跳转至内容
Merck
CN

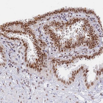
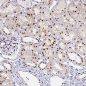
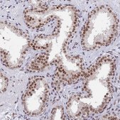
HPA043761

抗-DPY30 兔抗

Prestige Antibodies® Powered by Atlas Antibodies, affinity isolated antibody, buffered aqueous glycerol solution

别名:

抗-Cps25, 抗-HDPY-30, 抗-Saf19

登录 查看组织和合同定价。

选择尺寸

变更视图

关于此项目

UNSPSC Code:
12352203
NACRES:
NA.41
Human Protein Atlas Number:
Conjugate:
unconjugated
Clone:
polyclonal
Application:
IF, IHC
Citations:
1
技术服务
需要帮助?我们经验丰富的科学家团队随时乐意为您服务。
让我们为您提供帮助


biological source

rabbit

Quality Level

conjugate

unconjugated

antibody form

affinity isolated antibody

antibody product type

primary antibodies

clone

polyclonal

product line

Prestige Antibodies® Powered by Atlas Antibodies

form

buffered aqueous glycerol solution

species reactivity

human

enhanced validation

orthogonal RNAseq
Learn more about Antibody Enhanced Validation

technique(s)

immunofluorescence: 0.25-2 μg/mL, immunohistochemistry: 1:200-1:500

immunogen sequence

YGLTDNVERIVENEKINAEKSSKQKVDLQSLPTRAYLDQTVVPILLQGLAVLAKERPPNPIEFLASYLLKNKAQFEDRN

UniProt accession no.

shipped in

wet ice

storage temp.

−20°C

target post-translational modification

unmodified

Gene Information

human ... DPY30(84661)

Immunogen

dpy-30同源物(秀丽隐杆线虫)重组蛋白表位信号标签(PrEST)

Application

由Atlas Antibodies提供技术支持的所有Prestige Antibodies抗体均由人类蛋白质图集(HPA)项目开发和验证,因此受到业内最广泛的表征支持。

人类蛋白质图集项目可以分为三大部分: 人体组织图谱、癌症图谱和人类细胞图谱。在组织和癌症图谱项目支持下产生的抗体已通过对数百种正常和疾病组织的免疫组织化学分析得到了验证,并且通过近期人类细胞图谱项目的努力,许多抗体已经过免疫荧光分析的表征,从而绘制人类蛋白质组图谱,不仅是在组织水平上,现在已经达到亚细胞水平。在人类蛋白质图集项目网站上单击图像库链接,可以查看这些图像和庞大的数据集。我们还提供Prestige Antibodies® 抗体的实验方案和其他有用信息。

Features and Benefits

Prestige Antibodies®是经过高度表征和广泛验证的抗体,同时还有一个优点是其每个靶标的所有可用表征数据都可以通过位于此页面顶部产品名称下方的人类蛋白质图谱门户进行访问。Prestige Antibodies®对其他蛋白质的独特性和低交叉反应性是通过严密的抗原区域选择、亲和纯化和严格的选择来实现的。每种Prestige 抗体都有相应的Prestige 抗原对照品,可在链接部分找到。

每种Prestige 抗体的检测方法如下:
  • 44种正常人体组织和20种最常见癌症组织的IHC组织阵列。
  • 364个人重组蛋白片段的蛋白阵列。

Physical form

磷酸盐缓冲盐水溶液,pH 7.2,含有 40% 甘油和 0.02% 叠氮化钠。

Other Notes

对应抗原APREST84414

Legal Information

Prestige Antibodies is a registered trademark of Merck KGaA, Darmstadt, Germany

Disclaimer

除非我们的产品目录或产品附带的其他公司文档另有说明,否则我们的产品仅供研究使用,不得用于任何其他目的,包括但不限于未经授权的商业用途、体外诊断用途、离体或体内治疗用途或任何类型的消费或应用于人类或动物。


Still not finding the right product?

试用我们的 产品选型工具 工具缩小选择范围


存储类别

10 - Combustible liquids

wgk

WGK 1

flash_point_f

Not applicable

flash_point_c

Not applicable

法规信息

低风险生物材料
常规特殊物品
常规特殊物品

此项目有



历史批次信息供参考:

分析证书(COA)

Lot/Batch Number

没有发现合适的版本?

如果您需要特殊版本,可通过批号或批次号查找具体证书。

已有该产品?

在文件库中查找您最近购买产品的文档。

访问文档库



Mengjie Ma et al.
Cells, 11(9) (2022-05-15)
ASH2L and DPY30 are important for the assembly and catalytic activity of the complex associated with SET1 (COMPASS), which catalyzes histone methylation and regulates gene expression. However, the regulations among COMPASS components are not fully understood. Here, we leveraged a



全球贸易项目编号

货号GTIN
HPA043761-100UL04061837130519
HPA043761-25UL04061841021797