biological source
rabbit
Quality Level
conjugate
unconjugated
antibody form
affinity isolated antibody
antibody product type
primary antibodies
clone
polyclonal
product line
Prestige Antibodies® Powered by Atlas Antibodies
form
buffered aqueous glycerol solution
species reactivity
human
enhanced validation
independent
orthogonal RNAseq
Learn more about Antibody Enhanced Validation
technique(s)
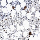
immunohistochemistry: 1:200- 1:500
immunogen sequence
CVPQLQLTASVTGSPLLVGADNVLELQMDAANEGEGAYEAELAVHLPQGAHYMRALSNVEGFERLICNQKKENETRV
UniProt accession no.
shipped in
wet ice
storage temp.
−20°C
target post-translational modification
unmodified
Gene Information
human ... ITGA2B(3674)
General description
ITGA2B (integrin subunit α 2b) is mapped to human chromosome 17q21.31. The gene encodes for integrin α-IIb also called as GPIIb/IIIa (glycoprotein). It is a platelet-specific, surface membrane receptor
Immunogen
integrin, alpha 2b (platelet glycoprotein IIb of IIb/IIIa complex, antigen CD41) recombinant protein epitope signature tag (PrEST)
Application
All Prestige Antibodies Powered by Atlas Antibodies are developed and validated by the Human Protein Atlas (HPA) project and as a result, are supported by the most extensive characterization in the industry.
The Human Protein Atlas project can be subdivided into three efforts: Human Tissue Atlas, Cancer Atlas, and Human Cell Atlas. The antibodies that have been generated in support of the Tissue and Cancer Atlas projects have been tested by immunohistochemistry against hundreds of normal and disease tissues and through the recent efforts of the Human Cell Atlas project, many have been characterized by immunofluorescence to map the human proteome not only at the tissue level but now at the subcellular level. These images and the collection of this vast data set can be viewed on the Human Protein Atlas (HPA) site by clicking on the Image Gallery link. We also provide Prestige Antibodies® protocols and other useful information.
The Human Protein Atlas project can be subdivided into three efforts: Human Tissue Atlas, Cancer Atlas, and Human Cell Atlas. The antibodies that have been generated in support of the Tissue and Cancer Atlas projects have been tested by immunohistochemistry against hundreds of normal and disease tissues and through the recent efforts of the Human Cell Atlas project, many have been characterized by immunofluorescence to map the human proteome not only at the tissue level but now at the subcellular level. These images and the collection of this vast data set can be viewed on the Human Protein Atlas (HPA) site by clicking on the Image Gallery link. We also provide Prestige Antibodies® protocols and other useful information.
Biochem/physiol Actions
ITGA2B is significantly involved in platelet adhesion and thrombus formation at the location of vascular injury. Fibrinogen and many extracellular matrix proteins bind in a groove between the a and β-subunits of the integrin receptor. Platelet aggregation, induced by the binding of fibrinogen to the ITGA2B receptor, is involved in the pathogenesis of acute thrombosis in coronary heart disease, stroke, and peripheral arterial disease. ITGA2B, expressed in haematopoietic progenitors, is associated with erythroid activity and endothelial marker expression. Single-nucleotide polymorphisms (SNPs) in ITGA2B might be associated with the risk of acute coronary syndrome and atherosclerosis.
Features and Benefits
Prestige Antibodies® are highly characterized and extensively validated antibodies with the added benefit of all available characterization data for each target being accessible via the Human Protein Atlas portal linked just below the product name at the top of this page. The uniqueness and low cross-reactivity of the Prestige Antibodies® to other proteins are due to a thorough selection of antigen regions, affinity purification, and stringent selection. Prestige antigen controls are available for every corresponding Prestige Antibody and can be found in the linkage section.
Every Prestige Antibody is tested in the following ways:
Every Prestige Antibody is tested in the following ways:
- IHC tissue array of 44 normal human tissues and 20 of the most common cancer type tissues.
- Protein array of 364 human recombinant protein fragments.
Physical form
Solution in phosphate buffered saline, pH 7.2, containing 40% glycerol and 0.02% sodium azide.
Other Notes
Corresponding Antigen APREST78037
Legal Information
Prestige Antibodies is a registered trademark of Merck KGaA, Darmstadt, Germany
Disclaimer
Unless otherwise stated in our catalog or other company documentation accompanying the product(s), our products are intended for research use only and are not to be used for any other purpose, which includes but is not limited to, unauthorized commercial uses, in vitro diagnostic uses, ex vivo or in vivo therapeutic uses or any type of consumption or application to humans or animals.
存储类别
10 - Combustible liquids
wgk
WGK 1
flash_point_f
Not applicable
flash_point_c
Not applicable
法规信息
新产品
此项目有
商品
Mesenchymal stem cell markers and antibodies suitable for investigating targets in fibroblasts, chondrocytes, adipocytes, osteoblasts, and muscle cells.
?-Subunit Binding Is Sufficient for Ligands to Open the Integrin aIIb?3 Headpiece.
Lin FY
The Journal of Biological Chemistry, 291(9), 4537-4546 (2016)
CD41 and CD45 expression marks the angioformative initiation of neovascularisation in human haemangioblastoma.
Ma D
Tumour Biology : the Journal of the International Society For Oncodevelopmental Biology and Medicine, 37(3), 3765-3774 (2016)
Alessandra Stazi et al.
Circulation, 129(1), 11-17 (2013-11-28)
Radiofrequency ablation of atrial fibrillation has been associated with some risk of thromboembolic events. Previous studies showed that preventive short episodes of forearm ischemia (remote ischemic preconditioning [IPC]) reduce exercise-induced platelet reactivity. In this study, we assessed whether remote IPC
全球贸易项目编号
| 货号 | GTIN |
|---|---|
| HPA031168-100UL | 04061837128844 |
| HPA031168-25UL | 04061842983131 |