biological source
rabbit
Quality Level
conjugate
unconjugated
antibody form
affinity isolated antibody
antibody product type
primary antibodies
clone
polyclonal
product line
Prestige Antibodies® Powered by Atlas Antibodies
form
buffered aqueous glycerol solution
species reactivity
human
technique(s)
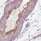
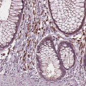
immunohistochemistry: 1:200- 1:500
immunogen sequence
PVGSLSSDKELTRPNETTIHTAGHSLAAGPEAGENQKQPEKNAGPTARTSA
UniProt accession no.
shipped in
wet ice
storage temp.
−20°C
target post-translational modification
unmodified
Gene Information
human ... CXCL16(58191)
General description
C-X-C motif chemokine ligand 16 (CXCL16) is encoded by the gene mapped to human chromosome 17p13.2. The encoded protein is expressed in both transmembrane and soluble forms. CXCL16 belongs to the CXC chemokine family. CXCL16 is characterized with a chemokine domain followed by a glycosylated mucin-like stalk, a single transmembrane helix and an intracellular tail.
Immunogen
chemokine (C-X-C motif) ligand 16
Application
All Prestige Antibodies Powered by Atlas Antibodies are developed and validated by the Human Protein Atlas (HPA) project and as a result, are supported by the most extensive characterization in the industry.
The Human Protein Atlas project can be subdivided into three efforts: Human Tissue Atlas, Cancer Atlas, and Human Cell Atlas. The antibodies that have been generated in support of the Tissue and Cancer Atlas projects have been tested by immunohistochemistry against hundreds of normal and disease tissues and through the recent efforts of the Human Cell Atlas project, many have been characterized by immunofluorescence to map the human proteome not only at the tissue level but now at the subcellular level. These images and the collection of this vast data set can be viewed on the Human Protein Atlas (HPA) site by clicking on the Image Gallery link. We also provide Prestige Antibodies® protocols and other useful information.
The Human Protein Atlas project can be subdivided into three efforts: Human Tissue Atlas, Cancer Atlas, and Human Cell Atlas. The antibodies that have been generated in support of the Tissue and Cancer Atlas projects have been tested by immunohistochemistry against hundreds of normal and disease tissues and through the recent efforts of the Human Cell Atlas project, many have been characterized by immunofluorescence to map the human proteome not only at the tissue level but now at the subcellular level. These images and the collection of this vast data set can be viewed on the Human Protein Atlas (HPA) site by clicking on the Image Gallery link. We also provide Prestige Antibodies® protocols and other useful information.
Biochem/physiol Actions
C-X-C motif chemokine ligand 16 (CXCL16) expressed on transmembranes, facilitates lipid metabolism by acting as a scavenger receptor for oxidized low-density lipoprotein (oxLDL) uptake. Soluble form of CXCL16 acts as an attractant and adhesion molecule for CXCR6-expressing T cells, involved in the pathogenesis of atherosclerosis. CXCL16 expression is involved in the development of vascular, kidney and lung injury. Mutation in the gene increases the risk of susceptibility to myocardial infarction (MI). High levels of plasma CXCL16 has been observed in diabetic kidney disease patients.
Features and Benefits
Prestige Antibodies® are highly characterized and extensively validated antibodies with the added benefit of all available characterization data for each target being accessible via the Human Protein Atlas portal linked just below the product name at the top of this page. The uniqueness and low cross-reactivity of the Prestige Antibodies® to other proteins are due to a thorough selection of antigen regions, affinity purification, and stringent selection. Prestige antigen controls are available for every corresponding Prestige Antibody and can be found in the linkage section.
Every Prestige Antibody is tested in the following ways:
Every Prestige Antibody is tested in the following ways:
- IHC tissue array of 44 normal human tissues and 20 of the most common cancer type tissues.
- Protein array of 364 human recombinant protein fragments.
Physical form
Solution in phosphate buffered saline, pH 7.2, containing 40% glycerol and 0.02% sodium azide.
Other Notes
Corresponding Antigen APREST88180
Legal Information
Prestige Antibodies is a registered trademark of Merck KGaA, Darmstadt, Germany
Disclaimer
Unless otherwise stated in our catalog or other company documentation accompanying the product(s), our products are intended for research use only and are not to be used for any other purpose, which includes but is not limited to, unauthorized commercial uses, in vitro diagnostic uses, ex vivo or in vivo therapeutic uses or any type of consumption or application to humans or animals.
存储类别
10 - Combustible liquids
wgk
WGK 1
flash_point_f
Not applicable
flash_point_c
Not applicable
法规信息
新产品
此项目有
?Inverse signaling? of the transmembrane chemokine CXCL16 contributes to proliferative and anti-apoptotic effects in cultured human meningioma cells
Hattermann K, et al.
Cell communication and signaling : CCS, 14(1), 26-26 (2016)
The Impact of tagSNPs in CXCL16 Gene on the Risk of Myocardial Infarction in a Chinese Han Population
Xu S, et al.
Disease Markers (2017)
Circulating CXCL16 in Diabetic Kidney Disease.
Elewa U, et al.
Kidney & Blood Pressure Research, 41(5), 663-671 (2016)
全球贸易项目编号
| 货号 | GTIN |
|---|---|
| HPA066315-100UL | 04061837046810 |
| HPA066315-25UL | 04061841194149 |