跳转至内容
Merck
CN

SAB2100872

Anti-GAA antibody produced in rabbit

affinity isolated antibody

别名:

Anti-Glucosidase, α; acid, Anti-LYAG

登录 查看组织和合同定价。

选择尺寸

变更视图

关于此项目

NACRES:
NA.41
UNSPSC Code:
12352203
Conjugate:
unconjugated
Clone:
polyclonal
Application:
IHC, WB
Citations:
1
技术服务
需要帮助?我们经验丰富的科学家团队随时乐意为您服务。
让我们为您提供帮助


biological source

rabbit

Quality Level

conjugate

unconjugated

antibody form

affinity isolated antibody

antibody product type

primary antibodies

clone

polyclonal

form

buffered aqueous solution

mol wt

98 kDa

species reactivity

dog, guinea pig, human, rat, mouse, bovine

concentration

0.5 mg - 1 mg/mL

technique(s)

immunohistochemistry: suitable, western blot: suitable

UniProt accession no.

shipped in

wet ice

storage temp.

−20°C

target post-translational modification

unmodified

Gene Information

human ... GAA(2548)

General description

Lysosomal alpha-glucosidase (GAA) is a glycoprotein that belongs to the glycoside hydrolase family GH31. It comprises a catalytic GH31 (β/α)8 barrel domain, trefoil type-P domain, an N-terminal β-sheet domain. The GAA gene is mapped to human chromosome location 17q25.3.

Immunogen

Synthetic peptide directed towards the N terminal region of human GAA

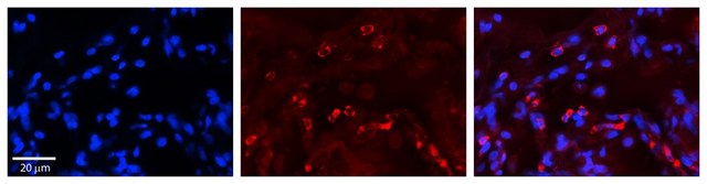
Application

Anti-GAA antibody produced in rabbit has been used western blotting (1:100)

Biochem/physiol Actions

GAA is acid alpha-glucosidase, which is essential for the degradation of glycogen to glucose in lysosomes. Different forms of acid alpha-glucosidase are obtained by proteolytic processing. Defects in this gene are the cause of glycogen storage disease II, also known as Pompe′s disease, which is an autosomal recessive disorder with a broad clinical spectrum. This gene encodes acid alpha-glucosidase, which is essential for the degradation of glycogen to glucose in lysosomes. Different forms of acid alpha-glucosidase are obtained by proteolytic processing. Defects in this gene are the cause of glycogen storage disease II, also known as Pompe′s disease, which is an autosomal recessive disorder with a broad clinical spectrum. Three transcript variants encoding the same protein have been found for this gene.

Physical form

Purified antibody supplied in 1x PBS buffer with 0.09% (w/v) sodium azide and 2% sucrose.

Other Notes

Synthetic peptide located within the following region: FGVIVRRQLDGRVLLNTTVAPLFFADQFLQLSTSLPSQYITGLAEHLSPL

Disclaimer

Unless otherwise stated in our catalog or other company documentation accompanying the product(s), our products are intended for research use only and are not to be used for any other purpose, which includes but is not limited to, unauthorized commercial uses, in vitro diagnostic uses, ex vivo or in vivo therapeutic uses or any type of consumption or application to humans or animals.


Still not finding the right product?

Explore all of our products under

或者

试用我们的 产品选型工具 工具缩小选择范围


存储类别

10 - Combustible liquids

wgk

WGK 3

flash_point_f

Not applicable

flash_point_c

Not applicable

法规信息

低风险生物材料
常规特殊物品

此项目有



历史批次信息供参考:

分析证书(COA)

Lot/Batch Number

没有发现合适的版本?

如果您需要特殊版本,可通过批号或批次号查找具体证书。

已有该产品?

在文件库中查找您最近购买产品的文档。

访问文档库



Francesco Chemello et al.
Cell reports, 26(13), 3784-3797 (2019-03-28)
Skeletal muscle is composed of different myofiber types that preferentially use glucose or lipids for ATP production. How fuel preference is regulated in these post-mitotic cells is largely unknown, making this issue a key question in the fields of muscle



全球贸易项目编号

货号GTIN
SAB2100872-100UL04061836138424