跳转至内容
Merck
CN

SAB4200007

Anti-DVL3 (C-terminal region) antibody produced in rabbit

~1.5 mg/mL, affinity isolated antibody, buffered aqueous solution

别名:

Anti-Dishevelled-3

登录 查看组织和合同定价。

选择尺寸

变更视图

关于此项目

NACRES:
NA.41
UNSPSC Code:
12352203
Conjugate:
unconjugated
Clone:
polyclonal
Application:
IP, WB
Citations:
15
技术服务
需要帮助?我们经验丰富的科学家团队随时乐意为您服务。
让我们为您提供帮助


biological source

rabbit

conjugate

unconjugated

antibody form

affinity isolated antibody

antibody product type

primary antibodies

clone

polyclonal

form

buffered aqueous solution

mol wt

antigen ~95 kDa

species reactivity

human

packaging

antibody small pack of 25 μL

enhanced validation

recombinant expression
Learn more about Antibody Enhanced Validation

concentration

~1.5 mg/mL

technique(s)

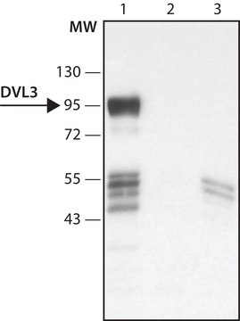
immunoprecipitation (IP): 1.5-3 μg using HEK-293T cell lysates overexpressing human DVL3, western blot: 0.025-0.05 μg/mL using HEK-293T cell lysates overexpressing human DVL3

UniProt accession no.

shipped in

dry ice

storage temp.

−20°C

target post-translational modification

unmodified

Gene Information

human ... DVL3(1857)
mouse ... Dvl3(13544)
rat ... Dvl3(303811)

General description

DVL3 (C-terminal region) is a member of a multi-gene family which shares strong similarity with the Drosophila dishevelled gene, dsh. The Drosophila dishevelled gene encodes a cytoplasmic phosphoprotein that regulates cell proliferation.
Dishevelled 3 (DVL3) is a phosphoprotein rich in serine and threonine. DVL3 gene is mapped to human chromosome 3q27.1 and the encoded protein is widely expressed in fetal tissues and specifically expressed in various adult tissues.

Application

Anti-DVL3 (C-terminal region) antibody produced in rabbit has been used in:
  • immunohistochemistry
  • chromatin immunoprecipitation
  • western blotting
  • immunofluorescence
  • liquid chromatography/mass spectrometry (LC-MS/MS)

Biochem/physiol Actions

Anti-DVL3 (C-terminal region) specifically recognizes human DVL3.
Dishevelled 3 (DVL3) participates in the wingless-related integration site (Wnt) signaling pathway. It plays a key role in hippocampal neurogenesis regulation. DVL3, like other members of the DVL family, functions upstream of glycogen synthase kinase-3 (GSK3) to modulate the canonical wnt pathway. Knockdown of DVL3 has been shown to attenuate the activation of the wnt signaling pathway by Wnt3A. DVL3 functions in redundant pathways with DVL1 and DVL2, and is necessary in normal cardiac, cochlea, and neural tube development in mice. A frame shift mutation in DVL3 is implicated in Robinow syndrome. Allelic variation in the DVL3 gene may be associated with major depressive disorder.

Physical form

Solution in 0.01 M phos­phate buffered saline, pH 7.4, containing 15 mM sodium azide.

Preparation Note

Store at –20 °C. For continuous use, the product may be stored at 2–8 °C for up to one month. For extended storage, freeze in working aliquots at –20 °C. Repeated freezing and thawing, or storage in “frost-free” freezers, is not recommended. If slight turbidity occurs upon prolonged storage, clarify the solution by centrifugation before use. Working dilutions should be discarded if not used within 12 hours.

Disclaimer

Unless otherwise stated in our catalog or other company documentation accompanying the product(s), our products are intended for research use only and are not to be used for any other purpose, which includes but is not limited to, unauthorized commercial uses, in vitro diagnostic uses, ex vivo or in vivo therapeutic uses or any type of consumption or application to humans or animals.


Still not finding the right product?

试用我们的 产品选型工具 工具缩小选择范围


存储类别

10 - Combustible liquids

flash_point_f

Not applicable

flash_point_c

Not applicable

法规信息

常规特殊物品

此项目有



历史批次信息供参考:

分析证书(COA)

Lot/Batch Number

没有发现合适的版本?

如果您需要特殊版本,可通过批号或批次号查找具体证书。

已有该产品?

在文件库中查找您最近购买产品的文档。

访问文档库


相关内容


Wei Lu et al.
Artificial cells, nanomedicine, and biotechnology, 47(1), 1466-1470 (2019-04-25)
Transcription factor 21 (TCF21) is identified as a tumor suppressor in a variety of human tumors. The purpose of the study was to examine its expression tendency and prognostic value in hepatocellular carcinoma (HCC). Relative expression of TCF21 mRNA in
Xiaodi Jiang et al.
OncoTargets and therapy, 11, 3533-3539 (2018-06-29)
Transcription factor 21 (TCF21) is a basic helix-loop-helix transcription factor that binds to DNA and regulates cell differentiation and cell fate specification through mesenchymal-epithelial transition during development. The TCF21 gene is epigenetically inactivated in many types of human cancers and
Yuzhuo Wang et al.
International journal of cancer, 142(8), 1602-1610 (2017-12-02)
Traditional pathway analysis map single nucleotide polymorphisms (SNPs) to genes according to physical position, which lacks sufficient biological bases. Here, we incorporated genetics of gene expression into gene- and pathway-based analysis to identify genes and pathways associated with lung cancer



全球贸易项目编号

货号GTIN
SAB4200007-200UL04061837724732
SAB4200007-25UL04061837724749