biological source
rabbit
Quality Level
conjugate
unconjugated
antibody form
affinity isolated antibody
antibody product type
primary antibodies
clone
polyclonal
product line
Prestige Antibodies® Powered by Atlas Antibodies
form
buffered aqueous glycerol solution
species reactivity
human
technique(s)
immunoblotting: 0.04-0.4 μg/mL, immunofluorescence: 0.25-2 μg/mL, immunohistochemistry: 1:50-1:200
immunogen sequence
SAKELRCQCIKTYSKPFHPKFIKELRVIESGPHCANTEIIVKLSDGRELCLDPKENWVQRVVEKF
shipped in
wet ice
storage temp.
−20°C
target post-translational modification
unmodified
Gene Information
human ... IL8(3576)
General description
Interleukin-8 (IL-8) is a proinflammatory CXC chemokine that can signal through the C-X-C motif chemokine receptors 1 and 2 (CXCR1 and 2). It is also called as C-X-C motif chemokine ligand 8 (CXCL8). IL-8 is secreted by monocytes and endothelial cells. The gene encoding Il-8 is localized on human chromosome 4q13.3.
Immunogen
chemokine (C-X-C motif) ligand 8
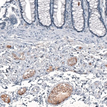
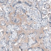
Application
All Prestige Antibodies Powered by Atlas Antibodies are developed and validated by the Human Protein Atlas (HPA) project and as a result, are supported by the most extensive characterization in the industry.
The Human Protein Atlas project can be subdivided into three efforts: Human Tissue Atlas, Cancer Atlas, and Human Cell Atlas. The antibodies that have been generated in support of the Tissue and Cancer Atlas projects have been tested by immunohistochemistry against hundreds of normal and disease tissues and through the recent efforts of the Human Cell Atlas project, many have been characterized by immunofluorescence to map the human proteome not only at the tissue level but now at the subcellular level. These images and the collection of this vast data set can be viewed on the Human Protein Atlas (HPA) site by clicking on the Image Gallery link. We also provide Prestige Antibodies® protocols and other useful information.
The Human Protein Atlas project can be subdivided into three efforts: Human Tissue Atlas, Cancer Atlas, and Human Cell Atlas. The antibodies that have been generated in support of the Tissue and Cancer Atlas projects have been tested by immunohistochemistry against hundreds of normal and disease tissues and through the recent efforts of the Human Cell Atlas project, many have been characterized by immunofluorescence to map the human proteome not only at the tissue level but now at the subcellular level. These images and the collection of this vast data set can be viewed on the Human Protein Atlas (HPA) site by clicking on the Image Gallery link. We also provide Prestige Antibodies® protocols and other useful information.
Biochem/physiol Actions
Interleukin-8 (IL-8) chemoattracts and activates neutrophils. It is involved in guiding neutrophils and oligodendrocytes to sites of infection. The protein also stimulates angiogenesis and tumor growth. It is also associated with inflammatory diseases.
Features and Benefits
Prestige Antibodies® are highly characterized and extensively validated antibodies with the added benefit of all available characterization data for each target being accessible via the Human Protein Atlas portal linked just below the product name at the top of this page. The uniqueness and low cross-reactivity of the Prestige Antibodies® to other proteins are due to a thorough selection of antigen regions, affinity purification, and stringent selection. Prestige antigen controls are available for every corresponding Prestige Antibody and can be found in the linkage section.
Every Prestige Antibody is tested in the following ways:
Every Prestige Antibody is tested in the following ways:
- IHC tissue array of 44 normal human tissues and 20 of the most common cancer type tissues.
- Protein array of 364 human recombinant protein fragments.
Physical form
Solution in phosphate buffered saline, pH 7.2, containing 40% glycerol and 0.02% sodium azide.
Other Notes
Corresponding Antigen APREST77906
Legal Information
Prestige Antibodies is a registered trademark of Merck KGaA, Darmstadt, Germany
Disclaimer
Unless otherwise stated in our catalog or other company documentation accompanying the product(s), our products are intended for research use only and are not to be used for any other purpose, which includes but is not limited to, unauthorized commercial uses, in vitro diagnostic uses, ex vivo or in vivo therapeutic uses or any type of consumption or application to humans or animals.
Still not finding the right product?
试用我们的 产品选型工具 工具缩小选择范围
存储类别
10 - Combustible liquids
wgk
WGK 1
flash_point_f
Not applicable
flash_point_c
Not applicable
法规信息
低风险生物材料
常规特殊物品
此项目有
Mingjie Zhang et al.
Journal of interferon & cytokine research : the official journal of the International Society for Interferon and Cytokine Research, 38(9), 413-422 (2018-09-08)
Interferon gamma (IFN-γ) is a dimeric soluble cytokine and the only type II interferon. Accumulated evidence suggests that IFN-γ inhibits tumor progression. This study investigated the effects of IFN-γ on the proliferation and migration of pancreatic cancer (PC) cells and
Jimmy Alarcan et al.
Chemosphere, 228, 139-148 (2019-04-29)
Lipophilic phycotoxins are secondary metabolites produced by phytoplanktonic species. They accumulate in filtering shellfish and can cause human intoxications. Humans can be exposed to combinations of several phycotoxins. The toxicological effects of phycotoxin mixtures on human health are largely unknown.
Yoshitaka Sato et al.
Oncotarget, 8(24), 39345-39355 (2017-04-30)
Epstein-Barr virus (EBV) latently infects malignant epithelial cells in approximately 10% of all gastric cancers. Latent membrane protein 1 (LMP1), an oncogenic protein, plays an important role in malignant transformation in EBV-associated nasopharyngeal carcinoma and B-cell lymphoma; however, its expression
全球贸易项目编号
| 货号 | GTIN |
|---|---|
| HPA057179-100UL | 04061836365264 |
| HPA057179-25UL | 04061841157861 |