跳转至内容
Merck
CN

SAB4200454

Anti-FUS antibody produced in rabbit

~1.0 mg/mL, affinity isolated antibody

别名:

Anti-ALS6, Anti-CHOP, Anti-FUS-CHOP, Anti-FUS1, Anti-TLS, Anti-TLS/CHOP, Anti-hnRNP-P2

登录 查看组织和合同定价。

选择尺寸

变更视图

关于此项目

NACRES:
NA.41
UNSPSC Code:
12352203
Conjugate:
unconjugated
Clone:
polyclonal
Application:
IF, IHC, WB
Citations:
3
技术服务
需要帮助?我们经验丰富的科学家团队随时乐意为您服务。
让我们为您提供帮助


biological source

rabbit

Quality Level

conjugate

unconjugated

antibody form

affinity isolated antibody

antibody product type

primary antibodies

clone

polyclonal

form

buffered aqueous solution

mol wt

antigen ~68 kDa

species reactivity

rat, human

enhanced validation

independent
Learn more about Antibody Enhanced Validation

concentration

~1.0 mg/mL

technique(s)

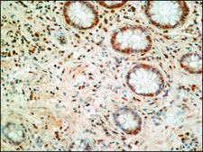
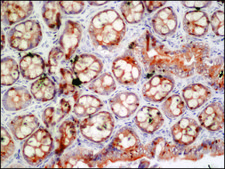
immunohistochemistry: 5-10 μg/mL using formalin-fixed paraffin embedded rat colon., indirect immunofluorescence: 2.5-5 μg/mL using HeLa cells., western blot: 1.5-3.0 μg/mL using using lysates of Jurkat cells.

UniProt accession no.

shipped in

dry ice

storage temp.

−20°C

target post-translational modification

unmodified

Gene Information

human ... FUS(2521)
rat ... Fus(317385)

General description

Fused in sarcoma (FUS) is a component of heterogeneous nuclear ribonucleoprotein (hnRNP) complex is a DNA/ RNA binding protein. FUS gene is mapped to human chromosome 16p11.2 and is located predominantly in the nucleus.

Immunogen

synthetic peptide corresponding to the N-terminal region of human FUS isoform 1, conjugated to KLH. The corresponding sequence is identical in human FUS isoforms 2 and 3, and highly conserved (single amino acid insertion) in mouse and rat FUS.

Application

Anti-FUS antibody produced in rabbit has been used in:
  • immunohistochemistry
  • immunoblotting
  • immunofluorescence

Biochem/physiol Actions

Anti-FUS specifically recognizes human and rat FUS.
Fused in sarcoma (FUS) plays regulatory roles in transcription, RNA splicing and transport and is implicated in multiple diseases. FUS also called translocation in liposarcoma or Tumor lysis syndrome (TLS), plays a key role in DNA repair and transcriptional regulation. Chromosomal translocation of FUS/TLS is found in human cancers and results in the production of oncogenic FUS fusion proteins. FUS is a component of inclusion bodies in patients with Huntington′s disease (HD) and spinocerebellar ataxias (SCA1) and SCA3. Mutations in the FUS gene have been identified in amyotrophic lateral sclerosis (ALS), frontotemporal lobar degeneration (FLTD) and familial amyotrophic lateral sclerosis (FALS). The majority of the FUS mutations have been identified in the C-terminal nuclear localization signal (NLS). Pathological FUS inclusions are mostly found in the cytosol of neurons and glial cells.

Physical form

Solution in 0.01 M phos­phate buffered saline, pH 7.4, containing 15 mM sodium azide.

Preparation Note

For continuous use, store at 2-8 °C for up to one month. For extended storage, freeze in working aliquots. Repeated freezing and thawing, or storage in “frost-free” freezers,is not recommended. If slight turbidity occurs upon prolonged storage, clarify the solution by centrifugation before use. Working dilutions should be discarded if not used within 12 hours.

Disclaimer

Unless otherwise stated in our catalog or other company documentation accompanying the product(s), our products are intended for research use only and are not to be used for any other purpose, which includes but is not limited to, unauthorized commercial uses, in vitro diagnostic uses, ex vivo or in vivo therapeutic uses or any type of consumption or application to humans or animals.


Still not finding the right product?

Explore all of our products under

或者

试用我们的 产品选型工具 工具缩小选择范围


存储类别

10 - Combustible liquids

flash_point_f

Not applicable

flash_point_c

Not applicable

法规信息

新产品

此项目有



历史批次信息供参考:

分析证书(COA)

Lot/Batch Number

没有发现合适的版本?

如果您需要特殊版本,可通过批号或批次号查找具体证书。

已有该产品?

在文件库中查找您最近购买产品的文档。

访问文档库



Atypical Huntington?s disease with the clinical presentation of behavioural variant of frontotemporal dementia
Sutovsky S, et al.
Journal of neural transmission (Vienna, Austria : 1996), 123(12), 1423-1433 (2016)
TDP-43 and FUS: a nuclear affair
Dormann D and Haass C
Trends in Neurosciences, 34(7), 339-348 (2011)
Manuela Neumann et al.
Brain : a journal of neurology, 132(Pt 11), 2922-2931 (2009-08-14)
Frontotemporal dementia (FTD) is a clinical syndrome with a heterogeneous molecular basis. The neuropathology associated with most FTD is characterized by abnormal cellular aggregates of either transactive response DNA-binding protein with Mr 43 kDa (TDP-43) or tau protein. However, we



全球贸易项目编号

货号GTIN
SAB4200454-200UL04061838036414