跳转至内容
Merck
CN

SAB1302824

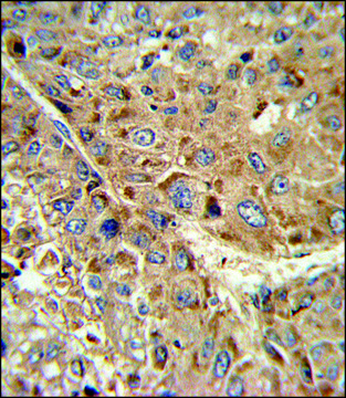
ANTI-GPX1 (C-TERM) antibody produced in rabbit

IgG fraction of antiserum, buffered aqueous solution

别名:

Cellular glutathione peroxidase, GPX1, GPx-1, GSHPx-1, Glutathione peroxidase 1

登录 查看组织和合同定价。

选择尺寸

变更视图

关于此项目

NACRES:
NA.41
UNSPSC Code:
12352203
Conjugate:
unconjugated
Clone:
polyclonal
Application:
FACS, IF, IHC, WB
Citations:
-
技术服务
需要帮助?我们经验丰富的科学家团队随时乐意为您服务。
让我们为您提供帮助


biological source

rabbit

Quality Level

conjugate

unconjugated

antibody form

IgG fraction of antiserum

antibody product type

primary antibodies

clone

polyclonal

form

buffered aqueous solution

mol wt

21946 Da

species reactivity

human, mouse

technique(s)

flow cytometry: 1:10-1:50, immunohistochemistry: 1:10-1:50, indirect immunofluorescence: 1:10-1:50, western blot: 1:1000

UniProt accession no.

shipped in

wet ice

storage temp.

−20°C

target post-translational modification

unmodified

Gene Information

human ... GPX1(2876)

Physical form

Purified polyclonal antibody supplied in PBS with 0.09% (W/V) sodium azide. This antibody is purified through a protein A column, followed by peptide affinity purification.

Disclaimer

Unless otherwise stated in our catalog or other company documentation accompanying the product(s), our products are intended for research use only and are not to be used for any other purpose, which includes but is not limited to, unauthorized commercial uses, in vitro diagnostic uses, ex vivo or in vivo therapeutic uses or any type of consumption or application to humans or animals.


Still not finding the right product?

试用我们的 产品选型工具 工具缩小选择范围


存储类别

10 - Combustible liquids

wgk

nwg

flash_point_f

Not applicable

flash_point_c

Not applicable

法规信息

常规特殊物品

此项目有



历史批次信息供参考:

分析证书(COA)

Lot/Batch Number

没有发现合适的版本?

如果您需要特殊版本,可通过批号或批次号查找具体证书。

已有该产品?

在文件库中查找您最近购买产品的文档。

访问文档库



全球贸易项目编号

货号GTIN
SAB1302824-400UL04061835592869