跳转至内容
Merck
CN

PRS3331

Anti-XIAP antibody produced in rabbit

affinity isolated antibody, buffered aqueous solution

别名:

Anti-X-linked inhibitor of apoptosis

登录 查看组织和合同定价。

选择尺寸

变更视图

关于此项目

UNSPSC Code:
12352203
NACRES:
NA.41
MDL number:
Conjugate:
unconjugated
Clone:
polyclonal
Application:
ELISA (i), IF, IHC, WB
Citations:
9
技术服务
需要帮助?我们经验丰富的科学家团队随时乐意为您服务。
让我们为您提供帮助


biological source

rabbit

Quality Level

conjugate

unconjugated

antibody form

affinity isolated antibody

antibody product type

primary antibodies

clone

polyclonal

form

buffered aqueous solution

mol wt

predicted mol wt 55 kDa

species reactivity

mouse, human

technique(s)

immunofluorescence: suitable, immunohistochemistry: suitable, indirect ELISA: suitable, western blot: suitable

UniProt accession no.

shipped in

dry ice

storage temp.

−20°C

target post-translational modification

unmodified

Gene Information

human ... XIAP(331)

General description

XIAP (X-linked inhibitor of apoptosis protein) belongs to the inhibitor of apoptosis (IAP) family. It is located on chromosome Xq25.

Immunogen

a synthetic peptide corresponding to 13 amino acids at the C-terminus of human XIAP.

Application

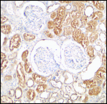
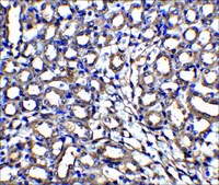
Anti-XIAP has been used in immunohistochemistry {16,17}.

Biochem/physiol Actions

XIAP (X-linked inhibitor of apoptosis protein) modulates several cellular processes like TGF-β (transforming growth factor β) signaling, NF-κB (nuclear factor-κB) pathway, autophagy and inflammatory responses. XIAP mutations are associated with X-linked lymphoproliferative syndrome type 2 (XLP-2).

Physical form

Solution in phosphate buffered saline containing 0.02% sodium azide

Other Notes

The action of this antibody can be blocked using blocking peptide SBP3331.

Disclaimer

Unless otherwise stated in our catalog or other company documentation accompanying the product(s), our products are intended for research use only and are not to be used for any other purpose, which includes but is not limited to, unauthorized commercial uses, in vitro diagnostic uses, ex vivo or in vivo therapeutic uses or any type of consumption or application to humans or animals.


Still not finding the right product?

Explore all of our products under

或者

试用我们的 产品选型工具 工具缩小选择范围


存储类别

10 - Combustible liquids

wgk

WGK 2

flash_point_f

Not applicable

flash_point_c

Not applicable

法规信息

低风险生物材料
常规特殊物品

此项目有



历史批次信息供参考:

分析证书(COA)

Lot/Batch Number

没有发现合适的版本?

如果您需要特殊版本,可通过批号或批次号查找具体证书。

已有该产品?

在文件库中查找您最近购买产品的文档。

访问文档库



Distinct 5' UTRs regulate XIAP expression under normal growth conditions and during cellular stress
Riley A, et al.
Nucleic Acids Research, 38(14), 4665-4674 (2010)
Acute administration of ucf-101 ameliorates the locomotor impairments induced by a traumatic spinal cord injury
Reigada D, et al.
Neuroscience, 300, 404-417 (2015)
Chao Chen et al.
Oncology letters, 15(1), 821-832 (2018-02-07)
The X-linked inhibitor of apoptosis protein (XIAP) is the best characterized member of the IAP family and is a potent inhibitor of the caspase/apoptosis pathway. It has also been revealed that XIAP has additional biological functions that rely on its



全球贸易项目编号

货号GTIN
PRS3331-100UG04061832178738