跳转至内容
Merck
CN

HPA025951

Anti-MRPL37 antibody produced in rabbit

Prestige Antibodies® Powered by Atlas Antibodies, affinity isolated antibody, buffered aqueous glycerol solution, Ab3

别名:

Anti-39S ribosomal protein L37, mitochondrial, Anti-L37mt, Anti-MRP-L37

登录 查看组织和合同定价。

选择尺寸

变更视图

关于此项目

UNSPSC Code:
12352203
NACRES:
NA.41
Human Protein Atlas Number:
Conjugate:
unconjugated
Clone:
polyclonal
Application:
IF, IHC
Citations:
5
技术服务
需要帮助?我们经验丰富的科学家团队随时乐意为您服务。
让我们为您提供帮助


biological source

rabbit

Quality Level

conjugate

unconjugated

antibody form

affinity isolated antibody

antibody product type

primary antibodies

clone

polyclonal

product line

Prestige Antibodies® Powered by Atlas Antibodies

form

buffered aqueous glycerol solution

species reactivity

human

enhanced validation

orthogonal RNAseq
Learn more about Antibody Enhanced Validation

technique(s)

immunofluorescence: 0.25-2 μg/mL, immunohistochemistry: 1:200-1:500

immunogen sequence

LTKTKLIEGLPEKVLSLVDDPRNHIENQDECVLNVISHARLWQTTEEIPKRETYCPVIVDNLIQLCKSQILKHP

UniProt accession no.

shipped in

wet ice

storage temp.

−20°C

target post-translational modification

unmodified

Gene Information

human ... MRPL37(51253)

General description

The gene MRPL37 (mitochondrial ribosomal protein L37) is mapped to human chromosome 1p32.3. The gene encodes a mitochondrial ribosomal protein of the large subunit. The MRPL37 protein associates with MTO1 (mitochondrial translation optimization factor 1), a regulator of mitochondrial translation.

Immunogen

39S ribosomal protein L37, mitochondrial Precursor recombinant protein epitope signature tag (PrEST)

Application

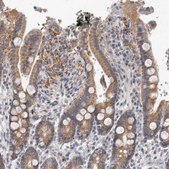
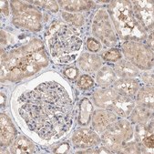
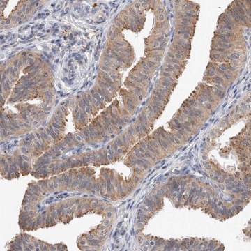
All Prestige Antibodies®Powered by Atlas Antibodies is developed and validated by the Human Protein Atlas (HPA) project . Each antibody is tested by immunohistochemistry against hundreds of normal and disease tissues. These images can be viewed on the Human Protein Atlas (HPA) site by clicking on the Image Gallery link. We also provide Prestige Antibodies® protocols and other useful information.
Anti-MRPL37 antibody produced in rabbit has been used for immunofluorescence.

Features and Benefits

Prestige Antibodies® are highly characterized and extensively validated antibodies with the added benefit of all available characterization data for each target being accessible via the Human Protein Atlas portal linked just below the product name at the top of this page. The uniqueness and low cross-reactivity of the Prestige Antibodies® to other proteins are due to a thorough selection of antigen regions, affinity purification, and stringent selection. Prestige antigen controls are available for every corresponding Prestige Antibody and can be found in the linkage section.

Every Prestige Antibody is tested in the following ways:
  • IHC tissue array of 44 normal human tissues and 20 of the most common cancer type tissues.
  • Protein array of 364 human recombinant protein fragments.

Physical form

Solution in phosphate-buffered saline, pH 7.2, containing 40% glycerol and 0.02% sodium azide

Other Notes

Corresponding Antigen APREST76584

Legal Information

Prestige Antibodies is a registered trademark of Merck KGaA, Darmstadt, Germany


Still not finding the right product?

Explore all of our products under

或者

试用我们的 产品选型工具 工具缩小选择范围


存储类别

10 - Combustible liquids

wgk

WGK 1

flash_point_f

Not applicable

flash_point_c

Not applicable

法规信息

新产品

此项目有



历史批次信息供参考:

分析证书(COA)

Lot/Batch Number

没有发现合适的版本?

如果您需要特殊版本,可通过批号或批次号查找具体证书。

已有该产品?

在文件库中查找您最近购买产品的文档。

访问文档库



RNA deep sequencing as a tool for selection of cell lines for systematic subcellular localization of all human proteins.
Danielsson F, et al.
Journal of Proteome Research, 12, 299-307 (2013)
Sex-specific regulation of mitochondrial DNA levels: genome-wide linkage analysis to identify quantitative trait loci.
Lopez S
PLoS ONE, 7, e42711-e42711 (2012)
Reconstructing the evolution of the mitochondrial ribosomal proteome.
Smits P
Nucleic Acids Research, 35, 4686-4703 (2007)



全球贸易项目编号

货号GTIN
HPA025951-100UL04061835673667
HPA025951-25UL04061842848638