跳转至内容
Merck
CN

PLA0083

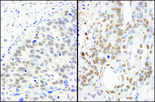
Rabbit anti-FUS Antibody, Affinity Purified

Powered by Bethyl Laboratories, Inc.

别名:

75 kDa DNA-pairing protein, ALS6, ETM4, FUS1, HNRNPP2, POMP75, TLS, amyotrophic lateral sclerosis 6, derived from t(12;16) malignant liposarcoma, fus-like protein, fused in sarcoma, fusion, fusion (involved in t(12;16) in malignant liposarcoma), fusion gene in myxoid liposarcoma, heterogeneous nuclear ribonucleoprotein P2, hnRNP-P2, oncogene FUS, oncogene TLS, translocated in liposarcoma, translocated in liposarcoma protein

登录 查看组织和合同定价。

选择尺寸

变更视图

关于此项目

NACRES:
NA.41
UNSPSC Code:
12352203
Conjugate:
unconjugated
Clone:
polyclonal
Application:
IHC, IP, WB
Citations:
-
技术服务
需要帮助?我们经验丰富的科学家团队随时乐意为您服务。
让我们为您提供帮助


biological source

rabbit

Quality Level

conjugate

unconjugated

antibody form

affinity purified immunoglobulin

antibody product type

primary antibodies

clone

polyclonal

species reactivity

mouse, human

technique(s)

immunohistochemistry: 1:1,000-1:5,000, immunoprecipitation (IP): 2-10 μg/mg, western blot: 1:2,000-1:10,000

accession no.

P35637

UniProt accession no.

shipped in

wet ice

storage temp.

2-8°C

target post-translational modification

unmodified

Gene Information

rabbit ... FUS(2521)

Immunogen

The epitope recognized by PLA0083 maps to a region between residues 400 and 450 of human fusion (involved in t(12;16) in malignant liposarcoma) using the numbering given in SwissProt entry P35637 (GeneID 2521).

Physical form

Tris-citrate/phosphate buffer, pH 7 to 8 containing 0.09% Sodium Azide

Other Notes

FUS has been identified as a frequent translocation fusion partner of various transcription factors. FUS fusion genes have been shown to be associated with multiple tumor types which include liposarcoma, leukemia, histocytoma, and sarcoma. FUS is a multifunctional RNA-binding protein that associates with the nuclear matrix and Cajal bodies and appears to play a role in splicesome assembly, pre-mRNA splicing, DNA repair, transcriptional regulation and homologous recombination.

Disclaimer

Unless otherwise stated in our catalog or other company documentation accompanying the product(s), our products are intended for research use only and are not to be used for any other purpose, which includes but is not limited to, unauthorized commercial uses, in vitro diagnostic uses, ex vivo or in vivo therapeutic uses or any type of consumption or application to humans or animals.


Still not finding the right product?

试用我们的 产品选型工具 工具缩小选择范围


存储类别

12 - Non Combustible Liquids

wgk

nwg

flash_point_f

Not applicable

flash_point_c

Not applicable

法规信息

新产品

此项目有



历史批次信息供参考:

分析证书(COA)

Lot/Batch Number

It looks like we've run into a problem, but you can still download Certificates of Analysis from our 文件 section.

如需帮助,请联系 客户支持

已有该产品?

在文件库中查找您最近购买产品的文档。

访问文档库



全球贸易项目编号

货号GTIN
PLA0083-100UL04061837717307