跳转至内容
Merck
CN

P0483

Anti-Potassium Channel SK2 antibody produced in rabbit

affinity isolated antibody, lyophilized powder

别名:

Apamin-Sensitive Conductance Ca2+-Dependent K+ Channel, KCa2, Kcnn2, SKCa2

登录 查看组织和合同定价。

选择尺寸

变更视图

关于此项目

UNSPSC Code:
12352203
NACRES:
NA.41
MDL number:
Conjugate:
unconjugated
Clone:
polyclonal
Application:
WB CL
Citations:
21
技术服务
需要帮助?我们经验丰富的科学家团队随时乐意为您服务。
让我们为您提供帮助


biological source

rabbit

Quality Level

conjugate

unconjugated

antibody form

affinity isolated antibody

antibody product type

primary antibodies

clone

polyclonal

form

lyophilized powder

species reactivity

human, rat

technique(s)

western blot (chemiluminescent): 1:200 using rat brain membranes

UniProt accession no.

storage temp.

−20°C

target post-translational modification

unmodified

Gene Information

rat ... Kcnn2(54262)

General description

Potassium calcium-activated channel subfamily N member 2 (KCNN2) or SK2 is expressed in rat Purkinje cells. The gene encoding this protein is localized on rat chromosome 18q11.

Immunogen

synthetic peptide corresponding to amino acids 542-559 of rat potassium channel SK2.

Application

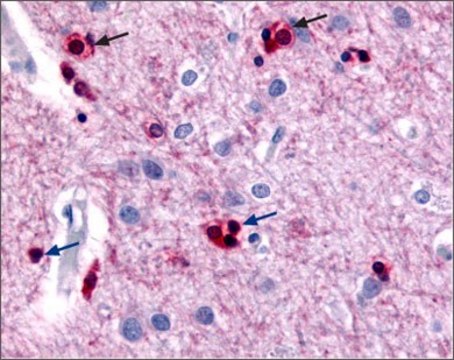
Anti-Potassium Channel SK2 (Apamin-Sensitive Conductance Ca2+-Dependent K+ Channel, KCa2, Kcnn2, SKCa2) antibody produced in rabbit has been used for immunohistochemistry and immunofluorescence.

Biochem/physiol Actions

Potassium calcium-activated channel subfamily N member 2 (KCNN2) or SK2 has a role in the modulation of intrinsic excitability of neurons and Purkinje cells. It also has a role in synaptic transmission and plasticity. SK2 promotes hippocampus-dependent learning and memory in the mammalian brain.

Physical form

Lyophilized at 0.3-1.4 mg/mL from phosphate buffered saline, pH 7.4, containing 1% bovine serum albumin and 0.025% - 0.050% sodium azide.

Disclaimer

Unless otherwise stated in our catalog or other company documentation accompanying the product(s), our products are intended for research use only and are not to be used for any other purpose, which includes but is not limited to, unauthorized commercial uses, in vitro diagnostic uses, ex vivo or in vivo therapeutic uses or any type of consumption or application to humans or animals.


Still not finding the right product?

试用我们的 产品选型工具 工具缩小选择范围


存储类别

11 - Combustible Solids

flash_point_f

Not applicable

flash_point_c

Not applicable

wgk

WGK 1

法规信息

低风险生物材料
常规特殊物品

此项目有



历史批次信息供参考:

分析证书(COA)

Lot/Batch Number

没有发现合适的版本?

如果您需要特殊版本,可通过批号或批次号查找具体证书。

已有该产品?

在文件库中查找您最近购买产品的文档。

访问文档库


相关内容


Low-Level Vagus Nerve Stimulation Upregulates Small Conductance Calcium Activated Potassium Channels in the Stellate Ganglion
Mark J. Shen
Heart Rhythm : the Official Journal of the Heart Rhythm Society (2013)
SK2 channel expression and function in cerebellar Purkinje cells
Eric Hosy
The Journal of Physiology (2011)
Mark J Shen et al.
Heart rhythm, 10(6), 910-915 (2013-01-30)
Small conductance calcium-activated potassium (SK) channels are responsible for afterhyperpolarization that suppresses nerve discharges. To test the hypothesis that low-level vagus nerve stimulation (LL-VNS) leads to the upregulation of SK2 proteins in the left stellate ganglion. Six dogs (group 1)



全球贸易项目编号

货号GTIN
P0483-.2ML04061837813450