biological source
rabbit
Quality Level
conjugate
unconjugated
antibody form
affinity purified immunoglobulin
antibody product type
primary antibodies
clone
polyclonal
species reactivity
human, mouse
concentration
0.2 mg/mL
technique(s)
immunohistochemistry: 1:500- 1:2,000, immunoprecipitation (IP): 2-5 μg/mg, western blot: 1:1,000- 1:10,000
accession no.
Q13289
UniProt accession no.
shipped in
wet ice
storage temp.
2-8°C
target post-translational modification
unmodified
Gene Information
rabbit ... DDB1(1642)
Immunogen
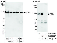
The epitope recognized by PLA0108 maps to a region between residue 1100 and the C-terminus (residue 1140) of human damage-specific DNA binding protein 1 using the numbering given in TrEMBL entry Q13289 (GeneID 1642).
Physical form
Tris-buffered Saline containing 0.1% BSA containing 0.09% Sodium Azide
Other Notes
DDB1 (DNA Damage Binding Protein 1) is a subunit of the DNA damage-binding protein complex (DDB) involved in DNA repair. As part of a complex with Cul4-based ubiquitin ligase, Cul4-Ddb1 can directly modify chromatin through the ubiquitination of histones as well as ubiquitinate other chromatin bound factors. A deficiency in Cul4-Ddb1 ubiquitin ligase has been associated with xeroderma pigmentosum, a heritable disease characterized by defects in nucleotide excision repair and skin cancer development.
Disclaimer
Unless otherwise stated in our catalog or other company documentation accompanying the product(s), our products are intended for research use only and are not to be used for any other purpose, which includes but is not limited to, unauthorized commercial uses, in vitro diagnostic uses, ex vivo or in vivo therapeutic uses or any type of consumption or application to humans or animals.
Still not finding the right product?
试用我们的 产品选型工具 工具缩小选择范围
存储类别
12 - Non Combustible Liquids
wgk
WGK 1
flash_point_f
Not applicable
flash_point_c
Not applicable
法规信息
低风险生物材料
常规特殊物品
此项目有
全球贸易项目编号
| 货号 | GTIN |
|---|---|
| PLA0108-100UL | 04061837722196 |