跳转至内容
Merck
CN

HPA042451

抗 SETD2 兔抗

Prestige Antibodies® Powered by Atlas Antibodies, affinity isolated antibody, buffered aqueous glycerol solution

别名:

反 集域包含 2, 抗 Flj23184, 抗 Hif-1, 抗 Hypb, 抗 Kiaa1732, 抗 Kmt3a

登录 查看组织和合同定价。

选择尺寸

变更视图

关于此项目

UNSPSC Code:
12352203
NACRES:
NA.43
Human Protein Atlas Number:
Conjugate:
unconjugated
Clone:
polyclonal
Application:
IF, IHC
Citations:
15
技术服务
需要帮助?我们经验丰富的科学家团队随时乐意为您服务。
让我们为您提供帮助


biological source

rabbit

Quality Level

conjugate

unconjugated

antibody form

affinity isolated antibody

antibody product type

primary antibodies

clone

polyclonal

product line

Prestige Antibodies® Powered by Atlas Antibodies

form

buffered aqueous glycerol solution

species reactivity

human

technique(s)

immunofluorescence: 0.25-2 μg/mL, immunohistochemistry: 1:50-1:200

immunogen sequence

NLGMTSPLPYDSLGYNAPHHPFAGYPPGYPMQAYVDPSNPNAGKVLLPTPSMDPVCSPAPYDHAQPLVGHSTEPLSAPPPVPVVPHVAAPVEVSSSQYVA

UniProt accession no.

shipped in

wet ice

storage temp.

−20°C

target post-translational modification

unmodified

Gene Information

human ... SETD2(29072)

General description

SET结构域2 (SETD2)是一种组蛋白甲基转移酶基因,定位于人染色体3p21.31,该区域与癌细胞的生长停滞相关。

Immunogen

含 2 个重组蛋白表位标签的 SET 结构域

Application

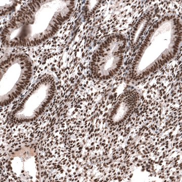
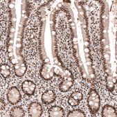
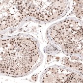
兔抗 SETD2 抗体可用于免疫组化。
所有由 Atlas抗体®提供支持的 Prestige 抗体均由 Human Protein Atlas(HPA) 项目开发和验证。每种抗体都通过针对数百种正常和疾病组织的免疫组织化学进行测试。通过单击图像库链接,可以在人类蛋白质图谱(HPA)站点上查看这些图像。我们还提供Prestige Antibodies® 抗体的实验方案和其他有用信息。

Biochem/physiol Actions

SET结构域2(SETD2)在组蛋白标记H3K36(组蛋白3赖氨酸36)的三甲基化中起着至关重要的作用。这种肿瘤抑制基因(TSG)的突变与多种癌症的发病机制相关,包括透明细胞肾细胞癌(cRCC)、乳腺癌、肺癌、急性淋巴细胞白血病(ALL)和胶质瘤。此外,SETD2基因还参与亨廷顿病(HD)的发展。′SETD2通过与高磷酸化RNA聚合酶II(POLR2A)结合,维持染色质结构,在转录延伸中发挥重要作用。SETD2与p53相互作用,在乳腺癌细胞中用作肿瘤抑制因子。SETD2参与人类细胞DNA双链断裂(DSB)排除和同源重组(HR)修复。HeLa细胞中SETD2通过减少FACT(促进染色质转录)复合体对活性基因的招募来改变核小体的组织。

Features and Benefits

Prestige抗体®是经过高度表征和广泛验证的抗体,同时还有一个优点是其每个靶标的所有可用表征数据都可以通过位于此页面顶部产品名称下方的人类蛋白质图谱门户进行访问。Prestige抗体对其他蛋白质的独特性和低交叉反应性®是通过严密的抗原区域选择、亲和纯化和严格的选择来实现的。针对每一个Prestige 抗体都存在有对应的Prestige抗原对照,并可在链接区域内找到。

每个Prestige Antibody都是按照以下方法进行测试的:
  • 44例正常人类组织以及20例最常见癌症类型组织的IHC组织阵列。
  • 364个人类重组蛋白片段的蛋白阵列。

Physical form

含有 40% 甘油和 0.02% 叠氮化钠的磷酸盐缓冲盐水(pH 7.2)溶液。

Other Notes

对应抗原APREST79513

Legal Information

Prestige Antibodies is a registered trademark of Merck KGaA, Darmstadt, Germany

Disclaimer

除非我们的产品目录或产品附带的其他公司文档另有说明,否则我们的产品仅供研究使用,不得用于任何其他目的,包括但不限于未经授权的商业用途、体外诊断用途、离体或体内治疗用途或任何类型的消费或应用于人类或动物。


Still not finding the right product?

Explore all of our products under 抗 SETD2 兔抗

或者

试用我们的 产品选型工具 工具缩小选择范围


存储类别

10 - Combustible liquids

wgk

WGK 1

flash_point_f

Not applicable

flash_point_c

Not applicable

法规信息

常规特殊物品
低风险生物材料

此项目有



历史批次信息供参考:

分析证书(COA)

Lot/Batch Number

没有发现合适的版本?

如果您需要特殊版本,可通过批号或批次号查找具体证书。

已有该产品?

在文件库中查找您最近购买产品的文档。

访问文档库



SETD2 loss-of-function promotes renal cancer branched evolution through replication stress and impaired DNA repair.
Kanu N
Oncogene null
SETD2-dependent histone H3K36 trimethylation is required for homologous recombination repair and genome stability.
Pfister SX
Cell Reports null
G Martinelli et al.
Leukemia, 32(1), 139-148 (2017-07-01)
The molecular basis of advanced systemic mastocytosis (SM) is not fully understood and despite novel therapies the prognosis remains dismal. Exome sequencing of an index-patient with mast cell leukemia (MCL) uncovered biallelic loss-of-function mutations in the SETD2 histone methyltransferase gene.



全球贸易项目编号

货号GTIN
HPA042451-100UL04061837130427
HPA042451-25UL04061841489993