biological source
rabbit
Quality Level
conjugate
unconjugated
antibody form
affinity isolated antibody
antibody product type
primary antibodies
clone
polyclonal
form
buffered aqueous solution
species reactivity
chicken, monkey, human, mouse, rat
technique(s)
immunohistochemistry: suitable, immunoprecipitation (IP): suitable, indirect immunofluorescence: suitable, western blot: 500-3000
NCBI accession no.
UniProt accession no.
shipped in
wet ice
storage temp.
−20°C
target post-translational modification
unmodified
Gene Information
human ... CS(1431)
Immunogen
Recombinant fragment corresponding to a region within amino acids 110 and 412 of Citrate synthetase according to NP_938083
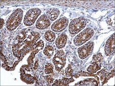
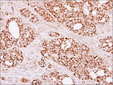
Application
Suggested starting dilutions are as follows: ICC/IF: 1:100-1:1000, IHC-P: 1:100-1:1000, IP: 1:100-1:500, WB: 1:500-1:3000. Not yet tested in other applications. Optimal working dilutions should be determined experimentally by the end user.
Biochem/physiol Actions
The protein encoded by this gene is a Krebs tricarboxylic acid cycle enzyme that catalyzes the synthesis of citrate from oxaloacetate and acetyl coenzyme A. The enzyme is found in nearly all cells capable of oxidative metablism. This protein is nuclear encoded and transported into the mitochondrial matrix, where the mature form is found. [provided by RefSeq]
Features and Benefits
Evaluate our antibodies with complete peace of mind. If the antibody does not perform in your application, we will issue a full credit or replacement antibody. Learn more.
Physical form
1XPBS, 20% Glycerol (pH7). 0.025% ProClin 300 was added as a preservative.
Disclaimer
Unless otherwise stated in our catalog or other company documentation accompanying the product(s), our products are intended for research use only and are not to be used for any other purpose, which includes but is not limited to, unauthorized commercial uses, in vitro diagnostic uses, ex vivo or in vivo therapeutic uses or any type of consumption or application to humans or animals.
signalword
Warning
hcodes
Hazard Classifications
Aquatic Chronic 3 - Skin Sens. 1
存储类别
12 - Non Combustible Liquids
wgk
WGK 2
flash_point_f
Not applicable
flash_point_c
Not applicable
法规信息
常规特殊物品
低风险生物材料
此项目有
Katie A O'Brien et al.
Biochimica et biophysica acta. Molecular basis of disease, 1865(4), 844-853 (2018-07-29)
Hypoxia is a feature of many disease states where convective oxygen delivery is impaired, and is known to suppress oxidative metabolism. Acclimation to hypoxia thus requires metabolic remodelling, however hypoxia tolerance may be aided by dietary nitrate supplementation. Nitrate improves
Joseph J Bass et al.
The Journal of physiology, 599(3), 963-979 (2020-12-02)
Reduced vitamin D receptor (VDR) expression prompts skeletal muscle atrophy. Atrophy occurs through catabolic processes, namely the induction of autophagy, while anabolism remains unchanged. In response to VDR-knockdown mitochondrial function and related gene-set expression is impaired. In vitro VDR knockdown
Siva R Uppalapati et al.
Vaccine, 32(25), 3075-3081 (2014-04-05)
Clostridium perfringens and Staphylococcus aureus are the two important bacteria frequently associated with majority of the soft tissue infections. The severity and progression of the diseases caused by these pathogens are attributed primarily to the alpha toxins they produce. Previously
全球贸易项目编号
| 货号 | GTIN |
|---|---|
| SAB2701077-100UL | 04061837271366 |
