic leukemia (T-ALL) in adults. In humans, FAT1 might act both as an oncogene and a tumor suppressor. The protein modulates oncogenic pathways in glioma cell lines. FAT1 also act as a co-activator of hypoxia and growth receptor signaling to critical tumorigenic pathways in hepatocellular carcinoma (HCC).

Features and Benefits

Prestige Antibodies® are highly characterized and extensively validated antibodies with the added benefit of all available characterization data for each target being accessible via the Human Protein Atlas portal linked just below the product name at the top of this page. The uniqueness and low cross-reactivity of the Prestige Antibodies® to other proteins are due to a thorough selection of antigen regions, affinity purification, and stringent selection. Prestige antigen controls are available for every corresponding Prestige Antibody and can be found in the linkage section.

Every Prestige Antibody is tested in the following ways:
  • IHC tissue array of 44 normal human tissues and 20 of the most common cancer type tissues.
  • Protein array of 364 human recombinant protein fragments.

Physical form

Solution in phosphate-buffered saline, pH 7.2, containing 40% glycerol and 0.02% sodium azide

Other Notes

Corresponding Antigen APREST85143

Legal Information

Prestige Antibodies is a registered trademark of Merck KGaA, Darmstadt, Germany

Disclaimer

Unless otherwise stated in our catalog or other company documentation accompanying the product(s), our products are intended for research use only and are not to be used for any other purpose, which includes but is not limited to, unauthorized commercial uses, in vitro diagnostic uses, ex vivo or in vivo therapeutic uses or any type of consumption or application to humans or animals.


Still not finding the right product?

Explore all of our products under

或者

试用我们的 产品选型工具 工具缩小选择范围


存储类别

10 - Combustible liquids

wgk

WGK 1

flash_point_f

Not applicable

flash_point_c

Not applicable

法规信息

常规特殊物品
低风险生物材料

此项目有



历史批次信息供参考:

分析证书(COA)

Lot/Batch Number

没有发现合适的版本?

如果您需要特殊版本,可通过批号或批次号查找具体证书。

已有该产品?

在文件库中查找您最近购买产品的文档。

访问文档库



FAT1 expression and mutations in adult acute lymphoblastic leukemia.
Neumann M
Blood Cancer Journal, 4 (2014)
De-Chen Lin et al.
Nature genetics, 46(8), 866-871 (2014-06-24)
Nasopharyngeal carcinoma (NPC) has extremely skewed ethnic and geographic distributions, is poorly understood at the genetic level and is in need of effective therapeutic approaches. Here we determined the mutational landscape of 128 cases with NPC using whole-exome and targeted
Protocadherin FAT1 binds Ena/VASP proteins and is necessary for actin dynamics and cell polarization.
Moeller MJ
The Embo Journal, 23(19), 3769-3779 (2004)



全球贸易项目编号

货号GTIN
HPA023882-25UL04061841473435
HPA023882-100UL04061837126857