biological source
rabbit
Quality Level
conjugate
unconjugated
antibody form
affinity isolated antibody
antibody product type
primary antibodies
clone
polyclonal
product line
Prestige Antibodies® Powered by Atlas Antibodies
form
buffered aqueous glycerol solution
species reactivity
human
enhanced validation
orthogonal RNAseq
Learn more about Antibody Enhanced Validation
technique(s)
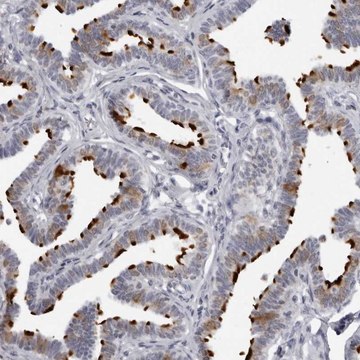
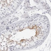
immunohistochemistry: 1:200-1:500
immunogen sequence
CWVATLASAMIPPADSLLKYDTPVLVSRNTEKRSPKARLLKVSPQQPGPSGSAPQPPKTKLPSTPCVPDPTKQ
UniProt accession no.
shipped in
wet ice
storage temp.
−20°C
target post-translational modification
unmodified
Gene Information
human ... DNALI1(7802)
Immunogen
动力蛋白,纤毛轴,轻中间链1重组蛋白表位标签(PrEST)
Application
由Atlas Antibodies提供技术支持的所有Prestige Antibodies抗体均由人类蛋白质图集(HPA)项目开发和验证,因此受到业内最广泛的表征支持。
人类蛋白质图集项目可以分为三大部分: 人体组织图谱、癌症图谱和人类细胞图谱。在组织和癌症图谱项目支持下产生的抗体已通过对数百种正常和疾病组织的免疫组织化学分析得到了验证,并且通过近期人类细胞图谱项目的努力,许多抗体已经过免疫荧光分析的表征,从而绘制人类蛋白质组图谱,不仅是在组织水平上,现在已经达到亚细胞水平。在人类蛋白质图集项目网站上单击图像库链接,可以查看这些图像和庞大的数据集。我们还提供Prestige Antibodies® 抗体的实验方案和其他有用信息。
人类蛋白质图集项目可以分为三大部分: 人体组织图谱、癌症图谱和人类细胞图谱。在组织和癌症图谱项目支持下产生的抗体已通过对数百种正常和疾病组织的免疫组织化学分析得到了验证,并且通过近期人类细胞图谱项目的努力,许多抗体已经过免疫荧光分析的表征,从而绘制人类蛋白质组图谱,不仅是在组织水平上,现在已经达到亚细胞水平。在人类蛋白质图集项目网站上单击图像库链接,可以查看这些图像和庞大的数据集。我们还提供Prestige Antibodies® 抗体的实验方案和其他有用信息。
Features and Benefits
Prestige Antibodies®是经过高度表征和广泛验证的抗体,同时还有一个优点是其每个靶标的所有可用表征数据都可以通过位于此页面顶部产品名称下方的人类蛋白质图谱门户进行访问。Prestige Antibodies®对其他蛋白质的独特性和低交叉反应性是通过严密的抗原区域选择、亲和纯化和严格的选择来实现的。每种Prestige 抗体都有相应的Prestige 抗原对照品,可在链接部分找到。
每种Prestige 抗体的检测方法如下:
每种Prestige 抗体的检测方法如下:
- 44种正常人体组织和20种最常见癌症组织的IHC组织阵列。
- 364个人重组蛋白片段的蛋白阵列。
Physical form
磷酸盐缓冲盐水溶液,pH 7.2,含有 40% 甘油和 0.02% 叠氮化钠。
Other Notes
对应抗原APREST77051
Legal Information
Prestige Antibodies is a registered trademark of Merck KGaA, Darmstadt, Germany
Disclaimer
除非我们的产品目录或产品附带的其他公司文档另有说明,否则我们的产品仅供研究使用,不得用于任何其他目的,包括但不限于未经授权的商业用途、体外诊断用途、离体或体内治疗用途或任何类型的消费或应用于人类或动物。
Still not finding the right product?
存储类别
10 - Combustible liquids
wgk
WGK 1
flash_point_f
Not applicable
flash_point_c
Not applicable
法规信息
低风险生物材料
常规特殊物品
常规特殊物品
此项目有
Guoliang Jiang et al.
Frontiers in genetics, 13, 1087818-1087818 (2022-12-31)
Primary ciliary dyskinesia (PCD) is a rare autosomal recessive disorder that affects the structure and function of motile cilia, leading to classic clinical phenotypes, such as situs inversus, chronic sinusitis, bronchiectasis, repeated pneumonia and infertility. In this study, we diagnosed
Frederick N Dong et al.
American journal of human genetics, 102(4), 636-648 (2018-04-03)
The multiple morphological abnormalities of the flagella (MMAF) phenotype is among the most severe forms of sperm defects responsible for male infertility. The phenotype is characterized by the presence in the ejaculate of immotile spermatozoa with severe flagellar abnormalities including
Alexandros Onoufriadis et al.
Human molecular genetics, 23(13), 3362-3374 (2014-02-13)
Primary ciliary dyskinesia (PCD) is an inherited chronic respiratory obstructive disease with randomized body laterality and infertility, resulting from cilia and sperm dysmotility. PCD is characterized by clinical variability and extensive genetic heterogeneity, associated with different cilia ultrastructural defects and
全球贸易项目编号
| 货号 | GTIN |
|---|---|
| HPA028305-100UL | 04061837127908 |
| HPA028305-25UL | 04061842949878 |