跳转至内容
Merck
CN

HPA038002

抗-METTL14 兔抗

Prestige Antibodies® Powered by Atlas Antibodies, affinity isolated antibody, buffered aqueous glycerol solution

别名:

抗-KIAA1627, 抗-甲基转移酶样14

登录 查看组织和合同定价。

选择尺寸

变更视图

关于此项目

UNSPSC Code:
12352203
NACRES:
NA.41
Human Protein Atlas Number:
Conjugate:
unconjugated
Clone:
polyclonal
Application:
IF, IHC
Citations:
43
技术服务
需要帮助?我们经验丰富的科学家团队随时乐意为您服务。
让我们为您提供帮助


biological source

rabbit

Quality Level

conjugate

unconjugated

antibody form

affinity isolated antibody

antibody product type

primary antibodies

clone

polyclonal

product line

Prestige Antibodies® Powered by Atlas Antibodies

form

buffered aqueous glycerol solution

species reactivity

human

technique(s)

immunofluorescence: 0.25-2 μg/mL, immunohistochemistry: 1:1000-1:2500

immunogen sequence

RSWNMDSRLQEIRERQKLRRQLLAQQLGAESADSIGAVLNSKDEQREIAETRETCRASYDTSAPNAKRKYLDEGETDEDKMEEYKDELEMQQDEE

UniProt accession no.

shipped in

wet ice

storage temp.

−20°C

target post-translational modification

unmodified

Gene Information

human ... METTL14(57721)

General description

基因METTL14(甲基转移酶样14)定位于人染色体4q。它是METTL3的同源物。该蛋白质具有N-末端α-螺旋基序(NHM)、甲基转移酶结构域和C-末端基序。

Immunogen

甲基转移酶样14重组蛋白表位信号标签(PrEST)

Application

兔抗METTL14抗体可用于:
  • 交联和RNA免疫沉淀 (CLIP)
  • 蛋白质印迹
  • 免疫组化分析

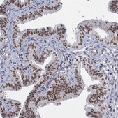
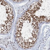
由Atlas Antibodies提供技术支持的所有Prestige Antibodies®抗体均由人类蛋白质图集(HPA)项目开发和验证。每种抗体都通过针对数百种正常和疾病组织的免疫组织化学进行测试。通过单击图像库链接,可以在人类蛋白质图谱(HPA)站点上查看这些图像。我们还提供Prestige Antibodies® 抗体的实验方案和其他有用信息。
兔抗METTL14抗体可用于免疫印迹和免疫荧光应用。

Biochem/physiol Actions

METTL14突变可使子宫内膜肿瘤中m6A甲基化减少约70%。
METTL14(甲基转移酶样14)主要负责m6A(N6- 甲基腺苷)RNA甲基化。它可与METTL3形成异二聚体,该复合物可催化m6A RNA甲基化。

Features and Benefits

Prestige抗体® 是经过高度表征和广泛验证的抗体,同时还有一个优点是其每个靶标的所有可用表征数据都可以通过位于此页面顶部产品名称下方的人类蛋白质图谱门户进行访问。Prestige抗体对其他蛋白质的独特性和低交叉反应性® 是通过严密的抗原区域选择、亲和纯化和严格的选择来实现的。针对每一个Prestige Antibody都存在有对应的Prestige抗原对照,并可在链接区域内找到。

每个Prestige Antibody都是按照以下方法进行测试的:
  • 44例正常人类组织以及20例最常见癌症类型组织的IHC组织阵列。
  • 364个人类重组蛋白片段的蛋白阵列。

Physical form

溶于含有40%甘油和0.02%叠氮化钠的的磷酸盐缓冲盐缓冲液(pH7.2)中。

Other Notes

对应抗原APREST79779

Legal Information

Prestige Antibodies is a registered trademark of Merck KGaA, Darmstadt, Germany

Disclaimer

除非我们的产品目录或产品随附的其他公司文档中另有说明,否则我们的产品仅供研究使用,不得用于任何其他目的,包括但不限于未经授权的商业用途、体外诊断用途、离体或体内治疗用途或任何类型的消费或应用于人或动物。


Still not finding the right product?

Explore all of our products under 抗-METTL14 兔抗

或者

试用我们的 产品选型工具 工具缩小选择范围


存储类别

10 - Combustible liquids

wgk

WGK 1

法规信息

低风险生物材料
常规特殊物品

此项目有



历史批次信息供参考:

分析证书(COA)

Lot/Batch Number

没有发现合适的版本?

如果您需要特殊版本,可通过批号或批次号查找具体证书。

已有该产品?

在文件库中查找您最近购买产品的文档。

访问文档库



The m(6)A Methyltransferase METTL3 Promotes Translation in Human Cancer Cells.
Lin S, et al.
Molecular Cell, 62, 335-335 (2016)
Region-specific RNA m6A methylation represents a new layer of control in the gene regulatory network in the mouse brain
Chang M, et al.
Open Biology, 7(9), 170166-170166 (2017)
METTL14 inhibits hematopoietic stem/progenitor differentiation and promotes leukemogenesis via mRNA m6A modification
Weng H, et al.
Cell Stem Cell, 22(2), 191-205 (2018)



全球贸易项目编号

货号GTIN
HPA038002-100UL04061833826133
HPA038002-25UL04061841244714