跳转至内容
Merck
CN

K3513

Anti-KIF3A antibody produced in rabbit

IgG fraction of antiserum, buffered aqueous solution

别名:

Anti-FLA10, Anti-KLP-20

登录 查看组织和合同定价。

选择尺寸

变更视图

关于此项目

UNSPSC Code:
12352203
NACRES:
NA.46
MDL number:
Conjugate:
unconjugated
Clone:
polyclonal
Application:
ARR, IHC, WB
Citations:
17
技术服务
需要帮助?我们经验丰富的科学家团队随时乐意为您服务。
让我们为您提供帮助


biological source

rabbit

Quality Level

conjugate

unconjugated

antibody form

IgG fraction of antiserum

antibody product type

primary antibodies

clone

polyclonal

form

buffered aqueous solution

species reactivity

rat, mouse, human

packaging

antibody small pack of 25 μL

technique(s)

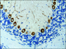
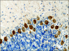
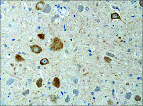
immunohistochemistry: suitable using suitable for IHC on rat brain perfused with 4% paraformaldehyde, microarray: suitable, western blot: 1:2,000 using rat brain homogenate and whole cell extract of rat pheochromocytoma PC12 cell line.

UniProt accession no.

shipped in

dry ice

storage temp.

−20°C

target post-translational modification

unmodified

Gene Information

human ... KIF3A(11127)
mouse ... Kif3a(16568)
rat ... Kif3a(84392)

General description

KIF3A/B is abundantly expressed in neuronal tissue and ubiquitously expressed in other tissues in lower amounts.
The gene KIF3A (kinesin family member 3A) is mapped to human chromosome 5q31.1. The gene encodes a subunit of heterotrimeric kinesin-2, which is a canonical plus-oriented anterograde IFT (intraflagellar transport) motor.

Immunogen

synthetic peptide corresponding to the C-terminus of mouse KIF3A (amino acids 682-701) conjugated to KLH.

Application

Anti-KIF3A antibody produced in rabbit has been used in immunohistochemistry and immunofluorescence.
Anti-KIF3A antibody produced in rabbit has been used in:
  • immunoblotting
  • immunohistochemical detection of kinesin family member 3A (KIF3A)

Biochem/physiol Actions

The gene KIF3A (kinesin family member 3A) encodes a motor subunit of kinesin-2, a protein that functions in the formation and mechanism of cilia. The chromosomal region to which the gene is mapped is linked to immune diseases, such as asthma.
The kinesin superfamily (KIFs) of proteins consists of a class of microtubule-dependent motors that plays a major role in many cellular and developmental functions, including organelle transport, mitosis, meiosis, and possibly long-range signaling in neurons. KIF3 plays a crucial role during development. KIF3A-/- and KIF3B-/- mice do not survive beyond mid-gestation. Embryos lacking KIF3A and KIF3B display randomization of left-right asymmetry and numerous morphological abnormalities. The KIF3A/B heterodimer exhibits a plus end-directed microtubule sliding activity.

Physical form

Solution in 0.01 M phosphate buffered saline, pH 7.4, containing 15 mM sodium azide.

Disclaimer

Unless otherwise stated in our catalog or other company documentation accompanying the product(s), our products are intended for research use only and are not to be used for any other purpose, which includes but is not limited to, unauthorized commercial uses, in vitro diagnostic uses, ex vivo or in vivo therapeutic uses or any type of consumption or application to humans or animals.


Still not finding the right product?

试用我们的 产品选型工具 工具缩小选择范围


存储类别

10 - Combustible liquids

wgk

WGK 2

flash_point_f

Not applicable

flash_point_c

Not applicable

法规信息

低风险生物材料
常规特殊物品

此项目有



历史批次信息供参考:

分析证书(COA)

Lot/Batch Number

没有发现合适的版本?

如果您需要特殊版本,可通过批号或批次号查找具体证书。

已有该产品?

在文件库中查找您最近购买产品的文档。

访问文档库


相关内容


Kinesin family 17 (osmotic avoidance abnormal-3) is dispensable for photoreceptor morphology and function
Jiang L, et al.
Faseb Journal (2015)
Investigating primary cilia in cultured metanephric mesenchymal cells.
Chi L and Rosenblum N
Methods in Molecular Biology, 886, 157-163 (2012)
Gene Expression Differences Predict Treatment Outcome of Merkel Cell Carcinoma Patients
Masterson L, et al.
Journal of Skin Cancer, 2014 (2014)



全球贸易项目编号

货号GTIN
K3513-200UL04061838105936