跳转至内容
Merck
CN

HPA035832

Anti-CD33 antibody produced in rabbit

Prestige Antibodies® Powered by Atlas Antibodies, affinity isolated antibody, buffered aqueous glycerol solution

别名:

Anti-FLJ00391, Anti-SIGLEC-3, Anti-SIGLEC3, Anti-p67

登录 查看组织和合同定价。

选择尺寸

变更视图

关于此项目

UNSPSC Code:
12352203
NACRES:
NA.43
Human Protein Atlas Number:
Conjugate:
unconjugated
Clone:
polyclonal
Application:
IHC
Citations:
14
技术服务
需要帮助?我们经验丰富的科学家团队随时乐意为您服务。
让我们为您提供帮助


biological source

rabbit

Quality Level

conjugate

unconjugated

antibody form

affinity isolated antibody

antibody product type

primary antibodies

clone

polyclonal

product line

Prestige Antibodies® Powered by Atlas Antibodies

form

buffered aqueous glycerol solution

species reactivity

human

enhanced validation

orthogonal RNAseq
Learn more about Antibody Enhanced Validation

technique(s)

immunohistochemistry: 1:200-1:500

immunogen sequence

KTHRRKAARTAVGRNDTHPTTGSASPKHQKKSKLHGPTETSSCSGAAPTVEMDEELHYASLNFHGMNPSKDTSTEYSEVRTQ

UniProt accession no.

application(s)

research pathology

shipped in

wet ice

storage temp.

−20°C

target post-translational modification

unmodified

Gene Information

human ... CD33(945)

General description

Myeloid cell surface antigen CD33 (cluster of differentiation 33), also known as SIGLEC3 (sialic acid binding Ig-like lectins) and GP67, belongs to the CD33-related SIGLEC gene family. It is a type 1 transmembrane protein and has two immunoglobulin-like extracellular domains, a single transmembrane area and two intracellular inhibitory motifs. The CD33 gene is located on human chromosome 19q13.

Immunogen

CD33 molecule

Application

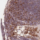
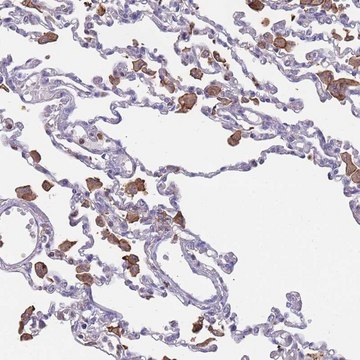
Anti-CD33 antibody has been used in immunohistochemical staining.

Biochem/physiol Actions

CD33 (cluster of differentiation 33) is mainly involved in anti-inflammatory signaling, cell adhesion and endocytosis functions. CD33 serves as a myeloid differentiation marker. Mutations in the CD33 gene are associated with Alzheimer′s disease susceptibility and acute myeloid leukemia treatment efficacy.

Features and Benefits

Prestige Antibodies® are highly characterized and extensively validated antibodies with the added benefit of all available characterization data for each target being accessible via the Human Protein Atlas portal linked just below the product name at the top of this page. The uniqueness and low cross-reactivity of the Prestige Antibodies® to other proteins are due to a thorough selection of antigen regions, affinity purification, and stringent selection. Prestige antigen controls are available for every corresponding Prestige Antibody and can be found in the linkage section.

Every Prestige Antibody is tested in the following ways:
  • IHC tissue array of 44 normal human tissues and 20 of the most common cancer type tissues.
  • Protein array of 364 human recombinant protein fragments.

Physical form

Solution in phosphate buffered saline, pH 7.2, containing 40% glycerol and 0.02% sodium azide.

Other Notes

Corresponding Antigen APREST71736

Legal Information

Prestige Antibodies is a registered trademark of Merck KGaA, Darmstadt, Germany

Disclaimer

Unless otherwise stated in our catalog or other company documentation accompanying the product(s), our products are intended for research use only and are not to be used for any other purpose, which includes but is not limited to, unauthorized commercial uses, in vitro diagnostic uses, ex vivo or in vivo therapeutic uses or any type of consumption or application to humans or animals.


Still not finding the right product?

试用我们的 产品选型工具 工具缩小选择范围


存储类别

10 - Combustible liquids

wgk

WGK 1

flash_point_f

Not applicable

flash_point_c

Not applicable

法规信息

常规特殊物品
低风险生物材料
常规特殊物品

此项目有



历史批次信息供参考:

分析证书(COA)

Lot/Batch Number

没有发现合适的版本?

如果您需要特殊版本,可通过批号或批次号查找具体证书。

已有该产品?

在文件库中查找您最近购买产品的文档。

访问文档库



Genomic organization of the siglec gene locus on chromosome 19q13. 4 and cloning of two new siglec pseudogenes.
Yousef GM, et al.
Gene, 286(2), 259-270 (2002)
CD33 rs3865444 polymorphism contributes to Alzheimer?s disease susceptibility in Chinese, European, and North American populations.
Li X, et al.
Molecular Neurobiology, 52(1), 414-421 (2015)
Genetics of CD33 in Alzheimer's disease and acute myeloid leukemia.
Malik M, et al.
Human Molecular Genetics, 24(12), 3557-3570 (2015)



全球贸易项目编号

货号GTIN
HPA035832-100UL04061836328009
HPA035832-25UL04061842971411