跳转至内容
Merck
CN

HPA035977

抗 KMT2D 兔抗

Prestige Antibodies® Powered by Atlas Antibodies, affinity isolated antibody, buffered aqueous glycerol solution

别名:

ALR, CAGL114, MLL2, MLL4, TNRC21

登录 查看组织和合同定价。

选择尺寸

变更视图

关于此项目

UNSPSC Code:
12352203
NACRES:
NA.41
MDL number:
Human Protein Atlas Number:
Conjugate:
unconjugated
Clone:
polyclonal
Application:
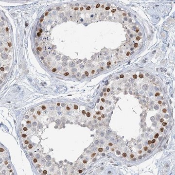
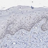
IF, IHC
Citations:
13
技术服务
需要帮助?我们经验丰富的科学家团队随时乐意为您服务。
让我们为您提供帮助


biological source

rabbit

Quality Level

conjugate

unconjugated

antibody form

affinity isolated antibody

antibody product type

primary antibodies

clone

polyclonal

product line

Prestige Antibodies® Powered by Atlas Antibodies

form

buffered aqueous glycerol solution

species reactivity

human

enhanced validation

orthogonal RNAseq
Learn more about Antibody Enhanced Validation

technique(s)

immunofluorescence: 0.25-2 μg/mL, immunohistochemistry: 1:200-1:500

UniProt accession no.

shipped in

wet ice

storage temp.

−20°C

target post-translational modification

unmodified

Gene Information

human ... MLL2(8085)

General description

基因KMT2D(赖氨酸N-甲基转移酶2D)定位于人染色体12q13。它属于组蛋白赖氨酸甲基转移酶KMT2家族。该蛋白有一个PHD(植物同源结构域)结构域,两个FY富集基序(FYRC和FYRN)和一个催化集(su (var) 3-9、Zeste 同源物增强子和Trithorax 蛋白组)结构域。

Immunogen

赖氨酸 (k) 特异性甲基转移酶 2d 重组蛋白表位签名标签 (PrEST)

序列
AQLADTLFSKGLGPWDPPDNLAETQKPEQSSLVPGHLDQVNGQVVPEASQLSIKQEPREEPCALGAQSVKREANGEPIGAPGTSNHLLLAGPRSEAGHLLLQKLLRAKNVQLSTGRGSEGLRAEINGHI

Application

兔抗 KMT2D 抗体可用于免疫组化、免疫荧光 和染色质免疫沉淀。
由Atlas Antibodies提供技术支持的所有Prestige Antibodies抗体均由人类蛋白质图集(HPA)项目开发和验证,因此受到业内最广泛的表征支持。

人类蛋白质图集项目可以分为三大部分: 人体组织图谱、癌症图谱和人类细胞图谱。在组织和癌症图谱项目支持下产生的抗体已通过对数百种正常和疾病组织的免疫组织化学分析得到了验证,并且通过近期人类细胞图谱项目的努力,许多抗体已经过免疫荧光分析的表征,从而绘制人类蛋白质组图谱,不仅是在组织水平上,现在已经达到亚细胞水平。在人类蛋白质图集项目网站上单击图像库链接,可以查看这些图像和庞大的数据集。我们还提供Prestige Antibodies® 抗体的实验方案和其他有用信息。

Biochem/physiol Actions

KMT2D(赖氨酸N-甲基转移酶2D)可作为催化亚基用于COMPASS(与Set1相关的蛋白质复合物)样复合物,负责在组蛋白3中甲基化赖氨酸残基。它是产生H3K4me1(单甲基化组蛋白H3赖氨酸4)所必需的。这一基因表达的变化会调节胰腺导管腺癌的预后。该基因的突变与歌舞伎面谱综合征有关。KMT2D在弥漫性大B细胞淋巴瘤(DLBCL)和滤泡性淋巴瘤(FL)中也是经常发生突变的基因。缺失这种基因会增加淋巴瘤发生的概率。

Features and Benefits

Prestige抗体®是经过高度表征和广泛验证的抗体,同时还有一个优点是其每个靶标的所有可用表征数据都可以通过位于此页面顶部产品名称下方的人类蛋白质图谱门户进行访问。Prestige抗体对其他蛋白质的独特性和低交叉反应性®是通过严密的抗原区域选择、亲和纯化和严格的选择来实现的。针对每一个Prestige 抗体都存在有对应的Prestige抗原对照,并可在链接区域内找到。

每个Prestige 抗体都是按照以下方法进行测试的:
  • 44例正常人类组织以及20例最常见癌症类型组织的IHC组织阵列。
  • 364个人类重组蛋白片段的蛋白阵列。

Physical form

含有 40% 甘油和 0.02% 叠氮化钠的磷酸盐缓冲盐水 (pH 7.2) 溶液。

Other Notes

对应抗原APREST86867

Legal Information

Prestige Antibodies is a registered trademark of Merck KGaA, Darmstadt, Germany

Disclaimer

除非我们的产品目录或产品附带的其他公司文档另有说明,否则我们的产品仅供研究使用,不得用于任何其他目的,包括但不限于未经授权的商业用途、体外诊断用途、离体或体内治疗用途或任何类型的消费或应用于人类或动物。


Still not finding the right product?

试用我们的 产品选型工具 工具缩小选择范围


存储类别

10 - Combustible liquids

wgk

WGK 1

flash_point_f

Not applicable

flash_point_c

Not applicable

法规信息

低风险生物材料
常规特殊物品

此项目有



历史批次信息供参考:

分析证书(COA)

Lot/Batch Number

没有发现合适的版本?

如果您需要特殊版本,可通过批号或批次号查找具体证书。

已有该产品?

在文件库中查找您最近购买产品的文档。

访问文档库



Enrique Lin-Shiao et al.
Genes & development, 32(2), 181-193 (2018-02-15)
Epithelial tissues rely on a highly coordinated balance between self-renewal, proliferation, and differentiation, disruption of which may drive carcinogenesis. The epigenetic regulator KMT2D (MLL4) is one of the most frequently mutated genes in all cancers, particularly epithelial cancers, yet its
Molecular genetic analysis in 14 Czech Kabuki syndrome patients is confirming the utility of phenotypic scoring.
Paderova J
Clinical Genetics, 90(3), 230-237 (2016)
Disruption of KMT2D perturbs germinal center B cell development and promotes lymphomagenesis.
Zhang J
Nature Medicine, 21(10), 1190-1198 (2015)



全球贸易项目编号

货号GTIN
HPA035977-100UL04061837129346
HPA035977-25UL04061842978076