跳转至内容
Merck
CN

HPA027179

抗-KDM5B 兔抗

Prestige Antibodies® Powered by Atlas Antibodies, affinity isolated antibody, buffered aqueous glycerol solution

别名:

抗-CT31, 抗-JARID1B, 抗-PLU-1, 抗-PPP1R98, 抗-RBBP2H1A

登录 查看组织和合同定价。

选择尺寸

变更视图

关于此项目

UNSPSC Code:
12352203
NACRES:
NA.41
Human Protein Atlas Number:
Conjugate:
unconjugated
Clone:
polyclonal
Application:
IHC
Citations:
14
技术服务
需要帮助?我们经验丰富的科学家团队随时乐意为您服务。
让我们为您提供帮助


biological source

rabbit

Quality Level

conjugate

unconjugated

antibody form

affinity isolated antibody

antibody product type

primary antibodies

clone

polyclonal

product line

Prestige Antibodies® Powered by Atlas Antibodies

form

buffered aqueous glycerol solution

species reactivity

human

enhanced validation

orthogonal RNAseq
Learn more about Antibody Enhanced Validation

technique(s)

immunohistochemistry: 1:200- 1:500

immunogen sequence

DGINSLERKLKRRLEREGLSSERWERVKKMRTPKKKKIKLSHPKDMNNFKLERERSYELVRSAETHSLPSDTSYSEQEDSE

shipped in

wet ice

storage temp.

−20°C

target post-translational modification

unmodified

Gene Information

human ... JARID1B(10765)

General description

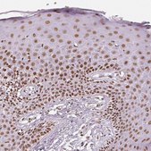
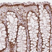
KDM5B是一种酶,可以使组蛋白H3中的赖氨酸4 脱甲基,然后抑制mRNA 合成。这种酶调节细胞发育过程,如有丝分裂和细胞分化。KDM5B 表达增加与癌症有关。抗KDM5B抗体对人KDM5B有特异性。

Immunogen

组蛋白脱甲基酶JARID1B重组蛋白表位信号标签(PrEST)

Application

兔产生的抗KDM5B抗体,属于Prestige抗体,由人类蛋白质图谱(HPA)项目开发和验证。每种抗体都通过针对数百种正常和疾病组织的免疫组织化学进行测试。通过单击图像库链接,可以在人类蛋白质图谱(HPA)站点上查看这些图像。还采用蛋白阵列和蛋白质印迹法对抗体进行检测。想要查看有关Prestige 抗体和HPA的方案和其他实用信息,请访问 sigma.com/prestige。抗KDM5B抗体适用于间接免疫荧光检测。

Features and Benefits

Prestige抗体®是经过高度表征和广泛验证的抗体,同时还有一个优点是其每个靶标的所有可用表征数据都可以通过位于此页面顶部产品名称下方的人类蛋白质图谱门户进行访问。Prestige抗体对其他蛋白质的独特性和低交叉反应性®是通过严密的抗原区域选择、亲和纯化和严格的选择来实现的。针对每一个Prestige Antibody都存在有对应的Prestige抗原对照,并可在链接区域内找到。

每个Prestige Antibody都是按照以下方法进行测试的:
  • 44例正常人类组织以及20例最常见癌症类型组织的IHC组织阵列。
  • 364个人类重组蛋白片段的蛋白阵列。

Physical form

溶于磷酸盐缓冲盐水,pH 7.2,含有40%甘油和0.02%叠氮化钠

Other Notes

相应抗原APREST76633

Legal Information

Prestige Antibodies is a registered trademark of Merck KGaA, Darmstadt, Germany

Disclaimer

除非我们的产品目录或产品附带的其他公司文档另有说明,否则我们的产品仅供研究使用,不得用于任何其他目的,包括但不限于未经授权的商业用途、体外诊断用途、离体或体内治疗用途或任何类型的消费或应用于人类或动物。


Still not finding the right product?

Explore all of our products under 抗-KDM5B 兔抗

或者

试用我们的 产品选型工具 工具缩小选择范围


wgk

WGK 1

存储类别

10 - Combustible liquids

flash_point_f

Not applicable

flash_point_c

Not applicable

法规信息

常规特殊物品
低风险生物材料

此项目有



历史批次信息供参考:

分析证书(COA)

Lot/Batch Number

没有发现合适的版本?

如果您需要特殊版本,可通过批号或批次号查找具体证书。

已有该产品?

在文件库中查找您最近购买产品的文档。

访问文档库



Brianna J Klein et al.
Cell reports, 6(2), 325-335 (2014-01-15)
The histone lysine demethylase KDM5B regulates gene transcription and cell differentiation and is implicated in carcinogenesis. It contains multiple conserved chromatin-associated domains, including three PHD fingers of unknown function. Here, we show that the first and third, but not the
Lishuang Wang et al.
Tumour biology : the journal of the International Society for Oncodevelopmental Biology and Medicine, 36(4), 2465-2472 (2015-02-11)
JARID1B, a histone demethylase, has been reported to be highly expressed in various human cancers. In the present study, we investigated the association of JARID1B level with epithelial ovarian cancer (EOC) and prognosis of patients with EOC. We analyzed JARID1B
Jasper Wouters et al.
PloS one, 8(10), e76550-e76550 (2013-10-08)
Melanoma remains the most lethal skin cancer, mainly because of high resistance to therapy. Side population (SP) cells are found in many types of cancer and are usually enriched in therapy-resistant as well as tumorigenic cells. Here, we identified a



全球贸易项目编号

货号GTIN
HPA027179-100UL04061837127601
HPA027179-25UL04061841419594