跳转至内容
Merck
CN

SAB2501686

Anti-NOX1 antibody produced in goat

affinity isolated antibody, buffered aqueous solution

别名:

GP91-2, MOX1, NADPH oxidase 1, NOH-1

登录 查看组织和合同定价。

选择尺寸

变更视图

关于此项目

NACRES:
NA.41
UNSPSC Code:
12352203
Conjugate:
unconjugated
Clone:
polyclonal
Application:
ELISA (i), WB
Citations:
9
技术服务
需要帮助?我们经验丰富的科学家团队随时乐意为您服务。
让我们为您提供帮助


biological source

goat

Quality Level

conjugate

unconjugated

antibody form

affinity isolated antibody

antibody product type

primary antibodies

clone

polyclonal

form

buffered aqueous solution

species reactivity

mouse, human, bovine, canine

technique(s)

indirect ELISA: suitable, western blot: suitable

UniProt accession no.

shipped in

wet ice

storage temp.

−20°C

target post-translational modification

unmodified

Gene Information

human ... NOX1(27035)

General description

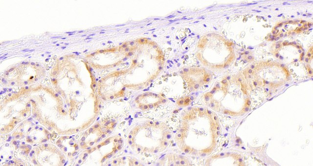
NADPH oxidase 1 (NOX1) is encoded by the gene mapped to human chromosome Xq22.1. The protein belongs to the family of NADPH oxidases and is co-localized with caveolin in punctate patches on the surface and laterally on the cellular margins. NOX1 is mainly expressed in colon epithelium.

Immunogen

Peptide with sequence C-DKATDIVTGLKQK, from the internal region of the protein sequence according toNP_008983.2; NP_39249.1

Application

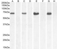
Anti-NOX1 antibody produced in goat has been used for Western blotting.

Biochem/physiol Actions

NOX1 catalyzes the production of hydrogen peroxide (H2O2). Overexpression of the protein leads to the production of superoxide and H2O2 and triggers angiogenic switch, mediating vascularization and rapid expansion of the tumor. Elevated expression of NOX1 has been observed in the brain of Parkinson′s disease (PD) patients.

Features and Benefits

Evaluate our antibodies with complete peace of mind. If the antibody does not perform in your application, we will issue a full credit or replacement antibody. Learn more.

Physical form

Supplied at 0.5 mg/mL in 20mM Tris (pH 7.3) and 150mM NaCl with 0.02% sodium azide and 0.5% bovine serum albumin.

Disclaimer

Unless otherwise stated in our catalog or other company documentation accompanying the product(s), our products are intended for research use only and are not to be used for any other purpose, which includes but is not limited to, unauthorized commercial uses, in vitro diagnostic uses, ex vivo or in vivo therapeutic uses or any type of consumption or application to humans or animals.


Still not finding the right product?

试用我们的 产品选型工具 工具缩小选择范围


存储类别

10 - Combustible liquids

wgk

WGK 2

flash_point_f

Not applicable

flash_point_c

Not applicable

法规信息

新产品

此项目有



历史批次信息供参考:

分析证书(COA)

Lot/Batch Number

没有发现合适的版本?

如果您需要特殊版本,可通过批号或批次号查找具体证书。

已有该产品?

在文件库中查找您最近购买产品的文档。

访问文档库



Hyehun Choi et al.
Free radical biology & medicine, 101, 413-423 (2016-11-14)
Leucine Rich Repeat Containing 8A (LRRC8A) is a required component of volume-regulated anion channels (VRACs). In vascular smooth muscle cells, tumor necrosis factor-α (TNFα) activates VRAC via type 1 TNFα receptors (TNFR1), and this requires superoxide (O2•-) production by NADPH
Distinct Subcellular Localizations of Nox1 and Nox4 in Vascular Smooth Muscle Cells
Lula L
Arteriosclerosis, Thrombosis, and Vascular Biology, 24(4) (2004)
Shuxia Jiang et al.
Cardiovascular research, 102(1), 79-87 (2014-02-07)
Ischaemic preconditioning (IPC) is an adaptive mechanism that renders the myocardium resistant to injury from subsequent hypoxia. Although reactive oxygen species (ROS) contribute to both the early and late phases of IPC, their enzymatic source and associated signalling events have



全球贸易项目编号

货号GTIN
SAB2501686-100UG04061832488042