跳转至内容
Merck
CN

PRS3335

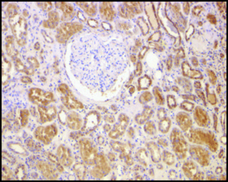
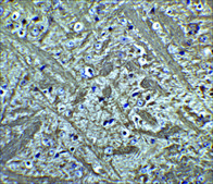
Anti-Bcl-2 (ab1) antibody produced in rabbit

affinity isolated antibody, buffered aqueous solution

别名:

Anti-B-cell CLL/lymphoma 2

登录 查看组织和合同定价。

选择尺寸

变更视图

关于此项目

UNSPSC Code:
12352203
NACRES:
NA.41
MDL number:
Conjugate:
unconjugated
Clone:
polyclonal
Application:
ELISA (i), IF, IHC, WB
Citations:
26
技术服务
需要帮助?我们经验丰富的科学家团队随时乐意为您服务。
让我们为您提供帮助


biological source

rabbit

Quality Level

conjugate

unconjugated

antibody form

affinity isolated antibody

antibody product type

primary antibodies

clone

polyclonal

form

buffered aqueous solution

species reactivity

human, mouse

technique(s)

immunofluorescence: suitable, immunohistochemistry: suitable, indirect ELISA: suitable, western blot: suitable

UniProt accession no.

shipped in

dry ice

storage temp.

−20°C

target post-translational modification

unmodified

Gene Information

human ... BCL2(596)

General description

B-cell lymphoma 2 (BCL2), a proto-oncogene is made of three exons. It is widely expressed in immature B-cells and memory B cells. BCL2 is found at high levels in the thymus, spleen, and lymph nodes. BCL2 gene is mapped to human chromosome 18q21.33.

Immunogen

a peptide corresponding to 15 amino acids near the N-terminus of human Bcl-2.

Application

Anti-Bcl-2 (ab1) antibody produced in rabbit has been used in western blotting (1:100) (1:1000), immunohistochemistry (1:50), immunoprecipitation (IP) (1:1000)

Biochem/physiol Actions

B-cell lymphoma 2 (BCL2) plays a key role in maintaining the integrity of the mitochondrial membrane. It blocks the release of cytochrome C and its binding to apoptosis activating factor-1 (APAF1). BCL2 family proteins participate in modulating cell death. It also regulates apoptosis, necrosis, and autophagy. Upregulation of BCL2 is seen in several human cancers. Overexpression of BCL2 is observed in chronic lymphocytic leukemia (CLL), marginal cell lymphoma, and mantle cell lymphoma.

Physical form

Solution in phosphate buffered saline containing 0.02% sodium azide

Other Notes

The action of this antibody can be blocked using blocking peptide SBP3335.

Disclaimer

Unless otherwise stated in our catalog or other company documentation accompanying the product(s), our products are intended for research use only and are not to be used for any other purpose, which includes but is not limited to, unauthorized commercial uses, in vitro diagnostic uses, ex vivo or in vivo therapeutic uses or any type of consumption or application to humans or animals.


Still not finding the right product?

试用我们的 产品选型工具 工具缩小选择范围


存储类别

10 - Combustible liquids

wgk

WGK 2

flash_point_f

Not applicable

flash_point_c

Not applicable

法规信息

低风险生物材料
常规特殊物品

此项目有



历史批次信息供参考:

分析证书(COA)

Lot/Batch Number

没有发现合适的版本?

如果您需要特殊版本,可通过批号或批次号查找具体证书。

已有该产品?

在文件库中查找您最近购买产品的文档。

访问文档库



Yudi Han et al.
International journal of molecular medicine, 41(2), 800-808 (2017-12-06)
Autophagy may be a major mechanism by which osteoblasts (OBs) protect against the negative effects of chronic glucocorticoid (GC) usage. OBs are closely associated with the remodeling that occurs in GC‑induced osteoporosis (GIO). In osteocytes, in response to stress induced by GCs, several
Leilei Yu et al.
Experimental and therapeutic medicine, 12(4), 2275-2280 (2016-10-05)
Diabetes is a metabolic disease that results from impairment in insulin secretion. The present study aimed to investigate the potential role of NOM1 in the function of pancreatic islet β cells and insulin secretion. MIN6 cells isolated from mice were
Zhihai Yuan et al.
Journal of biochemical and molecular toxicology, 36(9), e23138-e23138 (2022-07-16)
Glioma is the foremost recurrent type of brain tumor in humans; in particular, glioblastoma (GBM) is the main form of brain tumor (GBM) that is highly proliferative and impervious to apoptosis. Triphlorethol-A (TA), a phlorotannin isolated from Ecklonia cava, exhibited cytoprotective, antioxidant, and anticancer properties. However



全球贸易项目编号

货号GTIN
SBP3335-0.05MG04061832180083
PRS3335-100UG04061832178745