跳转至内容
Merck
CN

SAB4200543

Anti-Calbindin-D-28K antibody, Mouse monoclonal

clone CB-955, purified from hybridoma cell culture

别名:

Monoclonal Anti-(28kD), Monoclonal Anti-D-28K, Monoclonal Anti-D-dependent calcium-binding protein, Monoclonal Anti-RTVL-H protein, Monoclonal Anti-avian-type, Monoclonal Anti-calbindin 1, Monoclonal Anti-vitamin

登录 查看组织和合同定价。

选择尺寸

变更视图

关于此项目

NACRES:
NA.44
UNSPSC Code:
12352203
Conjugate:
unconjugated
Clone:
CB-955, monoclonal
Application:
IHC, WB
Citations:
18
技术服务
需要帮助?我们经验丰富的科学家团队随时乐意为您服务。
让我们为您提供帮助


biological source

mouse

Quality Level

conjugate

unconjugated

antibody form

purified immunoglobulin

antibody product type

primary antibodies

clone

CB-955, monoclonal

form

buffered aqueous solution

mol wt

antigen ~28 kDa

species reactivity

mouse, human, rat

enhanced validation

independent
Learn more about Antibody Enhanced Validation

concentration

~1.0 mg/mL

technique(s)

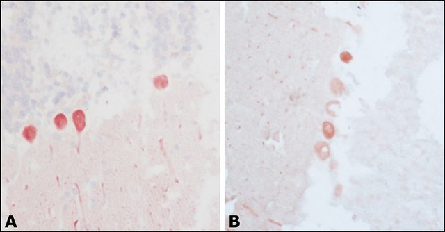
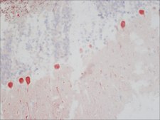
immunohistochemistry: 10-20 μg/mL using formalin-fixed, paraffin embedded rat cerebellum., western blot: 2-4 μg/mL using MDBK extract.

isotype

IgG1

shipped in

dry ice

storage temp.

−20°C

target post-translational modification

unmodified

Gene Information

human ... CALB1(793)

General description

Anti-Calbindin-D-28K antibody, Mouse monoclonal (mouse IgG1 isotype) is derived from the hybridoma CB-955 produced by the fusion of mouse myeloma cells and splenocytes from BALB/c mice immunized with a purified bovine kidney calbindin-D-28K.
Calbindin-D-28K (CALB1) is encoded by the gene mapped to human chromosome 8q21.3-q22.1. CALB1 belongs to the EF hand superfamily of Ca2+ binding proteins (CBPs). The encoded protein contains EF hand motif involved in the specific and reversible binding of Ca2+. It is highly expressed in specific regions of central nervous system such as cerebellar Purkinje cells and hippocampal granule cells.

Immunogen

purified bovine kidney calbindin-D-28K. The isotype is determined by ELISA using Mouse Monoclonal Antibody Isotyping Reagents (Sigma ISO-2). The antibody is purified from culture supernatant of hybridoma cells grown in a bioreactor.

Application

  • Anti-Calbindin-D-28K antibody, Mouse monoclonal has been used in:
  • western blotting
  • enzyme-linked immunosorbent assay (ELISA){31
  • immunohistochemistry
  • immunohistochemical procedure
  • indirect immunofluorescence

Biochem/physiol Actions

Calbindin D-28k might play a vital role as an intracellular Ca2+ buffer. It has an ability to protect nerve cells from calcium-mediated neurotoxicity. The encoded protein functions as a potent neuroanatomical marker which can be used to selectively visualize certain neurons and pathways in the central nervous system and peripheral nervous system. Mutations in the gene has been observed in patients with Parkinson′s disease (PD).
Calbindin-D (28K) functions as a mobile or partly immobilized Ca2+ -buffer with medium kinetics and affinity buffer function. Second, it functions in buffered Ca2+- diffusion-transport function. Finally, it interacts with target proteins in its apo-and Ca2+-loaded form-sensor- like function. Over-expression of this protein stimulates neurite outgrowth in dopaminergic neuronal cells.

Physical form

Solution in 0.01 M phosphate buffered saline, pH 7.4, containing 15 mM sodium azide.

Disclaimer

Unless otherwise stated in our catalog or other company documentation accompanying the product(s), our products are intended for research use only and are not to be used for any other purpose, which includes but is not limited to, unauthorized commercial uses, in vitro diagnostic uses, ex vivo or in vivo therapeutic uses or any type of consumption or application to humans or animals.


Still not finding the right product?

试用我们的 产品选型工具 工具缩小选择范围


存储类别

10 - Combustible liquids

flash_point_f

Not applicable

flash_point_c

Not applicable

法规信息

低风险生物材料
常规特殊物品

此项目有



历史批次信息供参考:

分析证书(COA)

Lot/Batch Number

没有发现合适的版本?

如果您需要特殊版本,可通过批号或批次号查找具体证书。

已有该产品?

在文件库中查找您最近购买产品的文档。

访问文档库



A comparative study of three interneuron types in the rat spinal cord
Chen S, et al.
PLoS ONE, 11(9), e0162969-e0162969 (2016)
A splice site variant in INPP5E causes diffuse cystic renal dysplasia and hepatic fibrosis in dogs
Dillard KJ, et al.
PLoS ONE, 13(9) (2018)
The human calbindin D28k (CALB1) and calretinin (CALB2) genes are located at 8q21.3----q22.1 and 16q22----q23, respectively, suggesting a common duplication with the carbonic anhydrase isozyme loci.
Parmentier M
Cytogenetics and Cell Genetics, 57, 41-43 (1991)



全球贸易项目编号

货号GTIN
SAB4200543-200UL04061838036797