跳转至内容
Merck
CN

SAB2101306

Anti-KRT7 antibody produced in rabbit

affinity isolated antibody

别名:

Anti-CK7, K2C7, K7, MGC129731, MGC3625, SCL, Anti-Keratin 7

登录 查看组织和合同定价。

选择尺寸

变更视图

关于此项目

UNSPSC Code:
12352203
NACRES:
NA.41
MDL number:
Conjugate:
unconjugated
Clone:
polyclonal
Application:
IHC, WB
Citations:
2
技术服务
需要帮助?我们经验丰富的科学家团队随时乐意为您服务。
让我们为您提供帮助


biological source

rabbit

Quality Level

conjugate

unconjugated

antibody form

affinity isolated antibody

antibody product type

primary antibodies

clone

polyclonal

form

buffered aqueous solution

mol wt

52 kDa

species reactivity

human

concentration

0.5 mg - 1 mg/mL

technique(s)

immunohistochemistry: suitable, western blot: suitable

UniProt accession no.

shipped in

wet ice

storage temp.

−20°C

target post-translational modification

unmodified

Gene Information

human ... KRT7(3855)

Immunogen

Synthetic peptide directed towards the N terminal region of human KRT7

Physical form

Purified antibody supplied in 1x PBS buffer with 0.09% (w/v) sodium azide and 2% sucrose.

Other Notes

Synthetic peptide located within the following region: SIHFSSPVFTSRSAAFSGRGAQVRLSSARPGGLGSSSLYGLGASRPRVAV

Disclaimer

Unless otherwise stated in our catalog or other company documentation accompanying the product(s), our products are intended for research use only and are not to be used for any other purpose, which includes but is not limited to, unauthorized commercial uses, in vitro diagnostic uses, ex vivo or in vivo therapeutic uses or any type of consumption or application to humans or animals.


Still not finding the right product?

Explore all of our products under

或者

试用我们的 产品选型工具 工具缩小选择范围


存储类别

10 - Combustible liquids

wgk

WGK 3

flash_point_f

Not applicable

flash_point_c

Not applicable

法规信息

新产品

此项目有



历史批次信息供参考:

分析证书(COA)

Lot/Batch Number

没有发现合适的版本?

如果您需要特殊版本,可通过批号或批次号查找具体证书。

已有该产品?

在文件库中查找您最近购买产品的文档。

访问文档库



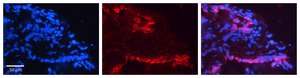
Kenji Yamada et al.
Pathology international, 64(1), 28-33 (2014-01-30)
To understand the pathogenesis of high-grade neuroendocrine carcinoma (HGNEC), we examined the histopathology and immunoreactivity against adenocarcinoma (AD), squamous cell carcinoma (SQ), and neuroendocrine markers in 34 cases with combined HGNEC. The 5 year overall survival rates of patients with
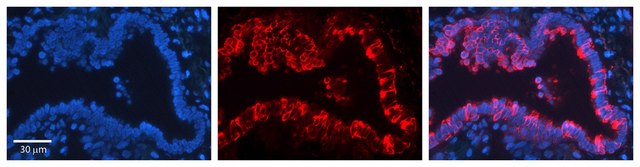
Gudrun Meinhardt et al.
Endocrinology, 155(5), 1908-1920 (2014-03-13)
Formation of migratory extravillous trophoblasts (EVTs) is critical for human placentation and hence embryonic development. However, key regulatory growth factors, hormones, and nuclear proteins controlling the particular differentiation process remain poorly understood. Here, the role of the Wingless (Wnt)-dependent transcription



全球贸易项目编号

货号GTIN
SAB2101306-100UL04061836142230