跳转至内容
Merck
CN

HPA026761

抗-EPCAM 兔抗

Prestige Antibodies® Powered by Atlas Antibodies, affinity isolated antibody, buffered aqueous glycerol solution

别名:

抗-CD326抗原, 抗-EGP, 抗-KS 1/4抗原, 抗-KSA, 抗-上皮糖蛋白, 抗-上皮细胞表面抗原, 抗-主要胃肠道肿瘤相关蛋白GA733-2, 抗-肿瘤相关钙信号传感器1

登录 查看组织和合同定价。

选择尺寸

变更视图

关于此项目

UNSPSC Code:
12352203
NACRES:
NA.41
MDL number:
Human Protein Atlas Number:
Conjugate:
unconjugated
Clone:
polyclonal
Application:
IHC
Citations:
88
技术服务
需要帮助?我们经验丰富的科学家团队随时乐意为您服务。
让我们为您提供帮助


biological source

rabbit

Quality Level

conjugate

unconjugated

antibody form

affinity isolated antibody

antibody product type

primary antibodies

clone

polyclonal

product line

Prestige Antibodies® Powered by Atlas Antibodies

form

buffered aqueous glycerol solution

species reactivity

human

enhanced validation

orthogonal RNAseq
recombinant expression
Learn more about Antibody Enhanced Validation

technique(s)

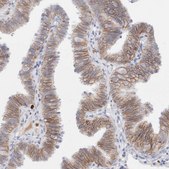
immunoblotting: 0.04-0.4 μg/mL, immunohistochemistry: 1:200-1:500

immunogen sequence

LFKAKQCNGTSMCWCVNTAGVRRTDKDTEITCSERVRTYWIIIELKHKAREKPYDSKSLRTALQKEITTRYQLDPKFITSILYENNVITIDLVQNSSQKTQNDVDIADVAYY

UniProt accession no.

shipped in

wet ice

storage temp.

−20°C

target post-translational modification

unmodified

Gene Information

human ... EPCAM(4072)

General description

上皮细胞粘附分子(EpCAM)基因,也称为TACSTD(肿瘤相关钙信号转导子1),位于人类染色体2p21,该区域由mutS同源物2(MSH2)和mutS同源物6(MSH6)DNA错配修复基因组成。该基因编码在不同器官的上皮细胞中表达的膜相关糖蛋白。

Immunogen

肿瘤相关钙信号转导蛋白1前体重组蛋白表位信号标签(PrEST)

Application

抗-EPCAM兔抗已被用于邻近连接检测以研究EpCAM和AGR2(人前梯度蛋白2)蛋白之间的相互作用。
由Atlas Antibodies提供技术支持的所有Prestige Antibodies抗体均由人类蛋白质图集(HPA)项目开发和验证,因此受到业内最广泛的表征支持。

人类蛋白质图集项目可以分为三大部分: 人体组织图谱、癌症图谱和人类细胞图谱。在组织和癌症图谱项目支持下产生的抗体已通过对数百种正常和疾病组织的免疫组织化学分析得到了验证,并且通过近期人类细胞图谱项目的努力,许多抗体已经过免疫荧光分析的表征,从而绘制人类蛋白质组图谱,不仅是在组织水平上,现在已经达到亚细胞水平。在人类蛋白质图集项目网站上单击图像库链接,可以查看这些图像和庞大的数据集。我们还提供Prestige Antibodies® 抗体的实验方案和其他有用信息。

Biochem/physiol Actions

上皮细胞粘附分子(EpCAM)可作为肝脏干/ 祖细胞特异性标志物。EpCAM 致癌基因通过其胞内结构域的释放激活,该结构域通过与wnt通路的元件结合,参与信号转导进入细胞核。由于上皮细胞粘附分子 (EpCAM)在癌变前肝组织和一些肝细胞癌(HCC)中高度表达,它可作为肝细胞癌(HCC)的早期生物标志物。EpCAM 基因突变导致婴儿中出现罕见的常染色体隐性腹泻病,称为先天性簇绒肠病(congenital tufting enteropathy,CTE)。与其它细胞粘附分子一样,EpCAM在细胞-细胞相互作用中起关键作用,也与紧密连接蛋白(如claudin-7 )有关。实验研究假定EpCAM 参与正常的肠和窝绒毛轴线(crypt villus axis)发育。

Features and Benefits

Prestige Antibodies®是经过高度表征和广泛验证的抗体,同时还有一个优点是其每个靶标的所有可用表征数据都可以通过位于此页面顶部产品名称下方的人类蛋白质图谱门户进行访问。Prestige Antibodies®对其他蛋白质的独特性和低交叉反应性是通过严密的抗原区域选择、亲和纯化和严格的选择来实现的。针对每一个Prestige Antibody都存在有对应的Prestige抗原对照,并可在链接区域内找到。

每个Prestige Antibody都是按照以下方法进行测试的:
  • 44例正常人类组织以及20例最常见癌症类型组织的IHC组织阵列。
  • 364个人类重组蛋白片段的蛋白阵列。

Physical form

溶于磷酸盐缓冲盐水,pH 7.2,含有40%甘油和0.02%叠氮化钠

Other Notes

相应抗原APREST70142

Legal Information

Prestige Antibodies is a registered trademark of Merck KGaA, Darmstadt, Germany

Disclaimer

除非我们的产品目录或产品附带的其他公司文档另有说明,否则我们的产品仅供研究使用,不得用于任何其他目的,包括但不限于未经授权的商业用途、体外诊断用途、离体或体内治疗用途或任何类型的消费或应用于人类或动物。


Still not finding the right product?

试用我们的 产品选型工具 工具缩小选择范围


存储类别

10 - Combustible liquids

wgk

WGK 1

flash_point_f

Not applicable

flash_point_c

Not applicable

法规信息

低风险生物材料
常规特殊物品

此项目有



历史批次信息供参考:

分析证书(COA)

Lot/Batch Number

没有发现合适的版本?

如果您需要特殊版本,可通过批号或批次号查找具体证书。

已有该产品?

在文件库中查找您最近购买产品的文档。

访问文档库


商品

Human pancreatic cancer organoid biobank (PDAC organoids) with various KRAS mutations to aide in 3D cell culture and cancer research applications.


Absence of cell-surface EpCAM in congenital tufting enteropathy.
Schnell U
Human Molecular Genetics, 22(13), 2566-2571 (2013)
Noëlla Lopes et al.
Nature communications, 9(1), 1262-1262 (2018-03-30)
Medullary thymic epithelial cells (mTEC) purge the T cell repertoire of autoreactive thymocytes. Although dendritic cells (DC) reinforce this process by transporting innocuous peripheral self-antigens, the mechanisms that control their thymic entry remain unclear. Here we show that mTEC-CD4+ thymocyte
Chiara Nicolazzo et al.
Cancers, 11(8) (2019-07-28)
Molecular alterations are not randomly distributed in colorectal cancer (CRC), but rather clustered on the basis of primary tumor location underlying the importance of colorectal cancer sidedness. We aimed to investigate whether circulating tumor cells (CTC) characterization might help clarify



全球贸易项目编号

货号GTIN
HPA026761-100UL04061837127403
HPA026761-25UL04061842851980