跳转至内容
Merck
CN

SAB2105147

Anti-SLC16A1 antibody produced in rabbit

affinity isolated antibody

别名:

Anti-FLJ36745, Anti-MCT, Anti-MCT1, Anti-MGC44475

登录 查看组织和合同定价。

选择尺寸

变更视图

关于此项目

UNSPSC Code:
12352203
NACRES:
NA.43
MDL number:
Conjugate:
unconjugated
Clone:
polyclonal
Application:
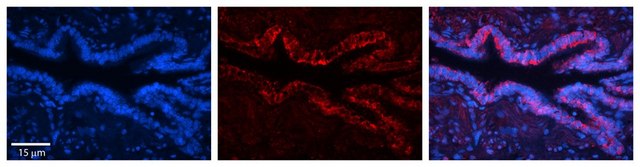
IHC, WB
Citations:
1
技术服务
需要帮助?我们经验丰富的科学家团队随时乐意为您服务。
让我们为您提供帮助


biological source

rabbit

Quality Level

conjugate

unconjugated

antibody form

affinity isolated antibody

antibody product type

primary antibodies

clone

polyclonal

form

buffered aqueous solution

mol wt

54 kDa

species reactivity

human

concentration

0.5 mg - 1 mg/mL

technique(s)

immunohistochemistry: suitable, western blot: suitable

NCBI accession no.

UniProt accession no.

shipped in

wet ice

storage temp.

−20°C

target post-translational modification

unmodified

Gene Information

human ... SLC16A1(6566)

Immunogen

Synthetic peptide directed towards the middle region of human SLC16A1

Biochem/physiol Actions

SLC16A1 is a monocarboxylate transporter (MCT1) that mediates the movement of lactate and pyruvate across cell membranes Import and export of these substrates by tissues such as erythrocytes, muscle, intestine, and kidney are ascribed largely to the actio

Physical form

Purified antibody supplied in 1x PBS buffer with 0.09% (w/v) sodium azide and 2% sucrose.

Other Notes

Synthetic peptide located within the following region: EKAGKSGVKKDLHDANTDLIGRHPKQEKRSVFQTINQFLDLTLFTHRGFL

Disclaimer

Unless otherwise stated in our catalog or other company documentation accompanying the product(s), our products are intended for research use only and are not to be used for any other purpose, which includes but is not limited to, unauthorized commercial uses, in vitro diagnostic uses, ex vivo or in vivo therapeutic uses or any type of consumption or application to humans or animals.


Still not finding the right product?

Explore all of our products under

或者

试用我们的 产品选型工具 工具缩小选择范围


存储类别

10 - Combustible liquids

wgk

WGK 3

flash_point_f

Not applicable

flash_point_c

Not applicable

法规信息

新产品

此项目有



历史批次信息供参考:

分析证书(COA)

Lot/Batch Number

没有发现合适的版本?

如果您需要特殊版本,可通过批号或批次号查找具体证书。

已有该产品?

在文件库中查找您最近购买产品的文档。

访问文档库



Marte Eilertsen et al.
PloS one, 9(9), e105038-e105038 (2014-09-17)
Monocarboxylate transporters (MCTs) 1-4 are lactate transporters crucial for cancers cells adaption to upregulated glycolysis. Herein, we aimed to explore their prognostic impact on disease-specific survival (DSS) in both cancer and tumor stromal cells in NSCLC. Tissue micro arrays (TMAs)



全球贸易项目编号

货号GTIN
SAB2105147-100UL04061836120214