跳转至内容
Merck
CN

PLA0307

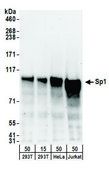
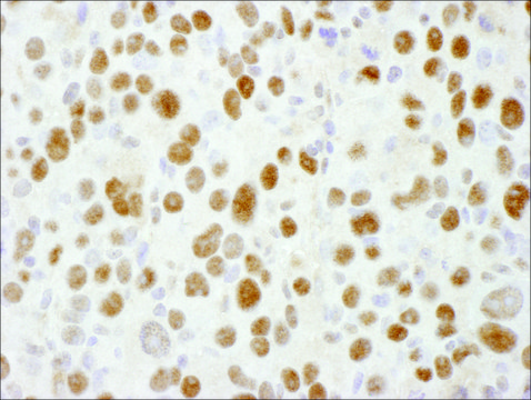
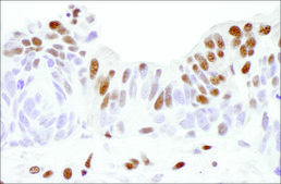
Goat anti-Sp1 Antibody, Affinity Purified

Powered by Bethyl Laboratories, Inc.

别名:

specificity protein 1

登录 查看组织和合同定价。

选择尺寸

变更视图

关于此项目

NACRES:
NA.41
UNSPSC Code:
12352203
Conjugate:
unconjugated
Clone:
polyclonal
Application:
IHC, IP, WB
Citations:
7
技术服务
需要帮助?我们经验丰富的科学家团队随时乐意为您服务。
让我们为您提供帮助


biological source

goat

Quality Level

conjugate

unconjugated

antibody form

affinity purified immunoglobulin

antibody product type

primary antibodies

clone

polyclonal

species reactivity

mouse, human

concentration

1 mg/mL

technique(s)

immunohistochemistry: 1:1,000-1:5,000, immunoprecipitation (IP): 2- 10 μg/mg, western blot: 1:2,000- 1:10,000

accession no.

NP_612482.2

UniProt accession no.

shipped in

wet ice

storage temp.

2-8°C

target post-translational modification

unmodified

Gene Information

goat ... Sp1(6667)

Immunogen

The epitope recognized by PLA0307 maps to a region between residue 735 to 785 of human Sp1 Transcription Factor using the numbering given in entry NP_612482.2 (GeneID 6667).

Physical form

Tris-citrate/phosphate buffer, pH 7 to 8 containing 0.09% Sodium Azide

Other Notes

Specificity protein 1 (Sp1) is the original member of the Sp1-like/KLF family of zinc-finger transcription factors that binds GC-rich DNA elements to regulate transcription of genes involved in a variety of cellular functions. Sp-1 interacts with coactivators such as p300/CBP, TAFII130, and CRSP.

Disclaimer

Unless otherwise stated in our catalog or other company documentation accompanying the product(s), our products are intended for research use only and are not to be used for any other purpose, which includes but is not limited to, unauthorized commercial uses, in vitro diagnostic uses, ex vivo or in vivo therapeutic uses or any type of consumption or application to humans or animals.


Still not finding the right product?

试用我们的 产品选型工具 工具缩小选择范围


存储类别

12 - Non Combustible Liquids

wgk

nwg

flash_point_f

Not applicable

flash_point_c

Not applicable

法规信息

新产品

此项目有



历史批次信息供参考:

分析证书(COA)

Lot/Batch Number

It looks like we've run into a problem, but you can still download Certificates of Analysis from our 文件 section.

如需帮助,请联系 客户支持

已有该产品?

在文件库中查找您最近购买产品的文档。

访问文档库



Carolina Vizcaíno et al.
PloS one, 9(8), e104687-e104687 (2014-08-12)
Ovarian cancer has a poor prognosis due to intrinsic or acquired resistance to some cytotoxic drugs, raising the interest in new DNA-binding agents such as mithramycin analogues as potential chemotherapeutic agents in gynecological cancer. Using a genome-wide approach, we have
Deepti Malik et al.
Molecular cancer, 13, 175-175 (2014-07-20)
microRNAs (miRNAs) play both oncogenic and oncostatic roles in leukemia. However, the molecular details underlying miRNA-mediated regulation of their target genes in pediatric B- and T-cell acute lymphoblastic leukemias (ALLs) remain unclear. The present study investigated the relationship between miR-2909
Luigi Formisano et al.
Journal of neuroscience research, 93(1), 167-177 (2014-08-06)
Polychlorinated biphenyls (PCBs) cause a wide spectrum of toxic effects in the brain through undefined mechanisms. Exposure to the PCB mixture Aroclor-1254 (A1254) increases the repressor element-1 silencing transcription factor (REST) expression, leading to neuronal death. This study sought to



全球贸易项目编号

货号GTIN
PLA0307-100UL04061837724138